| UNIPROT | Q9Y5T4 |
| Иммуноген | Синтетический пептид, соответствующий human DNAJC15 во внутренней части белка |
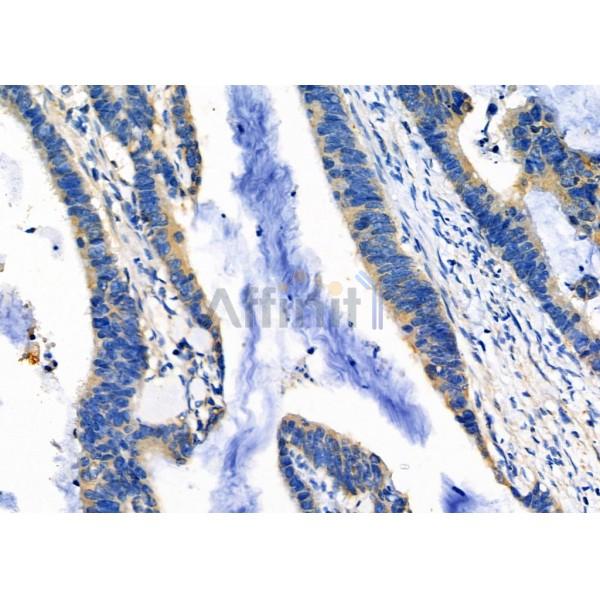
DNAJC15 Antibody (DF2918)
Реактивность подтвержденная:
человек, мышь, крыса
Источник (хозяин):
кролик
Валидировано для:
IHC
WB
Характеристики
Техническое описание
| Каталожный номер | DF2918 |
| Название антигена | DnaJ/HSP40 Homolog Subfamily C, Member 15 (DNAJC15) |
| UNIPROT | Q9Y5T4 |
| Иммуноген | Синтетический пептид, соответствующий human DNAJC15 во внутренней части белка |
| Английские синонимы | DNAJD1, MCJ, GIG22, Methylation-Controlled J Protein, Cell growth-inhibiting gene 22 protein, Methylation-controlled J protein |
Реактивность подтвержденная Нужна другая реактивность? |
человек, мышь, крыса |
| Реактивность предсказываемая | свинья, рыба, корова, лошадь, овца, кролик, собака, курица |
| Источник (хозяин) | кролик |
| Изотип | IgG |
| Клональность | поликлональное |
| Рекомбинантное | нет |
| Готовое к использованию | нет |
| Концентрация | 1 мг/мл |
| Конъюгат | нет |
| Валидировано для | IHC WB Иммуногистохимия; Вестерн-блоттинг |
| Рекомендуемые разведения | WB: 1:1000-3000; IHC: 1:50-1:200; Оптимальное разведение определяется конечным потребителем |
| Метод очистки | Антисыворотку очищали методом аффинной хроматографии пептидов с использованием связывающей смолы SulfoLink® (Thermo Fisher Scientific) |
| Состав буфера | Rabbit IgG в PBS; pH 7.4; 150mM NaCl; 0.02% азид натрия и 50% глицерин |
| RRID | AB_2840906 |
| Условия доставки | Термобокс с аккумуляторами холода |
| Условия хранения | Хранить при -20ºС. Стабилен 12 месяцев с даты получения |
| Срок хранения | 12 месяцев |
| Производитель | Affinity |
| Ссылка на страницу товара на сайте производителя | https://www.affbiotech.com/goods-11170-DF2918-DNAJC15_Antibody.html |
|
Артикул
|
Наименование |
Производитель
|
|---|
|
Артикул
|
Наименование |
Производитель
|
|---|
Акции и предложения
Популярные продукты:
Sheep RhoA Protein ELISA kit (E14R0353)
Организм: овца
Chicken Leukemia inhibitory factor receptor ELISA kit (E12L0235)
Организм: курица
Anti-Mouse IL34 Antibody (FAb1.1) (RMJ10802)
Источник (хозяин): мышь
Реактивность подтвержденная: человек, мышь
Валидировано для: ELISA, FCM
Реактивность подтвержденная: человек, мышь
Валидировано для: ELISA, FCM
Multiplex Assay Kit for Pepsin (PP) (LMA632Mu)
Организм: мышь
Диапазон определения: 0.2-200 нг/мл
Чувствительность: 0.067 нг/мл
Диапазон определения: 0.2-200 нг/мл
Чувствительность: 0.067 нг/мл
Human Eosinophil peroxidase(EPX) ELISA kit (E01E0383)
Организм: человек
Диапазон определения: 5-100 нг/мл
Чувствительность: 1 нг/мл
Диапазон определения: 5-100 нг/мл
Чувствительность: 1 нг/мл
Canine Cysteine rich protein 2(CRIP2) ELISA kit (E08C2060)
Организм: собака

