| UNIPROT | Q6UUV7 |
| Иммуноген | Синтетический пептид, соответствующий human CRTC3 |
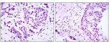
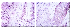
CRTC3 Recombinant Rabbit mAb (ARM1113)
Реактивность подтвержденная:
человек, мышь, крыса
Источник (хозяин):
кролик
Валидировано для:
IHC
WB
IF
ICC
Характеристики
Техническое описание
| Каталожный номер | ARM1113 |
| Название антигена | CREB Regulated Transcription Coactivator 3 (CRTC3) |
| UNIPROT | Q6UUV7 |
| Иммуноген | Синтетический пептид, соответствующий human CRTC3 |
| Английские синонимы | TORC3, Transducer of regulated cAMP response element-binding protein 3 |
Реактивность подтвержденная Нужна другая реактивность? |
человек, мышь, крыса |
| Источник (хозяин) | кролик |
| Изотип | IgG |
| Клональность | моноклональное |
| Рекомбинантное | да |
| Готовое к использованию | нет |
| Концентрация | 1 мг/мл |
| Конъюгат | По запросу: HRP, biotin, Cy3, Cy5, APC, AF488, AF594, AF405 |
| Валидировано для | IHC WB IF ICC Иммуногистохимия; Вестерн-блоттинг; Иммунофлуоресценция; Иммуноцитохимия |
| Рекомендуемые разведения | WB 1:500~1:2000; IHC 1:50~1:200; IF/ICC 1:50~1:200 |
| Метод очистки | Антигенспецифическая аффинная хроматография |
| Состав буфера | 50 нмоль Tris-Glycine(pH 7.4); 0.15M NaCl; 40% глицерин; 0.01% азид натрия и 0.05% БСА |
| Условия доставки | термобокс с аккумуляторами холода |
| Условия хранения | Сразу после получения аликвотировать и хранить при -20ºС до 12 месяцев с момента получения. Избегать повторения циклов замерзания/оттаивания |
| Срок хранения | 12 месяцев |
| Производитель | AssayVector |
|
Артикул
|
Наименование |
Производитель
|
|---|
|
Артикул
|
Наименование |
Производитель
|
|---|
|
Артикул
|
Наименование |
Производитель
|
|---|
|
Артикул
|
Наименование |
Производитель
|
|---|
Акции и предложения
Популярные продукты:
Recombinant Human CD269/TNFRSF17 Protein, C-Fc (EHF92401)
Источник (хозяин): клетки млекопитающих
Организм: человек
Фрагмент: Met1-Ala54
Теги: C-Fc
Биоактивность: нет
Организм: человек
Фрагмент: Met1-Ala54
Теги: C-Fc
Биоактивность: нет
FGFR3 Recombinant Rabbit mAb (ARM1671)
Источник (хозяин): кролик
Реактивность подтвержденная: человек
Валидировано для: FCM, IHC, WB, IF, ICC
Реактивность подтвержденная: человек
Валидировано для: FCM, IHC, WB, IF, ICC
CRTC3 Recombinant Rabbit mAb (ARM1113)
Источник (хозяин): кролик
Реактивность подтвержденная: человек, мышь, крыса
Валидировано для: IHC, WB, IF, ICC
Реактивность подтвержденная: человек, мышь, крыса
Валидировано для: IHC, WB, IF, ICC
HAX1 Antibody (DF7391)
Источник (хозяин): кролик
Реактивность подтвержденная: человек, мышь, крыса
Валидировано для: IHC, WB
Реактивность подтвержденная: человек, мышь, крыса
Валидировано для: IHC, WB
NTF3 Antibody (DF6105)
Источник (хозяин): кролик
Реактивность подтвержденная: человек, мышь, крыса
Валидировано для: IHC, WB
Реактивность подтвержденная: человек, мышь, крыса
Валидировано для: IHC, WB

