| UNIPROT | P00387 |
| Иммуноген | Синтетический пептид, соответствующий human CYB5R3 |
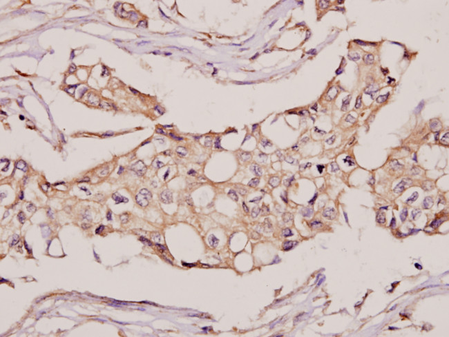
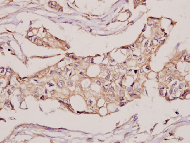
CYB5R3 Recombinant Rabbit mAb (ARM1311)
Реактивность подтвержденная:
человек, крыса
Источник (хозяин):
кролик
Валидировано для:
IHC
WB
Характеристики
Техническое описание
| Каталожный номер | ARM1311 |
| Название антигена | Cytochrome b5 Reductase 3 (CYB5R3) |
| UNIPROT | P00387 |
| Иммуноген | Синтетический пептид, соответствующий human CYB5R3 |
| Английские синонимы | DIA1, Diaphorase-1, NADH-cytochrome b5 reductase 3 |
Реактивность подтвержденная Нужна другая реактивность? |
человек, крыса |
| Источник (хозяин) | кролик |
| Изотип | IgG |
| Клональность | моноклональное |
| Рекомбинантное | да |
| Готовое к использованию | нет |
| Концентрация | 1 мг/мл |
| Конъюгат | По запросу: HRP, biotin, Cy3, Cy5, APC, AF488, AF594, AF405 |
| Валидировано для | IHC WB Иммуногистохимия; Вестерн-блоттинг |
| Рекомендуемые разведения | WB 1:500~1:2000; IHC 1:50~1:200 |
| Метод очистки | Антигенспецифическая аффинная хроматография |
| Состав буфера | 50 нмоль Tris-Glycine(pH 7.4); 0.15M NaCl; 40% глицерин; 0.01% азид натрия и 0.05% БСА |
| Условия доставки | термобокс с аккумуляторами холода |
| Условия хранения | Сразу после получения аликвотировать и хранить при -20ºС до 12 месяцев с момента получения. Избегать повторения циклов замерзания/оттаивания |
| Срок хранения | 12 месяцев |
| Производитель | AssayVector |
|
Артикул
|
Наименование |
Производитель
|
|---|
|
Артикул
|
Наименование |
Производитель
|
|---|
|
Артикул
|
Наименование |
Производитель
|
|---|
Акции и предложения
Популярные продукты:
Rabbit Retinoid isomerohydrolase(RPE65) ELISA kit (E04R0420)
Организм: кролик
Goat Selenoprotein P1, ELISA kit (E06S0086)
Организм: коза
Chicken Glucocorticoid receptor Alpha ELISA kit (E12G0360)
Организм: курица
Anti-CBR1 Polyclonal Antibody (PHD15601)
Источник (хозяин): кролик
Реактивность подтвержденная: человек, мышь, крыса
Валидировано для: ELISA, IHC, WB
Реактивность подтвержденная: человек, мышь, крыса
Валидировано для: ELISA, IHC, WB
Anti-Human PCBP1 Polyclonal Antibody (PHH07401)
Источник (хозяин): кролик
Реактивность подтвержденная: человек
Валидировано для: ELISA, IHC, WB
Реактивность подтвержденная: человек
Валидировано для: ELISA, IHC, WB

