| UNIPROT | Q5QGZ9 |
| Иммуноген | Синтетический пептид, соответствующий Human CLEC12A |
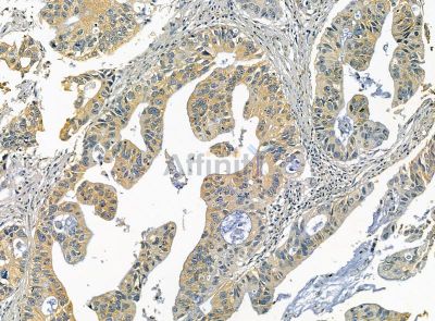
CLEC12A Antibody (DF14229)
Реактивность подтвержденная:
человек, мышь, крыса
Источник (хозяин):
кролик
Валидировано для:
IHC
WB
IF
ICC
Характеристики
Техническое описание
| Каталожный номер | DF14229 |
| Название антигена | C-Type Lectin Domain Family 12, Member A (CLEC12A) |
| UNIPROT | Q5QGZ9 |
| Иммуноген | Синтетический пептид, соответствующий Human CLEC12A |
| Английские синонимы | CLL-1, MICL, DCAL2, C-type lectin-like molecule 1, Dendritic cell-associated lectin 2, Myeloid inhibitory C-type lectin-like receptor, CD371 |
Реактивность подтвержденная Нужна другая реактивность? |
человек, мышь, крыса |
| Источник (хозяин) | кролик |
| Изотип | IgG |
| Клональность | поликлональное |
| Рекомбинантное | нет |
| Готовое к использованию | нет |
| Концентрация | 1 мг/мл |
| Конъюгат | нет |
| Валидировано для | IHC WB IF ICC Иммуногистохимия; Вестерн-блоттинг; Иммунофлуоресценция; Иммуноцитохимия |
| Рекомендуемые разведения | WB: 1:500-1:2000; IHC: 1:50-1:200; IF/ICC: 1:100-1:500; Оптимальное разведение определяется конечным потребителем |
| Метод очистки | Антисыворотку очищали методом аффинной хроматографии пептидов с использованием связывающей смолы SulfoLink® (Thermo Fisher Scientific) |
| Состав буфера | Rabbit IgG в PBS; pH 7.4; 150mM NaCl; 0.02% азид натрия и 50% глицерин |
| Условия доставки | Термобокс с аккумуляторами холода |
| Условия хранения | Хранить при -20ºС. Стабилен 12 месяцев с даты получения |
| Срок хранения | 12 месяцев |
| Производитель | Affinity |
| Ссылка на страницу товара на сайте производителя | https://www.affbiotech.com/goods-18664-DF14229-CLEC12A_Antibody.html |
|
Артикул
|
Наименование |
Производитель
|
|---|
Акции и предложения
Популярные продукты:
Porcine adrenomedullin 2 (ADM2) ELISA kit (E07A1275)
Организм: свинья
Guinea Pig Matrix Metalloproteinase 11 ELISA kit (E05M0301)
Организм: морская свинка
Recombinant Human Parvulin-14/PIN4 Protein (His Tag) (PKSH032859)
Источник (хозяин): E.coli
Организм: человек
Фрагмент: Met 1-Lys156
Теги: N-His
Биоактивность: нет
Организм: человек
Фрагмент: Met 1-Lys156
Теги: N-His
Биоактивность: нет
Anti-HSPA9 Polyclonal Antibody (PHE23201)
Источник (хозяин): кролик
Реактивность подтвержденная: человек, мышь, крыса
Валидировано для: ELISA, IHC, WB
Реактивность подтвержденная: человек, мышь, крыса
Валидировано для: ELISA, IHC, WB
Anti-BRG1/SMARCA4 Antibody (R1Y26) (RME82901)
Источник (хозяин): кролик
Реактивность подтвержденная: человек, мышь, крыса
Валидировано для: IF, IHC, IP, WB
Реактивность подтвержденная: человек, мышь, крыса
Валидировано для: IF, IHC, IP, WB
Anti-PIN4 Antibody (R2K97) (RHJ84202)
Источник (хозяин): кролик
Реактивность подтвержденная: человек, мышь, крыса
Валидировано для: IF, IHC, WB
Реактивность подтвержденная: человек, мышь, крыса
Валидировано для: IF, IHC, WB

