| UNIPROT | P42126 |
| Иммуноген | Синтетический пептид, соответствующий human DCI |
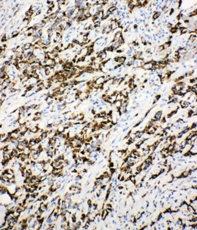
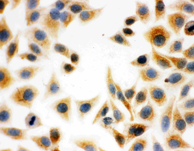
DCI Recombinant Rabbit mAb (ARM1895)
Реактивность подтвержденная:
человек, мышь, крыса
Источник (хозяин):
кролик
Валидировано для:
FCM
IHC
WB
IF
ICC
Характеристики
Техническое описание
| Каталожный номер | ARM1895 |
| Название антигена | Dodecenoyl Coenzyme A Delta Isomerase (DCI) |
| UNIPROT | P42126 |
| Иммуноген | Синтетический пептид, соответствующий human DCI |
| Английские синонимы | ECI1, 3,2 Trans-Enoyl-Coenzyme A Isomerase, Enoyl-CoA delta isomerase 1, mitochondrial, Delta(3),Delta(2)-enoyl-CoA isomerase, D3,D2-enoyl-CoA isomerase |
Реактивность подтвержденная Нужна другая реактивность? |
человек, мышь, крыса |
| Источник (хозяин) | кролик |
| Изотип | IgG |
| Клональность | моноклональное |
| Рекомбинантное | да |
| Готовое к использованию | нет |
| Концентрация | 1 мг/мл |
| Конъюгат | По запросу: HRP, biotin, Cy3, Cy5, APC, AF488, AF594, AF405 |
| Валидировано для | FCM IHC WB IF ICC Проточная цитометрия; Иммуногистохимия; Вестерн-блоттинг; Иммунофлуоресценция; Иммуноцитохимия |
| Рекомендуемые разведения | WB 1:500~1:2000; IHC 1:50~1:200; IF/ICC 1:50~1:200; FCM 1:50 |
| Метод очистки | Антигенспецифическая аффинная хроматография |
| Состав буфера | 50 нмоль Tris-Glycine(pH 7.4); 0.15M NaCl; 40% глицерин; 0.01% азид натрия и 0.05% БСА |
| Условия доставки | термобокс с аккумуляторами холода |
| Условия хранения | Сразу после получения аликвотировать и хранить при -20ºС до 12 месяцев с момента получения. Избегать повторения циклов замерзания/оттаивания |
| Срок хранения | 12 месяцев |
| Производитель | AssayVector |
|
Артикул
|
Наименование |
Производитель
|
|---|
|
Артикул
|
Наименование |
Производитель
|
|---|
|
Артикул
|
Наименование |
Производитель
|
|---|
Акции и предложения
Популярные продукты:
Anti-Heparanase (HPSE) Polyclonal Antibody (FAA711Mu01)
Источник (хозяин): кролик
Реактивность подтвержденная: мышь
Валидировано для: FCM
Реактивность подтвержденная: мышь
Валидировано для: FCM
Anti-Human ECI1 Polyclonal Antibody (PHE33901)
Источник (хозяин): кролик
Реактивность подтвержденная: человек
Валидировано для: ELISA, IHC, WB
Реактивность подтвержденная: человек
Валидировано для: ELISA, IHC, WB
SSX2IP Antibody (DF13582)
Источник (хозяин): кролик
Реактивность подтвержденная: человек, мышь, крыса
Валидировано для: IHC, WB
Реактивность подтвержденная: человек, мышь, крыса
Валидировано для: IHC, WB
RON Antibody (AF6620)
Источник (хозяин): кролик
Реактивность подтвержденная: человек, мышь, крыса
Валидировано для: WB
Реактивность подтвержденная: человек, мышь, крыса
Валидировано для: WB
Recombinant Staphylococcal Protein A (SPA) (RPA169Ge04)
Источник (хозяин): E.coli
Организм: для всех
Фрагмент: Ala37-Thr477
Теги: N-концевой His-Tag
Биоактивность: нет
Организм: для всех
Фрагмент: Ala37-Thr477
Теги: N-концевой His-Tag
Биоактивность: нет
Anti-Human Growth hormone/GH Antibody (Fs0383) (RHB93005)
Источник (хозяин): человек
Реактивность подтвержденная: человек
Валидировано для: ELISA, WB
Реактивность подтвержденная: человек
Валидировано для: ELISA, WB

