| UNIPROT | Q9UBN6 |
| Иммуноген | Синтетический пептид, соответствующий human DcR2 |
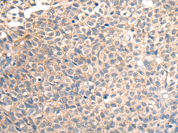
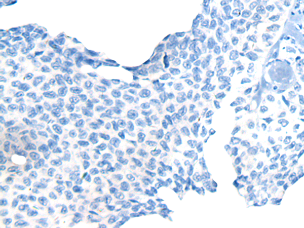
DcR2 Recombinant Rabbit mAb (ARM2044)
Реактивность подтвержденная:
человек
Источник (хозяин):
кролик
Валидировано для:
IHC
WB
IF
ICC
Характеристики
Техническое описание
| Каталожный номер | ARM2044 |
| Название антигена | Tumor Necrosis Factor Receptor Superfamily, Member 10D (TNFRSF10D) |
| UNIPROT | Q9UBN6 |
| Иммуноген | Синтетический пептид, соответствующий human DcR2 |
| Английские синонимы | CD264, CD 264, CD-264, TNFRSF10-D, DCR2, TRAILR4, TRUNDD, Decoy receptor 2, TNF-Related Apoptosis-Inducing Ligand Receptor 4, TRAIL Receptor With a Truncated Death Domain |
Реактивность подтвержденная Нужна другая реактивность? |
человек |
| Источник (хозяин) | кролик |
| Изотип | IgG |
| Клональность | моноклональное |
| Рекомбинантное | да |
| Готовое к использованию | нет |
| Концентрация | 1 мг/мл |
| Конъюгат | По запросу: HRP, biotin, Cy3, Cy5, APC, AF488, AF594, AF405 |
| Валидировано для | IHC WB IF ICC Иммуногистохимия; Вестерн-блоттинг; Иммунофлуоресценция; Иммуноцитохимия |
| Рекомендуемые разведения | WB 1:500~1:2000; IHC 1:50~1:200; IF/ICC 1:50~1:200 |
| Метод очистки | Антигенспецифическая аффинная хроматография |
| Состав буфера | 50 нмоль Tris-Glycine(pH 7.4); 0.15M NaCl; 40% глицерин; 0.01% азид натрия и 0.05% БСА |
| Условия доставки | термобокс с аккумуляторами холода |
| Условия хранения | Сразу после получения аликвотировать и хранить при -20ºС до 12 месяцев с момента получения. Избегать повторения циклов замерзания/оттаивания |
| Срок хранения | 12 месяцев |
| Производитель | AssayVector |
|
Артикул
|
Наименование |
Производитель
|
|---|
|
Артикул
|
Наименование |
Производитель
|
|---|
|
Артикул
|
Наименование |
Производитель
|
|---|
Акции и предложения
Популярные продукты:
Canine Phosphomevalonate kinase(PMVK) ELISA kit (E08P0852)
Организм: собака
Canine Transcription factor 12(TCF12) ELISA kit (E08T0669)
Организм: собака
Porcine F box only protein 10(FBXO10) ELISA kit (E07F0275)
Организм: свинья
Recombinant Human MAP1LC3B Protein(Sumo Tag) (PDEH100509)
Источник (хозяин): E.coli
Организм: человек
Фрагмент: His27-Val125
Теги: N-Sumo
Биоактивность: нет
Организм: человек
Фрагмент: His27-Val125
Теги: N-Sumo
Биоактивность: нет
Recombinant Human BACE1/ASP2 Protein (Fc Tag) (PKSH031902)
Источник (хозяин): HEK293
Организм: человек
Фрагмент: Met 1-Thr 457
Теги: C-hFc
Биоактивность: да
Организм: человек
Фрагмент: Met 1-Thr 457
Теги: C-hFc
Биоактивность: да
Anti-HK1 Polyclonal Antibody (PHD33301)
Источник (хозяин): кролик
Реактивность подтвержденная: человек, мышь, крыса
Валидировано для: ELISA, IHC, WB
Реактивность подтвержденная: человек, мышь, крыса
Валидировано для: ELISA, IHC, WB

