| UNIPROT | P35638 |
| Иммуноген | Синтетический пептид, соответствующий human DDIT3 |
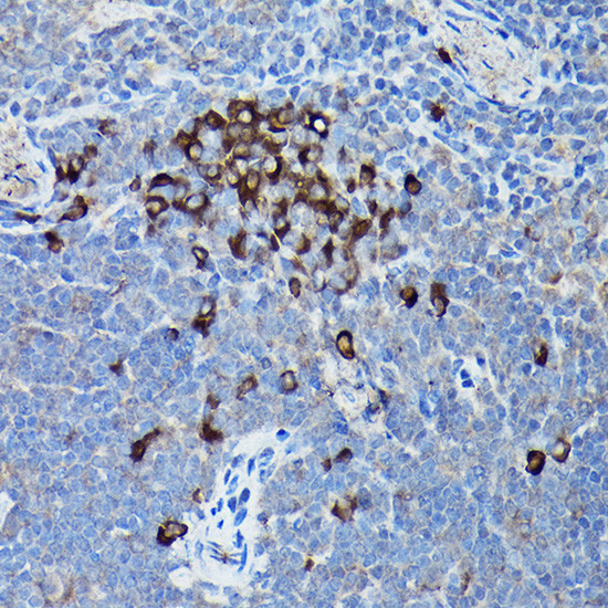
DDIT3 Recombinant Rabbit mAb (ARM2776)
Реактивность подтвержденная:
человек, мышь, крыса
Источник (хозяин):
кролик
Валидировано для:
IHC
WB
Характеристики
Техническое описание
| Каталожный номер | ARM2776 |
| Название антигена | DNA Damage Inducible Transcript 3 (DDIT3) |
| UNIPROT | P35638 |
| Иммуноген | Синтетический пептид, соответствующий human DDIT3 |
| Английские синонимы | CEBPZ, CHOP, CHOP10, GADD153, C/EBP-homologous protein 10, CCAAT/enhancer-binding protein homologous protein, Growth arrest and DNA damage-inducible GADD153 |
Реактивность подтвержденная Нужна другая реактивность? |
человек, мышь, крыса |
| Источник (хозяин) | кролик |
| Изотип | IgG |
| Клональность | моноклональное |
| Рекомбинантное | да |
| Готовое к использованию | нет |
| Концентрация | 1 мг/мл |
| Конъюгат | По запросу: HRP, biotin, Cy3, Cy5, APC, AF488, AF594, AF405 |
| Валидировано для | IHC WB Иммуногистохимия; Вестерн-блоттинг |
| Рекомендуемые разведения | WB 1:500~1:2000; IHC 1:50~1:200 |
| Метод очистки | Антигенспецифическая аффинная хроматография |
| Состав буфера | 50 нмоль Tris-Glycine(pH 7.4); 0.15M NaCl; 40% глицерин; 0.01% азид натрия и 0.05% БСА |
| Условия доставки | термобокс с аккумуляторами холода |
| Условия хранения | Сразу после получения аликвотировать и хранить при -20ºС до 12 месяцев с момента получения. Избегать повторения циклов замерзания/оттаивания |
| Срок хранения | 12 месяцев |
| Производитель | AssayVector |
|
Артикул
|
Наименование |
Производитель
|
|---|
|
Артикул
|
Наименование |
Производитель
|
|---|
|
Артикул
|
Наименование |
Производитель
|
|---|
|
Артикул
|
Наименование |
Производитель
|
|---|
|
Артикул
|
Наименование |
Производитель
|
|---|
Акции и предложения
Популярные продукты:
Anti-Heat Shock Protein 90kDa Beta 1 (HSP90b1) Polyclonal Antibody (FAA823Hu01)
Источник (хозяин): кролик
Реактивность подтвержденная: человек
Валидировано для: FCM
Реактивность подтвержденная: человек
Валидировано для: FCM
Human Apolipoprotein A5 ELISA kit (E01A0512)
Организм: человек
Диапазон определения: 1-25 мкг/мл
Чувствительность: 0.1 мкг/мл
Диапазон определения: 1-25 мкг/мл
Чувствительность: 0.1 мкг/мл
Rabbit Cadherin 6(CDH6) ELISA kit (E04C1548)
Организм: кролик
Recombinant Mouse GHR/GHBP Protein (His Tag) (PKSM040888)
Источник (хозяин): HEK293
Организм: мышь
Фрагмент: Met 1-Gln 273
Теги: C-His
Биоактивность: да
Организм: мышь
Фрагмент: Met 1-Gln 273
Теги: C-His
Биоактивность: да
Anti-CD62E/SELE Polyclonal Antibody (PHD18601)
Источник (хозяин): кролик
Реактивность подтвержденная: человек
Валидировано для: ELISA, IHC, WB
Реактивность подтвержденная: человек
Валидировано для: ELISA, IHC, WB

