| UNIPROT | O43592 |
| Иммуноген | Синтетический пептид, соответствующий Human Exportin T |
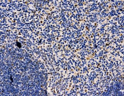
Exportin T Antibody (DF13834)
Реактивность подтвержденная:
человек, мышь, крыса
Источник (хозяин):
кролик
Валидировано для:
IHC
WB
Характеристики
Техническое описание
| Каталожный номер | DF13834 |
| Название антигена | Exportin 3 (XPO3) |
| UNIPROT | O43592 |
| Иммуноген | Синтетический пептид, соответствующий Human Exportin T |
| Английские синонимы | XPOT, Exportin,tRNA(Nuclear Export Receptor For tRNAs) |
Реактивность подтвержденная Нужна другая реактивность? |
человек, мышь, крыса |
| Источник (хозяин) | кролик |
| Изотип | IgG |
| Клональность | поликлональное |
| Рекомбинантное | нет |
| Готовое к использованию | нет |
| Концентрация | 1 мг/мл |
| Конъюгат | нет |
| Валидировано для | IHC WB Иммуногистохимия; Вестерн-блоттинг |
| Рекомендуемые разведения | IHC: 1:50-1:200; WB: 1:500-1:2000; Оптимальное разведение определяется конечным потребителем |
| Метод очистки | Антисыворотку очищали методом аффинной хроматографии пептидов с использованием связывающей смолы SulfoLink® (Thermo Fisher Scientific) |
| Состав буфера | Rabbit IgG в PBS; pH 7.4; 150mM NaCl; 0.02% азид натрия и 50% глицерин |
| Условия доставки | Термобокс с аккумуляторами холода |
| Условия хранения | Хранить при -20ºС. Стабилен 12 месяцев с даты получения |
| Срок хранения | 12 месяцев |
| Производитель | Affinity |
| Ссылка на страницу товара на сайте производителя | https://www.affbiotech.com/goods-18269-DF13834-Exportin_T_Antibody.html |
|
Артикул
|
Наименование |
Производитель
|
|---|
Акции и предложения
Популярные продукты:
Anti-CADM1/SynCAM1 Polyclonal Antibody (PHN06201)
Источник (хозяин): кролик
Реактивность подтвержденная: человек, мышь
Валидировано для: ELISA, IF, IHC, WB
Реактивность подтвержденная: человек, мышь
Валидировано для: ELISA, IF, IHC, WB
Chicken AP 1 complex subunit sigma 2(AP1S2) ELISA kit (E12A1560)
Организм: курица
Human Anoctamin 3(ANO3) ELISA kit (E01A1529)
Организм: человек
Диапазон определения: 0.5-10 нг/мл
Чувствительность: 0.1 нг/мл
Диапазон определения: 0.5-10 нг/мл
Чувствительность: 0.1 нг/мл
Mouse vitamin B3 ELISA kit (E03V0421)
Организм: мышь
Sheep Tissue Polypeptide Antigen ELISA kit (E14T0013)
Организм: овца
Human Interleukin 10 ELISA kit (E01I0023)
Организм: человек
Диапазон определения: 50-1000 пг/мл
Чувствительность: 1 пг/мл
Диапазон определения: 50-1000 пг/мл
Чувствительность: 1 пг/мл

