| UNIPROT | P16220 |
| Иммуноген | Синтетический пептид, соответствующий human CREB |
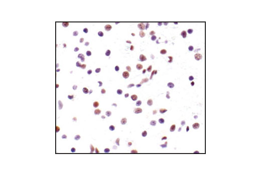
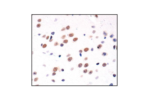
CREB Recombinant Rabbit mAb (ARM2565)
Реактивность подтвержденная:
человек, мышь, крыса
Источник (хозяин):
кролик
Валидировано для:
FCM
IHC
IP
WB
IF
ICC
Характеристики
Техническое описание
| Каталожный номер | ARM2565 |
| Название антигена | Cyclic AMP Response Element Binding Protein (CREB) |
| UNIPROT | P16220 |
| Иммуноген | Синтетический пептид, соответствующий human CREB |
| Английские синонимы | CREB1, CAMP Responsive Element Binding Protein 1 |
Реактивность подтвержденная Нужна другая реактивность? |
человек, мышь, крыса |
| Источник (хозяин) | кролик |
| Изотип | IgG |
| Клональность | моноклональное |
| Рекомбинантное | да |
| Готовое к использованию | нет |
| Концентрация | 1 мг/мл |
| Конъюгат | По запросу: HRP, biotin, Cy3, Cy5, APC, AF488, AF594, AF405 |
| Валидировано для | FCM IHC IP WB IF ICC Проточная цитометрия; Иммуногистохимия; Иммунопреципитация; Вестерн-блоттинг; Иммунофлуоресценция; Иммуноцитохимия |
| Рекомендуемые разведения | WB 1:500~1:2000; IHC 1:50~1:200; IF/ICC 1:50~1:200; FCM 1:50; IP 1:50 |
| Метод очистки | Антигенспецифическая аффинная хроматография |
| Состав буфера | 50 нмоль Tris-Glycine(pH 7.4); 0.15M NaCl; 40% глицерин; 0.01% азид натрия и 0.05% БСА |
| Условия доставки | термобокс с аккумуляторами холода |
| Условия хранения | Сразу после получения аликвотировать и хранить при -20ºС до 12 месяцев с момента получения. Избегать повторения циклов замерзания/оттаивания |
| Срок хранения | 12 месяцев |
| Производитель | AssayVector |
|
Артикул
|
Наименование |
Производитель
|
|---|
|
Артикул
|
Наименование |
Производитель
|
|---|
|
Артикул
|
Наименование |
Производитель
|
|---|
|
Артикул
|
Наименование |
Производитель
|
|---|
|
Артикул
|
Наименование |
Производитель
|
|---|
|
Артикул
|
Наименование |
Производитель
|
|---|
|
Артикул
|
Наименование |
Производитель
|
|---|
Акции и предложения
Популярные продукты:
Anti-Human CD138/SDC1 Antibody (Fs0318), PE (FHD30833)
Источник (хозяин): мышь
Реактивность подтвержденная: человек
Валидировано для: ELISA, FCM, IF, WB
Реактивность подтвержденная: человек
Валидировано для: ELISA, FCM, IF, WB
Human Caspase recruitment domain containing protein 8(CARD8) ELISA kit (E01C1380)
Организм: человек
Диапазон определения: 2.5-50 нг/мл
Чувствительность: 0.1 нг/мл
Диапазон определения: 2.5-50 нг/мл
Чувствительность: 0.1 нг/мл
Human Charged multivesicular body protein 6(CHMP6) ELISA kit (E01C1691)
Организм: человек
Guinea Pig ATP binding cassette sub family D member 4(ABCD4) ELISA kit (E05A1148)
Организм: морская свинка
Bovine Cluster of Differentiation 24 ELISA kit (E11C0023)
Организм: корова
Recombinant Human Pleiotrophin protein(N-His) (PKSH034178)
Источник (хозяин): E.coli
Организм: человек
Фрагмент: Gly 33-Asp 168
Теги: C-His
Биоактивность: нет
Организм: человек
Фрагмент: Gly 33-Asp 168
Теги: C-His
Биоактивность: нет

