| UNIPROT | P49770 |
| Иммуноген | Синтетический пептид, соответствующий human EIF2B2 во внутренней части белка |
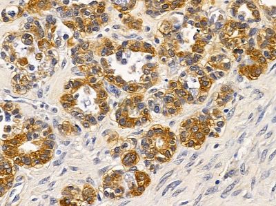
EIF2B2 Antibody (DF2254)
Реактивность подтвержденная:
человек, мышь, крыса
Источник (хозяин):
кролик
Валидировано для:
IHC
WB
IF
ICC
Характеристики
Техническое описание
| Каталожный номер | DF2254 |
| Название антигена | Eukaryotic Translation Initiation Factor 2B2 (EIF2B2) |
| UNIPROT | P49770 |
| Иммуноген | Синтетический пептид, соответствующий human EIF2B2 во внутренней части белка |
| Английские синонимы | EIF2B, EIF-2Bbeta, EIF2BB, eIF-2B GDP-GTP exchange factor subunit beta |
Реактивность подтвержденная Нужна другая реактивность? |
человек, мышь, крыса |
| Реактивность предсказываемая | свинья, корова, лошадь, овца, кролик, собака, курица |
| Источник (хозяин) | кролик |
| Изотип | IgG |
| Клональность | поликлональное |
| Рекомбинантное | нет |
| Готовое к использованию | нет |
| Концентрация | 1 мг/мл |
| Конъюгат | нет |
| Валидировано для | IHC WB IF ICC Иммуногистохимия; Вестерн-блоттинг; Иммунофлуоресценция; Иммуноцитохимия |
| Рекомендуемые разведения | IHC: 1:50-1:200; WB: 1:500-1:2000; IF/ICC: 1:100-1:500; Оптимальное разведение определяется конечным потребителем |
| Метод очистки | Антисыворотку очищали методом аффинной хроматографии пептидов с использованием связывающей смолы SulfoLink® (Thermo Fisher Scientific) |
| Состав буфера | Rabbit IgG в PBS; pH 7.4; 150mM NaCl; 0.02% азид натрия и 50% глицерин |
| RRID | AB_2839483 |
| Условия доставки | Термобокс с аккумуляторами холода |
| Условия хранения | Хранить при -20ºС. Стабилен 12 месяцев с даты получения |
| Срок хранения | 12 месяцев |
| Производитель | Affinity |
| Ссылка на страницу товара на сайте производителя | https://www.affbiotech.com/goods-6356-DF2254-EIF2B2_Antibody.html |
|
Артикул
|
Наименование |
Производитель
|
|---|
Акции и предложения
Популярные продукты:
Annexin A2 Mouse Monoclonal Antibody (BF8033)
Источник (хозяин): мышь
Реактивность подтвержденная: человек, мышь
Валидировано для: ICC, IF, IHC, WB
Реактивность подтвержденная: человек, мышь
Валидировано для: ICC, IF, IHC, WB
Casein Kinase 1 alpha Mouse Monoclonal Antibody (BF8962)
Источник (хозяин): мышь
Реактивность подтвержденная: человек
Валидировано для: WB
Реактивность подтвержденная: человек
Валидировано для: WB
Cathepsin D (CatD) Activity Fluorometric Assay Kit (E-BC-F052)
Организм: для всех
Диапазон определения: 0.02 Ед/л
Чувствительность: 0.02-30.00 Ед/л
Диапазон определения: 0.02 Ед/л
Чувствительность: 0.02-30.00 Ед/л
Guinea Pig Calpain 11(CAPN11) ELISA kit (E05C1355)
Организм: морская свинка

