| UNIPROT | A8K7I4 |
| Иммуноген | Синтетический пептид, соответствующий human CLCA1 на С-конце |
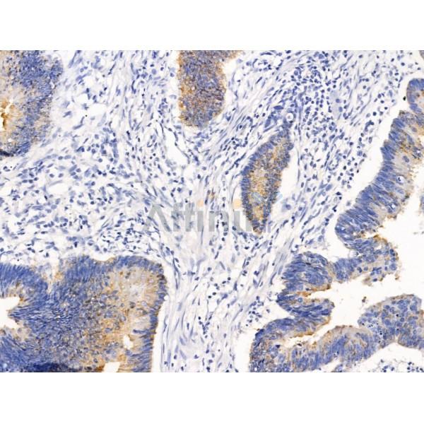
CLCA1 Antibody (DF13501)
Реактивность подтвержденная:
человек, мышь
Источник (хозяин):
кролик
Валидировано для:
IHC
WB
IF
ICC
Характеристики
Техническое описание
| Каталожный номер | DF13501 |
| Название антигена | Chloride Channel Accessory 1 (CLCA1) |
| UNIPROT | A8K7I4 |
| Иммуноген | Синтетический пептид, соответствующий human CLCA1 на С-конце |
| Английские синонимы | CaCC1, CLCRG1, Chloride Channel,Calcium Activated,Family Member 1, Calcium-activated chloride channel protein 1 |
Реактивность подтвержденная Нужна другая реактивность? |
человек, мышь |
| Источник (хозяин) | кролик |
| Изотип | IgG |
| Клональность | поликлональное |
| Рекомбинантное | нет |
| Готовое к использованию | нет |
| Концентрация | 1 мг/мл |
| Конъюгат | нет |
| Валидировано для | IHC WB IF ICC Иммуногистохимия; Вестерн-блоттинг; Иммунофлуоресценция; Иммуноцитохимия |
| Рекомендуемые разведения | WB: 1:500-1:2000; IF/ICC: 1:100-1:500; IHC: 1:50-1:200; Оптимальное разведение определяется конечным потребителем |
| Метод очистки | Антисыворотку очищали методом аффинной хроматографии пептидов с использованием связывающей смолы SulfoLink® (Thermo Fisher Scientific) |
| Состав буфера | Rabbit IgG в PBS; pH 7.4; 150mM NaCl; 0.02% азид натрия и 50% глицерин |
| RRID | AB_2846520 |
| Условия доставки | Термобокс с аккумуляторами холода |
| Условия хранения | Хранить при -20ºС. Стабилен 12 месяцев с даты получения |
| Срок хранения | 12 месяцев |
| Производитель | Affinity |
| Ссылка на страницу товара на сайте производителя | https://www.affbiotech.com/goods-16879-DF13501-CLCA1_Antibody.html |
|
Артикул
|
Наименование |
Производитель
|
|---|
Акции и предложения
Популярные продукты:
Anti-LYN Antibody(m1A01) (RHY00001)
Источник (хозяин): мышь
Реактивность подтвержденная: человек
Валидировано для: ELISA, IHC, IP
Реактивность подтвержденная: человек
Валидировано для: ELISA, IHC, IP
Anti-Human CD138/SDC1 Antibody (Fs0317), PerCP (FHD30824)
Источник (хозяин): мышь
Реактивность подтвержденная: человек
Валидировано для: ELISA, FCM, IF, WB
Реактивность подтвержденная: человек
Валидировано для: ELISA, FCM, IF, WB
Anti-HPV45 Major capsid protein L1 Antibody (10B4) (RVV19506)
Источник (хозяин): мышь
Реактивность подтвержденная: вирусы
Валидировано для: ELISA, NEUT
Реактивность подтвержденная: вирусы
Валидировано для: ELISA, NEUT
ELISA Kit DIY Materials for Organic Cation/Ergothioneine Transporter (OCTN1) (KSE444Hu01)
Организм: человек
Диапазон определения: 78-5000 пг/мл
Чувствительность: 30 пг/мл
Диапазон определения: 78-5000 пг/мл
Чувствительность: 30 пг/мл
ELISA Kit DIY Materials for Neurofibromin 2 (NF2) (KSB946Hu01)
Организм: человек
Диапазон определения: 0.156-10 нг/мл
Чувствительность: 0.058 нг/мл
Диапазон определения: 0.156-10 нг/мл
Чувствительность: 0.058 нг/мл

