| UNIPROT | P35527 |
| Иммуноген | Рекомбинантный белок human Cytokeratin 9 |
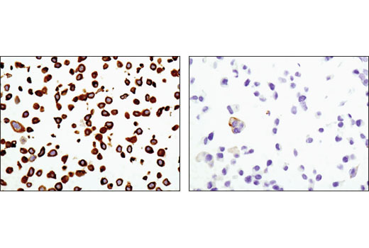
Cytokeratin 9 Recombinant Rabbit mAb (ARM2623)
Реактивность подтвержденная:
человек, мышь, крыса
Источник (хозяин):
кролик
Валидировано для:
IHC
IP
WB
Характеристики
Техническое описание
| Каталожный номер | ARM2623 |
| Название антигена | Keratin 9 (KRT9) |
| UNIPROT | P35527 |
| Иммуноген | Рекомбинантный белок human Cytokeratin 9 |
| Английские синонимы | CK9, EPPK, K9, Cytokeratin 9, Type I Cytoskeletal 9, Epidermolytic Palmoplantar Keratoderma |
Реактивность подтвержденная Нужна другая реактивность? |
человек, мышь, крыса |
| Источник (хозяин) | кролик |
| Изотип | IgG |
| Клональность | моноклональное |
| Рекомбинантное | да |
| Готовое к использованию | нет |
| Концентрация | 1 мг/мл |
| Конъюгат | По запросу: HRP, biotin, Cy3, Cy5, APC, AF488, AF594, AF405 |
| Валидировано для | IHC IP WB Иммуногистохимия; Иммунопреципитация; Вестерн-блоттинг |
| Рекомендуемые разведения | WB 1:500~1:2000; IHC 1:50~1:200; IP 1:50 |
| Метод очистки | Антигенспецифическая аффинная хроматография |
| Состав буфера | 50 нмоль Tris-Glycine(pH 7.4); 0.15M NaCl; 40% глицерин; 0.01% азид натрия и 0.05% БСА |
| Условия доставки | термобокс с аккумуляторами холода |
| Условия хранения | Сразу после получения аликвотировать и хранить при -20ºС до 12 месяцев с момента получения. Избегать повторения циклов замерзания/оттаивания |
| Срок хранения | 12 месяцев |
| Производитель | AssayVector |
|
Артикул
|
Наименование |
Производитель
|
|---|
|
Артикул
|
Наименование |
Производитель
|
|---|
|
Артикул
|
Наименование |
Производитель
|
|---|
|
Артикул
|
Наименование |
Производитель
|
|---|
Акции и предложения
Популярные продукты:
ADAM32 Mouse Monoclonal Antibody (BF9525)
Источник (хозяин): мышь
Реактивность подтвержденная: человек
Валидировано для: WB
Реактивность подтвержденная: человек
Валидировано для: WB
ELISA Kit DIY Materials for Glypican 3 (GPC3) (KSA971Mu01)
Организм: мышь
Диапазон определения: 13.7-10000 пг/мл
Чувствительность: 5.2 пг/мл
Диапазон определения: 13.7-10000 пг/мл
Чувствительность: 5.2 пг/мл
Guinea Pig Cytosolic non specific dipeptidase(CNDP2) ELISA kit (E05C1842)
Организм: морская свинка
Human Voltage dependent L type calcium channel subunit Alpha 1D(CACNA1D) ELISA kit (E01V0058)
Организм: человек
Диапазон определения: 50-1000 пг/мл
Чувствительность: 1 пг/мл
Диапазон определения: 50-1000 пг/мл
Чувствительность: 1 пг/мл
Chicken Metabotropic glutamate receptor 6(GRM6) ELISA kit (E12M0098)
Организм: курица
Sheep Dopamine Transporter ELISA kit (E14D0140)
Организм: овца

