| UNIPROT | Q05397 |
| Иммуноген | Синтетический пептид, соответствующий human FAK |
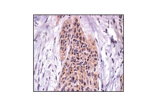
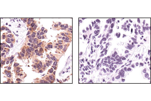
FAK Recombinant Rabbit mAb (ARM2727)
Реактивность подтвержденная:
человек, мышь, крыса
Источник (хозяин):
кролик
Валидировано для:
FCM
IHC
IP
WB
IF
ICC
Характеристики
Техническое описание
| Каталожный номер | ARM2727 |
| Название антигена | Focal Adhesion Kinase (FAK) |
| UNIPROT | Q05397 |
| Иммуноген | Синтетический пептид, соответствующий human FAK |
| Английские синонимы | PTK2, FADK, FAK1, Pp125FAK, PPP1R71, Protein Tyrosine Kinase 2, Focal adhesion kinase-related nonkinase, Protein phosphatase 1 regulatory subunit 71 |
Реактивность подтвержденная Нужна другая реактивность? |
человек, мышь, крыса |
| Источник (хозяин) | кролик |
| Изотип | IgG |
| Клональность | моноклональное |
| Рекомбинантное | да |
| Готовое к использованию | нет |
| Концентрация | 1 мг/мл |
| Конъюгат | По запросу: HRP, biotin, Cy3, Cy5, APC, AF488, AF594, AF405 |
| Валидировано для | FCM IHC IP WB IF ICC Проточная цитометрия; Иммуногистохимия; Иммунопреципитация; Вестерн-блоттинг; Иммунофлуоресценция; Иммуноцитохимия |
| Рекомендуемые разведения | WB 1:500~1:2000; IHC 1:50~1:200; IF/ICC 1:50~1:200; FCM 1:50; IP 1:50 |
| Метод очистки | Антигенспецифическая аффинная хроматография |
| Состав буфера | 50 нмоль Tris-Glycine(pH 7.4); 0.15M NaCl; 40% глицерин; 0.01% азид натрия и 0.05% БСА |
| Условия доставки | термобокс с аккумуляторами холода |
| Условия хранения | Сразу после получения аликвотировать и хранить при -20ºС до 12 месяцев с момента получения. Избегать повторения циклов замерзания/оттаивания |
| Срок хранения | 12 месяцев |
| Производитель | AssayVector |
|
Артикул
|
Наименование |
Производитель
|
|---|
|
Артикул
|
Наименование |
Производитель
|
|---|
|
Артикул
|
Наименование |
Производитель
|
|---|
|
Артикул
|
Наименование |
Производитель
|
|---|
|
Артикул
|
Наименование |
Производитель
|
|---|
Акции и предложения
Популярные продукты:
Human AT rich interactive domain containing protein 5B(ARID5B) ELISA kit (E01A1646)
Организм: человек
Диапазон определения: 5-100 нг/мл
Чувствительность: 1 нг/мл
Диапазон определения: 5-100 нг/мл
Чувствительность: 1 нг/мл
Guinea Pig Cdc42 effector protein 5(CDC42EP5) ELISA kit (E05C1519)
Организм: морская свинка
Rat Complexin 4(CPLX4) ELISA kit (E02C2005)
Организм: крыса
Rat Adrenocorticotropic Hormone receptor ELISA kit (E02A0016)
Организм: крыса
Rabbit Transferrin Receptor ELISA kit (E04T0137)
Организм: кролик

