| UNIPROT | Q13619 |
| Иммуноген | Синтетический пептид, соответствующий human Cullin 4A/CUL-4A |
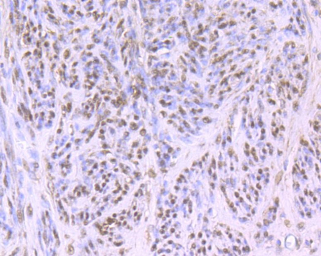
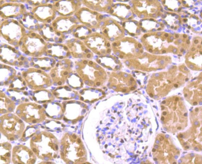
Cullin 4A Recombinant Rabbit mAb (ARM2604)
Реактивность подтвержденная:
человек
Источник (хозяин):
кролик
Валидировано для:
IHC
IP
WB
Характеристики
Техническое описание
| Каталожный номер | ARM2604 |
| Название антигена | Cullin 4A (CUL4A) |
| UNIPROT | Q13619 |
| Иммуноген | Синтетический пептид, соответствующий human Cullin 4A/CUL-4A |
Реактивность подтвержденная Нужна другая реактивность? |
человек |
| Источник (хозяин) | кролик |
| Изотип | IgG |
| Клональность | моноклональное |
| Рекомбинантное | да |
| Готовое к использованию | нет |
| Концентрация | 1 мг/мл |
| Конъюгат | По запросу: HRP, biotin, Cy3, Cy5, APC, AF488, AF594, AF405 |
| Валидировано для | IHC IP WB Иммуногистохимия; Иммунопреципитация; Вестерн-блоттинг |
| Рекомендуемые разведения | WB 1:500~1:2000; IHC 1:50~1:200; IP 1:50 |
| Метод очистки | Антигенспецифическая аффинная хроматография |
| Состав буфера | 50 нмоль Tris-Glycine(pH 7.4); 0.15M NaCl; 40% глицерин; 0.01% азид натрия и 0.05% БСА |
| Условия доставки | термобокс с аккумуляторами холода |
| Условия хранения | Сразу после получения аликвотировать и хранить при -20ºС до 12 месяцев с момента получения. Избегать повторения циклов замерзания/оттаивания |
| Срок хранения | 12 месяцев |
| Производитель | AssayVector |
|
Артикул
|
Наименование |
Производитель
|
|---|
|
Артикул
|
Наименование |
Производитель
|
|---|
Акции и предложения
Популярные продукты:
Monkey Copine 5(CPNE5) ELISA kit (E09C2014)
Организм: обезьяна
Monkey Cullin 4A(CUL4A) ELISA kit (E09C2184)
Организм: обезьяна
Rat B Cell Linker Protein ELISA kit (E02B0331)
Организм: крыса
Canine Z-DNA binding protein 1 ELISA Kit (E08Z0001)
Организм: собака

