| UNIPROT | P09467 |
| Иммуноген | Синтетический пептид, соответствующий human FBP1 |
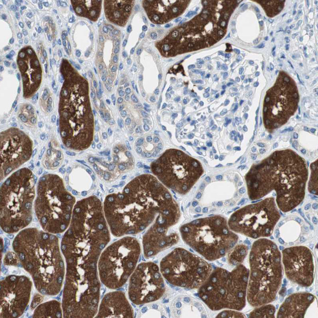
FBP1 Recombinant Rabbit mAb (ARM1509)
Реактивность подтвержденная:
человек, мышь, крыса
Источник (хозяин):
кролик
Валидировано для:
IHC
WB
Характеристики
Техническое описание
| Каталожный номер | ARM1509 |
| Название антигена | Fructose-1,6-Bisphosphatase (FBP) |
| UNIPROT | P09467 |
| Иммуноген | Синтетический пептид, соответствующий human FBP1 |
| Английские синонимы | FBP1, FBPase 1, Liver FBPase, D-fructose-1,6-bisphosphate 1-phosphohydrolase 1 |
Реактивность подтвержденная Нужна другая реактивность? |
человек, мышь, крыса |
| Источник (хозяин) | кролик |
| Изотип | IgG |
| Клональность | моноклональное |
| Рекомбинантное | да |
| Готовое к использованию | нет |
| Концентрация | 1 мг/мл |
| Конъюгат | По запросу: HRP, biotin, Cy3, Cy5, APC, AF488, AF594, AF405 |
| Валидировано для | IHC WB Иммуногистохимия; Вестерн-блоттинг |
| Рекомендуемые разведения | WB 1:500~1:2000; IHC 1:50~1:200 |
| Метод очистки | Антигенспецифическая аффинная хроматография |
| Состав буфера | 50 нмоль Tris-Glycine(pH 7.4); 0.15M NaCl; 40% глицерин; 0.01% азид натрия и 0.05% БСА |
| Условия доставки | термобокс с аккумуляторами холода |
| Условия хранения | Сразу после получения аликвотировать и хранить при -20ºС до 12 месяцев с момента получения. Избегать повторения циклов замерзания/оттаивания |
| Срок хранения | 12 месяцев |
| Производитель | AssayVector |
|
Артикул
|
Наименование |
Производитель
|
|---|
|
Артикул
|
Наименование |
Производитель
|
|---|
Акции и предложения
Популярные продукты:
Monkey Antithrombin III(AT III) ELISA kit (E09A1970)
Организм: обезьяна
Диапазон определения: 50-1000 мкг/мл
Чувствительность: 1 мкг/мл
Диапазон определения: 50-1000 мкг/мл
Чувствительность: 1 мкг/мл
Rabbit Transferrin ELISA kit (E04T0130)
Организм: кролик
Canine cytokein 20,CK20 ELISA kit (E08C2330)
Организм: собака
Monkey Prolactin ELISA kit (E09P0039)
Организм: обезьяна
Диапазон определения: 10-250 нг/мл
Чувствительность: 1 нг/мл
Диапазон определения: 10-250 нг/мл
Чувствительность: 1 нг/мл
Anti-Human CD25/IL2RA Antibody (BT942) (RHB95802)
Источник (хозяин): мышь
Реактивность подтвержденная: человек
Валидировано для: ELISA
Реактивность подтвержденная: человек
Валидировано для: ELISA
FBP1 Recombinant Rabbit mAb (ARM1509)
Источник (хозяин): кролик
Реактивность подтвержденная: человек, мышь, крыса
Валидировано для: IHC, WB
Реактивность подтвержденная: человек, мышь, крыса
Валидировано для: IHC, WB

