| UNIPROT | P54760 |
| Иммуноген | Рекомбинантный белок human Eph receptor B4/HTK |
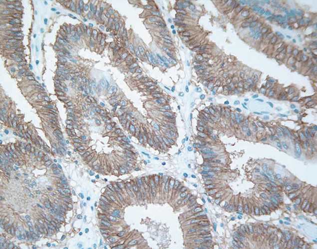
Ephrin Receptor B4 Recombinant Rabbit mAb (ARM2472)
Реактивность подтвержденная:
человек, мышь
Источник (хозяин):
кролик
Валидировано для:
IHC
WB
Характеристики
Техническое описание
| Каталожный номер | ARM2472 |
| Название антигена | Ephrin Type B Receptor 4 (EPHB4) |
| UNIPROT | P54760 |
| Иммуноген | Рекомбинантный белок human Eph receptor B4/HTK |
| Английские синонимы | HTK, MYK1, TYRO11, Hepatoma transmembrane kinase, Tyrosine-protein kinase TYRO11 |
Реактивность подтвержденная Нужна другая реактивность? |
человек, мышь |
| Источник (хозяин) | кролик |
| Изотип | IgG |
| Клональность | моноклональное |
| Рекомбинантное | да |
| Готовое к использованию | нет |
| Концентрация | 1 мг/мл |
| Конъюгат | По запросу: HRP, biotin, Cy3, Cy5, APC, AF488, AF594, AF405 |
| Валидировано для | IHC WB Иммуногистохимия; Вестерн-блоттинг |
| Рекомендуемые разведения | WB 1:500~1:2000; IHC 1:50~1:200 |
| Метод очистки | Антигенспецифическая аффинная хроматография |
| Состав буфера | 50 нмоль Tris-Glycine(pH 7.4); 0.15M NaCl; 40% глицерин; 0.01% азид натрия и 0.05% БСА |
| Условия доставки | термобокс с аккумуляторами холода |
| Условия хранения | Сразу после получения аликвотировать и хранить при -20ºС до 12 месяцев с момента получения. Избегать повторения циклов замерзания/оттаивания |
| Срок хранения | 12 месяцев |
| Производитель | AssayVector |
|
Артикул
|
Наименование |
Производитель
|
|---|
|
Артикул
|
Наименование |
Производитель
|
|---|
|
Артикул
|
Наименование |
Производитель
|
|---|
Акции и предложения
Популярные продукты:
Canine Adenylate cyclase type 6(ADCY6) ELISA kit (E08A1259)
Организм: собака
Goat Lactadherin(MFGE8) ELISA kit (E06L0335)
Организм: коза
Anti-LCP1 Polyclonal Antibody (PHD01101)
Источник (хозяин): кролик
Реактивность подтвержденная: человек, мышь, крыса
Валидировано для: ELISA, IHC, WB
Реактивность подтвержденная: человек, мышь, крыса
Валидировано для: ELISA, IHC, WB
Anti-Human CD31/PECAM1 Monoclonal Antibody (1A433) (MHD16403)
Источник (хозяин): мышь
Реактивность подтвержденная: человек
Валидировано для: ELISA
Реактивность подтвержденная: человек
Валидировано для: ELISA
Recombinant Human PTH Protein, C-His (EHB93401)
Источник (хозяин): клетки млекопитающих
Организм: человек
Фрагмент: Met1-Gln115
Теги: C-His
Биоактивность: нет
Организм: человек
Фрагмент: Met1-Gln115
Теги: C-His
Биоактивность: нет
SMAD7 Polyclonal Antibody (E-AB-53271)
Источник (хозяин): кролик
Реактивность подтвержденная: человек, мышь, крыса
Валидировано для: IHC, WB
Реактивность подтвержденная: человек, мышь, крыса
Валидировано для: IHC, WB

