| UNIPROT | O60488 |
| Иммуноген | Синтетический пептид, соответствующий human FACL4 |
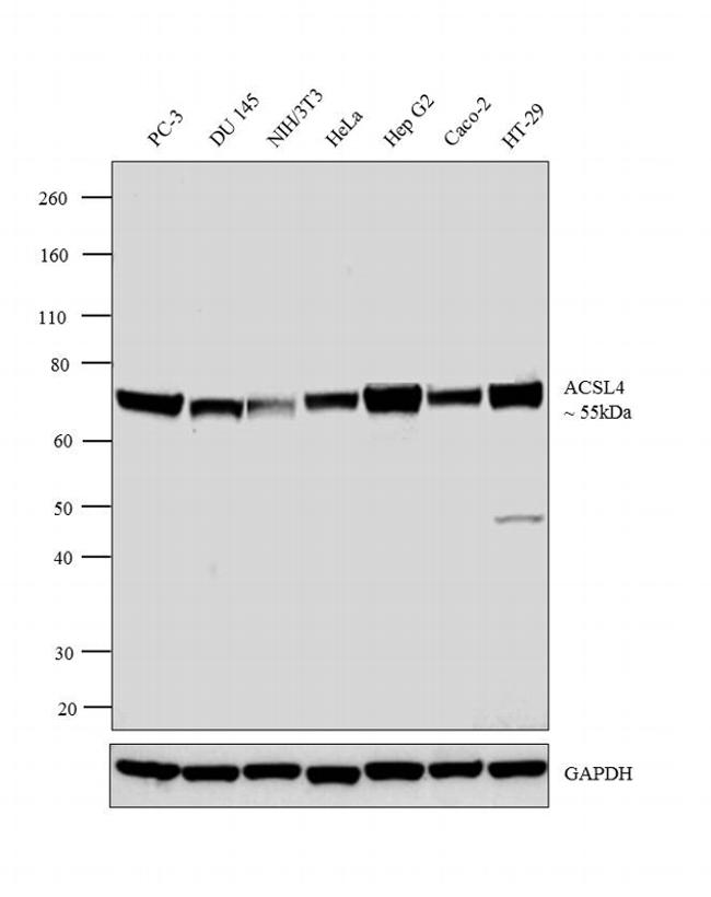
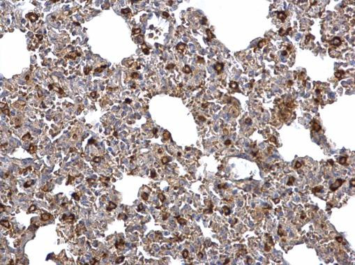
FACL4 Recombinant Rabbit mAb (ARM1410)
Реактивность подтвержденная:
человек, мышь, крыса
Источник (хозяин):
кролик
Валидировано для:
FCM
IHC
IP
WB
IF
ICC
Характеристики
Техническое описание
| Каталожный номер | ARM1410 |
| Название антигена | Acyl Coenzyme A Synthetase Long Chain Family, Member 4 (ACSL4) |
| UNIPROT | O60488 |
| Иммуноген | Синтетический пептид, соответствующий human FACL4 |
| Английские синонимы | ACS4, FACL4, LACS4, MRX63, MRX68, Fatty-Acid-Coenzyme A Ligase,Long-Chain 4, Mental Retardation,X-Linked 63, Lignoceroyl-CoA Synthase |
Реактивность подтвержденная Нужна другая реактивность? |
человек, мышь, крыса |
| Источник (хозяин) | кролик |
| Изотип | IgG |
| Клональность | моноклональное |
| Рекомбинантное | да |
| Готовое к использованию | нет |
| Концентрация | 1 мг/мл |
| Конъюгат | По запросу: HRP, biotin, Cy3, Cy5, APC, AF488, AF594, AF405 |
| Валидировано для | FCM IHC IP WB IF ICC Проточная цитометрия; Иммуногистохимия; Иммунопреципитация; Вестерн-блоттинг; Иммунофлуоресценция; Иммуноцитохимия |
| Рекомендуемые разведения | WB 1:500~1:2000; IHC 1:50~1:200; IF/ICC 1:50~1:200; FCM 1:50; IP 1:50 |
| Метод очистки | Антигенспецифическая аффинная хроматография |
| Состав буфера | 50 нмоль Tris-Glycine(pH 7.4); 0.15M NaCl; 40% глицерин; 0.01% азид натрия и 0.05% БСА |
| Условия доставки | термобокс с аккумуляторами холода |
| Условия хранения | Сразу после получения аликвотировать и хранить при -20ºС до 12 месяцев с момента получения. Избегать повторения циклов замерзания/оттаивания |
| Срок хранения | 12 месяцев |
| Производитель | AssayVector |
|
Артикул
|
Наименование |
Производитель
|
|---|
|
Артикул
|
Наименование |
Производитель
|
|---|
|
Артикул
|
Наименование |
Производитель
|
|---|
Акции и предложения
Популярные продукты:
ELISA Kit DIY Materials for Acetylcholinesterase (ACHE) (KSB447Mu01)
Организм: мышь
Диапазон определения: 0.78-50 нг/мл
Чувствительность: 0.27 нг/мл
Диапазон определения: 0.78-50 нг/мл
Чувствительность: 0.27 нг/мл
Bovine DNA Methyltransferase 1 ELISA kit (E11D0320)
Организм: корова
Rabbit Complement Component 2 ELISA kit (E04C0359)
Организм: кролик
Monkey Coagulation Factor XII ELISA kit (E09F0027)
Организм: обезьяна
Диапазон определения: 5-100 нг/мл
Чувствительность: 1 нг/мл
Диапазон определения: 5-100 нг/мл
Чувствительность: 1 нг/мл
Monkey E Cadherin ELISA kit (E09E0122)
Организм: обезьяна

