| UNIPROT | O60832 |
| Иммуноген | Синтетический пептид, соответствующий human DKC1 во внутренней части белка |
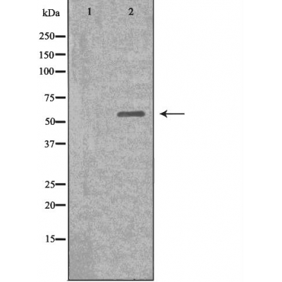
DKC1 Antibody (DF3037)
Реактивность подтвержденная:
человек, мышь, крыса
Источник (хозяин):
кролик
Валидировано для:
WB
IF
ICC
Характеристики
Техническое описание
| Каталожный номер | DF3037 |
| Название антигена | Dyskerin (DKC) |
| UNIPROT | O60832 |
| Иммуноген | Синтетический пептид, соответствующий human DKC1 во внутренней части белка |
| Английские синонимы | DKC1, NAP57, NOLA4, Dyskeratosis Congenita 1, H/ACA Ribonucleoprotein Complex Subunit 4, Nopp140-associated protein of 57 kDa, Nucleolar protein family A member 4 |
Реактивность подтвержденная Нужна другая реактивность? |
человек, мышь, крыса |
| Реактивность предсказываемая | свинья, рыба, корова, лошадь, овца, кролик, собака, курица |
| Источник (хозяин) | кролик |
| Изотип | IgG |
| Клональность | поликлональное |
| Рекомбинантное | нет |
| Готовое к использованию | нет |
| Концентрация | 1 мг/мл |
| Конъюгат | нет |
| Валидировано для | WB IF ICC Вестерн-блоттинг; Иммунофлуоресценция; Иммуноцитохимия |
| Рекомендуемые разведения | WB: 1:500-1:1000; IF/ICC: 1:100-1:500; Оптимальное разведение определяется конечным потребителем |
| Метод очистки | Антисыворотку очищали методом аффинной хроматографии пептидов с использованием связывающей смолы SulfoLink® (Thermo Fisher Scientific) |
| Состав буфера | Rabbit IgG в PBS; pH 7.4; 150mM NaCl; 0.02% азид натрия и 50% глицерин |
| RRID | AB_2835420 |
| Условия доставки | Термобокс с аккумуляторами холода |
| Условия хранения | Хранить при -20ºС. Стабилен 12 месяцев с даты получения |
| Срок хранения | 12 месяцев |
| Производитель | Affinity |
| Ссылка на страницу товара на сайте производителя | https://www.affbiotech.com/goods-2188-DF3037-DKC1_Antibody.html |
|
Артикул
|
Наименование |
Производитель
|
|---|
|
Артикул
|
Наименование |
Производитель
|
|---|
|
Артикул
|
Наименование |
Производитель
|
|---|
|
Артикул
|
Наименование |
Производитель
|
|---|
|
Артикул
|
Наименование |
Производитель
|
|---|
Акции и предложения
Популярные продукты:
Goat Ceramide kinase(CERK) ELISA kit (E06C1622)
Организм: коза
Monkey Growth Differentiation Factor 10 ELISA kit (E09G0121)
Организм: обезьяна
Porcine Transforming Growth Factor β 3 ELISA kit (E07T0168)
Организм: свинья
Rabbit S Antigen ELISA kit (E04S0054)
Организм: кролик
Bovine Cofilin 2, Muscle ELISA kit (E11C0470)
Организм: корова
Диапазон определения: 0.5-10 нг/мл
Чувствительность: 0.1 нг/мл
Диапазон определения: 0.5-10 нг/мл
Чувствительность: 0.1 нг/мл

