| UNIPROT | O43583 |
| Иммуноген | Синтетический пептид, соответствующий human DENR во внутренней части белка |
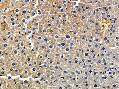
DENR Antibody (DF12938)
Реактивность подтвержденная:
человек, мышь, крыса
Источник (хозяин):
кролик
Валидировано для:
IHC
WB
Характеристики
Техническое описание
| Каталожный номер | DF12938 |
| Название антигена | Density Regulated Protein (DENR) |
| UNIPROT | O43583 |
| Иммуноген | Синтетический пептид, соответствующий human DENR во внутренней части белка |
| Английские синонимы | DRP, DRP1, SMAP-3, Smooth muscle cell-associated protein 3 |
Реактивность подтвержденная Нужна другая реактивность? |
человек, мышь, крыса |
| Реактивность предсказываемая | свинья, рыба, корова, лошадь, овца, кролик, собака, курица, лягушка |
| Источник (хозяин) | кролик |
| Изотип | IgG |
| Клональность | поликлональное |
| Рекомбинантное | нет |
| Готовое к использованию | нет |
| Концентрация | 1 мг/мл |
| Конъюгат | нет |
| Валидировано для | IHC WB Иммуногистохимия; Вестерн-блоттинг |
| Рекомендуемые разведения | IHC: 1:50-1:200; WB: 1:500-1:2000; Оптимальное разведение определяется конечным потребителем |
| Метод очистки | Антисыворотку очищали методом аффинной хроматографии пептидов с использованием связывающей смолы SulfoLink® (Thermo Fisher Scientific) |
| Состав буфера | Rabbit IgG в PBS; pH 7.4; 150mM NaCl; 0.02% азид натрия и 50% глицерин |
| RRID | AB_2845899 |
| Условия доставки | Термобокс с аккумуляторами холода |
| Условия хранения | Хранить при -20ºС. Стабилен 12 месяцев с даты получения |
| Срок хранения | 12 месяцев |
| Производитель | Affinity |
| Ссылка на страницу товара на сайте производителя | https://www.affbiotech.com/goods-16249-DF12938-DENR_Antibody.html |
|
Артикул
|
Наименование |
Производитель
|
|---|
|
Артикул
|
Наименование |
Производитель
|
|---|
|
Артикул
|
Наименование |
Производитель
|
|---|
Акции и предложения
Популярные продукты:
Recombinant Human HSPA1B/HSP70-2 Protein, N-His (YHC69401)
Источник (хозяин): E.coli
Организм: человек
Фрагмент: Met1-Asp641
Теги: N-His
Биоактивность: нет
Организм: человек
Фрагмент: Met1-Asp641
Теги: N-His
Биоактивность: нет
Anti-Human LOXL2 Antibody (SAA0169), APC (FHK06613)
Источник (хозяин): человек
Реактивность подтвержденная: человек
Валидировано для: FCM
Реактивность подтвержденная: человек
Валидировано для: FCM
Anti-Human LPL/LIPD Antibody (5D2), FITC (FHC22111)
Источник (хозяин): мышь
Реактивность подтвержденная: человек, мышь, крыса, корова
Валидировано для: ELISA, FCM, IF, WB
Реактивность подтвержденная: человек, мышь, крыса, корова
Валидировано для: ELISA, FCM, IF, WB
DENR Antibody (DF12938)
Источник (хозяин): кролик
Реактивность подтвержденная: человек, мышь, крыса
Валидировано для: IHC, WB
Реактивность подтвержденная: человек, мышь, крыса
Валидировано для: IHC, WB
Multiplex Assay Kit for Intelectin 1 (ITLN1) (LMA933Hu)
Организм: человек
Диапазон определения: 0.98-1000 пг/мл
Чувствительность: 0.327 пг/мл
Диапазон определения: 0.98-1000 пг/мл
Чувствительность: 0.327 пг/мл
Multiplex Assay Kit for Tissue Factor (TF) (LMA524Ra)
Организм: крыса
Диапазон определения: 1.95-2000 пг/мл
Чувствительность: 0.65 пг/мл
Диапазон определения: 1.95-2000 пг/мл
Чувствительность: 0.65 пг/мл

