| UNIPROT | P07992 |
| Иммуноген | Синтетический пептид, соответствующий human ERCC1 |
ERCC1 Recombinant Rabbit mAb (ARM2734)
Реактивность подтвержденная:
человек, мышь
Источник (хозяин):
кролик
Валидировано для:
FCM
IHC
WB
IF
ICC
Характеристики
Техническое описание
| Каталожный номер | ARM2734 |
| Название антигена | Excision Repair Cross Complementing Rodent Repair Deficiency Complementation 1 (ERCC1) |
| UNIPROT | P07992 |
| Иммуноген | Синтетический пептид, соответствующий human ERCC1 |
| Английские синонимы | UV20, DNA excision repair protein ERCC-1 |
Реактивность подтвержденная Нужна другая реактивность? |
человек, мышь |
| Источник (хозяин) | кролик |
| Изотип | IgG |
| Клональность | моноклональное |
| Рекомбинантное | да |
| Готовое к использованию | нет |
| Концентрация | 1 мг/мл |
| Конъюгат | По запросу: HRP, biotin, Cy3, Cy5, APC, AF488, AF594, AF405 |
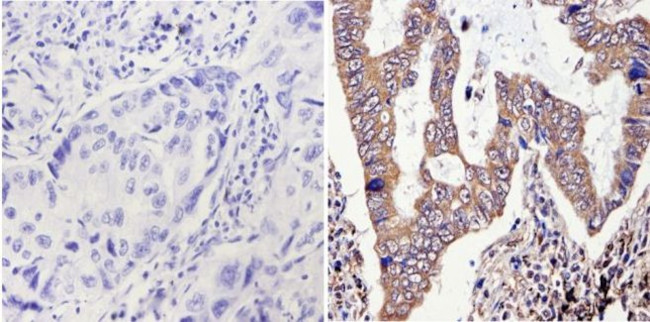
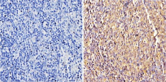
| Валидировано для | FCM IHC WB IF ICC Проточная цитометрия; Иммуногистохимия; Вестерн-блоттинг; Иммунофлуоресценция; Иммуноцитохимия |
| Рекомендуемые разведения | WB 1:500~1:2000; IHC 1:50~1:200; IF/ICC 1:50~1:200; FCM 1:50 |
| Метод очистки | Антигенспецифическая аффинная хроматография |
| Состав буфера | 50 нмоль Tris-Glycine(pH 7.4); 0.15M NaCl; 40% глицерин; 0.01% азид натрия и 0.05% БСА |
| Условия доставки | термобокс с аккумуляторами холода |
| Условия хранения | Сразу после получения аликвотировать и хранить при -20ºС до 12 месяцев с момента получения. Избегать повторения циклов замерзания/оттаивания |
| Срок хранения | 12 месяцев |
| Производитель | AssayVector |
|
Артикул
|
Наименование |
Производитель
|
|---|
|
Артикул
|
Наименование |
Производитель
|
|---|
|
Артикул
|
Наименование |
Производитель
|
|---|
Акции и предложения
Популярные продукты:
InVivoMAb Anti-Mouse IL-18 Antibody (YIGIF74-1G7) (VMG70701)
Источник (хозяин): крыса
Реактивность подтвержденная: мышь
Валидировано для: ELISA, NEUT
Реактивность подтвержденная: мышь
Валидировано для: ELISA, NEUT
Monkey Immunoglobulin Transcription Factor 1 ELISA kit (E09I0762)
Организм: обезьяна
Human ATP binding cassette sub family C member 9(ABCC9) ELISA kit (E01A1144)
Организм: человек
Диапазон определения: 250-5000 пг/мл
Чувствительность: 1 пг/мл
Диапазон определения: 250-5000 пг/мл
Чувствительность: 1 пг/мл

