| UNIPROT | Q96A83 |
| Иммуноген | Синтетический пептид, соответствующий human EMID2 во внутренней части белка |
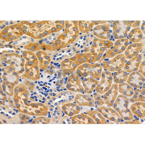
EMID2 Antibody (DF10102)
Реактивность подтвержденная:
человек, мышь, крыса
Источник (хозяин):
кролик
Валидировано для:
IHC
WB
Характеристики
Техническое описание
| Каталожный номер | DF10102 |
| Название антигена | Collagen Type XXVI (COL26) |
| UNIPROT | Q96A83 |
| Иммуноген | Синтетический пептид, соответствующий human EMID2 во внутренней части белка |
| Английские синонимы | EMID2, COL26A1, COL26-A1, EMI6, EMU2, HEmu2, EMI Domain Containing 2, Collagen Alpha-1(XXVI)chain, Emilin and multimerin domain-containing protein 2 |
| Русские синонимы | Коллаген 26, коллаген-26 |
Реактивность подтвержденная Нужна другая реактивность? |
человек, мышь, крыса |
| Источник (хозяин) | кролик |
| Изотип | IgG |
| Клональность | поликлональное |
| Рекомбинантное | нет |
| Готовое к использованию | нет |
| Концентрация | 1 мг/мл |
| Конъюгат | нет |
| Валидировано для | IHC WB Иммуногистохимия; Вестерн-блоттинг |
| Рекомендуемые разведения | WB: 1:1000-3000; IHC: 1:50-1:200; Оптимальное разведение определяется конечным потребителем |
| Метод очистки | Антисыворотку очищали методом аффинной хроматографии пептидов с использованием связывающей смолы SulfoLink® (Thermo Fisher Scientific) |
| Состав буфера | Rabbit IgG в PBS; pH 7.4; 150mM NaCl; 0.02% азид натрия и 50% глицерин |
| RRID | AB_2840682 |
| Условия доставки | Термобокс с аккумуляторами холода |
| Условия хранения | Хранить при -20ºС. Стабилен 12 месяцев с даты получения |
| Срок хранения | 12 месяцев |
| Производитель | Affinity |
| Ссылка на страницу товара на сайте производителя | https://www.affbiotech.com/goods-10944-DF10102-EMID2_Antibody.html |
Акции и предложения
Популярные продукты:
Rat Vesicle Associated Membrane Protein 3 ELISA kit (E02V0413)
Организм: крыса
Guinea Pig Heat Shock Protein 60 ELISA kit (E05H0008)
Организм: морская свинка
Anti-Human CD3E Polyclonal Antibody (PHC27701)
Источник (хозяин): кролик
Реактивность подтвержденная: человек
Валидировано для: ELISA, IF, IHC, WB
Реактивность подтвержденная: человек
Валидировано для: ELISA, IF, IHC, WB
COX2 Polyclonal Antibody (E-AB-17010)
Источник (хозяин): кролик
Реактивность подтвержденная: человек, мышь, крыса
Валидировано для: IHC
Реактивность подтвержденная: человек, мышь, крыса
Валидировано для: IHC
ISL2 Polyclonal Antibody (E-AB-52044)
Источник (хозяин): кролик
Реактивность подтвержденная: человек, мышь, крыса
Валидировано для: WB
Реактивность подтвержденная: человек, мышь, крыса
Валидировано для: WB
ERBB2 Polyclonal Antibody (E-AB-70195)
Источник (хозяин): кролик
Реактивность подтвержденная: человек
Валидировано для: WB
Реактивность подтвержденная: человек
Валидировано для: WB

