| UNIPROT | Q13620 |
| Иммуноген | Синтетический пептид, соответствующий human Cullin 4B |
Cullin 4A/B Recombinant Rabbit mAb (ARM1259)
Реактивность подтвержденная:
человек, мышь, крыса
Источник (хозяин):
кролик
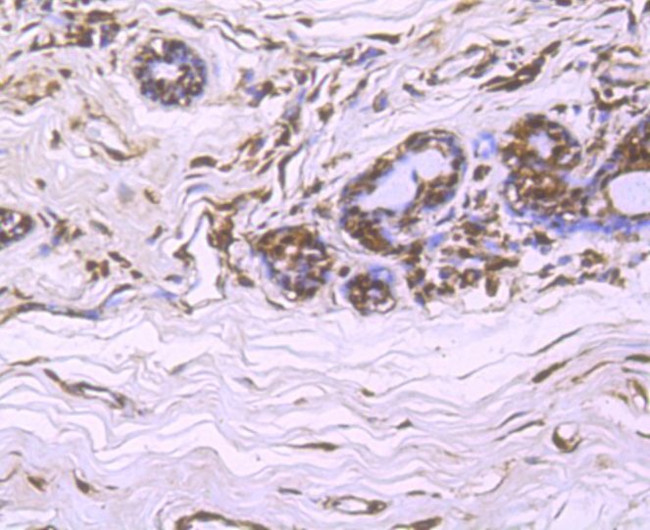
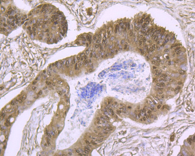
Валидировано для:
FCM
IHC
WB
Характеристики
Техническое описание
| Каталожный номер | ARM1259 |
| Название антигена | Cullin 4B (CUL4B) |
| UNIPROT | Q13620 |
| Иммуноген | Синтетический пептид, соответствующий human Cullin 4B |
Реактивность подтвержденная Нужна другая реактивность? |
человек, мышь, крыса |
| Источник (хозяин) | кролик |
| Изотип | IgG |
| Клональность | моноклональное |
| Рекомбинантное | да |
| Готовое к использованию | нет |
| Концентрация | 1 мг/мл |
| Конъюгат | По запросу: HRP, biotin, Cy3, Cy5, APC, AF488, AF594, AF405 |
| Валидировано для | FCM IHC WB Проточная цитометрия; Иммуногистохимия; Вестерн-блоттинг |
| Рекомендуемые разведения | WB 1:500~1:2000; IHC 1:50~1:200; FCM 1:50 |
| Метод очистки | Антигенспецифическая аффинная хроматография |
| Состав буфера | 50 нмоль Tris-Glycine(pH 7.4); 0.15M NaCl; 40% глицерин; 0.01% азид натрия и 0.05% БСА |
| Условия доставки | термобокс с аккумуляторами холода |
| Условия хранения | Сразу после получения аликвотировать и хранить при -20ºС до 12 месяцев с момента получения. Избегать повторения циклов замерзания/оттаивания |
| Срок хранения | 12 месяцев |
| Производитель | AssayVector |
|
Артикул
|
Наименование |
Производитель
|
|---|
|
Артикул
|
Наименование |
Производитель
|
|---|
|
Артикул
|
Наименование |
Производитель
|
|---|
|
Артикул
|
Наименование |
Производитель
|
|---|
Акции и предложения
Популярные продукты:
ELISA Kit DIY Materials for B-Cell CLL/Lymphoma 2 Like Protein (Bcl2L) (KSE582Mu01)
Организм: мышь
Диапазон определения: 7.81-500 пг/мл
Чувствительность: 3.1 пг/мл
Диапазон определения: 7.81-500 пг/мл
Чувствительность: 3.1 пг/мл
Polyclonal Antibody to Immunoglobulin M (IgM) (PAA543Hu02)
Источник (хозяин): кролик
Реактивность подтвержденная: человек
Валидировано для: WB
Реактивность подтвержденная: человек
Валидировано для: WB
Rat Cerebellin 1 ELISA kit (E02C0910)
Организм: крыса
Human Cerebellin 1 ELISA kit (E01C0910)
Организм: человек
Диапазон определения: 0.5-10 нг/мл
Чувствительность: 0.1 нг/мл
Диапазон определения: 0.5-10 нг/мл
Чувствительность: 0.1 нг/мл

