| UNIPROT | O14980 |
| Иммуноген | Синтетический пептид, соответствующий human CRM1 |
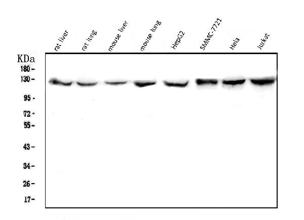
CRM1 Recombinant Rabbit mAb (ARM1950)
Реактивность подтвержденная:
человек, мышь, крыса
Источник (хозяин):
кролик
Валидировано для:
FCM
WB
IF
ICC
Характеристики
Техническое описание
| Каталожный номер | ARM1950 |
| Название антигена | Exportin 1 (XPO1) |
| UNIPROT | O14980 |
| Иммуноген | Синтетический пептид, соответствующий human CRM1 |
| Английские синонимы | Exp1, CRM1 Homolog,Yeast, Chromosome region maintenance 1 protein homolog |
| Русские синонимы | Белок поддержания структуры хромосом 1 |
Реактивность подтвержденная Нужна другая реактивность? |
человек, мышь, крыса |
| Источник (хозяин) | кролик |
| Изотип | IgG |
| Клональность | моноклональное |
| Рекомбинантное | да |
| Готовое к использованию | нет |
| Концентрация | 1 мг/мл |
| Конъюгат | По запросу: HRP, biotin, Cy3, Cy5, APC, AF488, AF594, AF405 |
| Валидировано для | FCM WB IF ICC Проточная цитометрия; Вестерн-блоттинг; Иммунофлуоресценция; Иммуноцитохимия |
| Рекомендуемые разведения | WB 1:500~1:2000; IF/ICC 1:50~1:200; FCM 1:50 |
| Метод очистки | Антигенспецифическая аффинная хроматография |
| Состав буфера | 50 нмоль Tris-Glycine(pH 7.4); 0.15M NaCl; 40% глицерин; 0.01% азид натрия и 0.05% БСА |
| Условия доставки | термобокс с аккумуляторами холода |
| Условия хранения | Сразу после получения аликвотировать и хранить при -20ºС до 12 месяцев с момента получения. Избегать повторения циклов замерзания/оттаивания |
| Срок хранения | 12 месяцев |
| Производитель | AssayVector |
|
Артикул
|
Наименование |
Производитель
|
|---|
|
Артикул
|
Наименование |
Производитель
|
|---|
Акции и предложения
Популярные продукты:
Canine Sialic Acid Binding Ig Like Lectin 8 ELISA kit (E08S0835)
Организм: собака
Anti-Mouse SMDT1 Polyclonal Antibody (PMP31701)
Источник (хозяин): кролик
Реактивность подтвержденная: мышь
Валидировано для: ELISA, IF, IHC, WB
Реактивность подтвержденная: мышь
Валидировано для: ELISA, IF, IHC, WB
Rabbit Cyclin dependent kinase like 3(CDKL3) ELISA kit (E04C1567)
Организм: кролик
Recombinant Mouse IgG2b Fc Fragment (EMB96801)
Источник (хозяин): клетки млекопитающих
Организм: мышь
Фрагмент: Glu97-Lys335
Биоактивность: нет
Организм: мышь
Фрагмент: Glu97-Lys335
Биоактивность: нет
Recombinant Mouse GH1 Protein, N-His (YMB93001)
Источник (хозяин): E.coli
Организм: мышь
Фрагмент: Phe27-Phe216
Теги: N-His
Биоактивность: нет
Организм: мышь
Фрагмент: Phe27-Phe216
Теги: N-His
Биоактивность: нет

