| UNIPROT | P52566 |
| Иммуноген | Синтетический пептид, соответствующий human D4 GDI |
D4 GDI Recombinant Rabbit mAb (ARM1886)
Реактивность подтвержденная:
человек, мышь, крыса
Источник (хозяин):
кролик
Валидировано для:
FCM
IHC
WB
IF
ICC
Характеристики
Техническое описание
| Каталожный номер | ARM1886 |
| Название антигена | Rho GDP Dissociation Inhibitor Beta (ARHGDIb) |
| UNIPROT | P52566 |
| Иммуноген | Синтетический пептид, соответствующий human D4 GDI |
| Английские синонимы | D4, GDIA2, GDID4, LYGDI, Ly-GDI, RAP1GN1, RhoGDI2 |
Реактивность подтвержденная Нужна другая реактивность? |
человек, мышь, крыса |
| Источник (хозяин) | кролик |
| Изотип | IgG |
| Клональность | моноклональное |
| Рекомбинантное | да |
| Готовое к использованию | нет |
| Концентрация | 1 мг/мл |
| Конъюгат | По запросу: HRP, biotin, Cy3, Cy5, APC, AF488, AF594, AF405 |
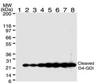
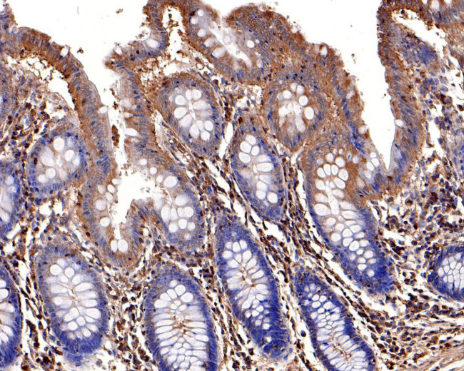
| Валидировано для | FCM IHC WB IF ICC Проточная цитометрия; Иммуногистохимия; Вестерн-блоттинг; Иммунофлуоресценция; Иммуноцитохимия |
| Рекомендуемые разведения | WB 1:500~1:2000; IHC 1:50~1:200; IF/ICC 1:50~1:200; FCM 1:50 |
| Метод очистки | Антигенспецифическая аффинная хроматография |
| Состав буфера | 50 нмоль Tris-Glycine(pH 7.4); 0.15M NaCl; 40% глицерин; 0.01% азид натрия и 0.05% БСА |
| Условия доставки | термобокс с аккумуляторами холода |
| Условия хранения | Сразу после получения аликвотировать и хранить при -20ºС до 12 месяцев с момента получения. Избегать повторения циклов замерзания/оттаивания |
| Срок хранения | 12 месяцев |
| Производитель | AssayVector |
|
Артикул
|
Наименование |
Производитель
|
|---|
|
Артикул
|
Наименование |
Производитель
|
|---|
|
Артикул
|
Наименование |
Производитель
|
|---|
Акции и предложения
Популярные продукты:
Monkey Aspartyl/asparaginyl β hydroxylase(ASPH) ELISA kit (E09A1727)
Организм: обезьяна
Canine Annexin A11(ANXA11) ELISA kit (E08A1543)
Организм: собака
Monkey Erythropoietin antibody ELISA kit (E09E0004)
Организм: обезьяна
Диапазон определения: 50-1000 нг/мл
Чувствительность: 1 нг/мл
Диапазон определения: 50-1000 нг/мл
Чувствительность: 1 нг/мл
Recombinant Cox A16 (strain G-10) VP1 Protein (Fc Tag) (PKSV030120)
Источник (хозяин): клетки насекомых
Организм: вирусы
Фрагмент: Gly568-Lys862
Теги: C-hFc
Биоактивность: нет
Организм: вирусы
Фрагмент: Gly568-Lys862
Теги: C-hFc
Биоактивность: нет
Anti-FN3K Polyclonal Antibody (PHJ56701)
Источник (хозяин): кролик
Реактивность подтвержденная: человек, мышь
Валидировано для: ELISA, IHC, WB
Реактивность подтвержденная: человек, мышь
Валидировано для: ELISA, IHC, WB

