| UNIPROT | P37268 |
| Иммуноген | Рекомбинантный белок human FDFT1 |
FDFT1 Recombinant Rabbit mAb (ARM1127)
Реактивность подтвержденная:
человек, мышь, крыса
Источник (хозяин):
кролик
Валидировано для:
IHC
IP
WB
IF
ICC
Характеристики
Техническое описание
| Каталожный номер | ARM1127 |
| Название антигена | Farnesyl Diphosphate Farnesyltransferase 1 (FDFT1) |
| UNIPROT | P37268 |
| Иммуноген | Рекомбинантный белок human FDFT1 |
| Английские синонимы | SQS, SS, Squalene Synthase, FPP farnesyltransferase |
Реактивность подтвержденная Нужна другая реактивность? |
человек, мышь, крыса |
| Источник (хозяин) | кролик |
| Изотип | IgG |
| Клональность | моноклональное |
| Рекомбинантное | да |
| Готовое к использованию | нет |
| Концентрация | 1 мг/мл |
| Конъюгат | По запросу: HRP, biotin, Cy3, Cy5, APC, AF488, AF594, AF405 |
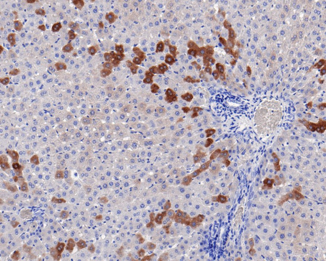
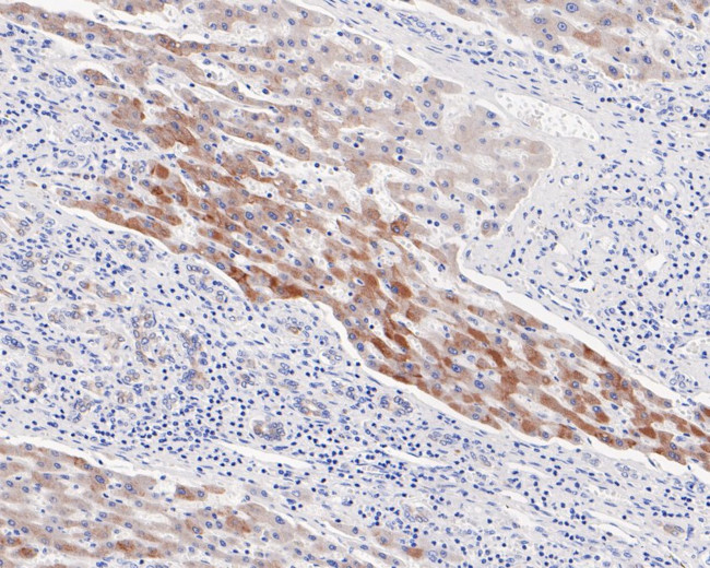
| Валидировано для | IHC IP WB IF ICC Иммуногистохимия; Иммунопреципитация; Вестерн-блоттинг; Иммунофлуоресценция; Иммуноцитохимия |
| Рекомендуемые разведения | WB 1:500~1:2000; IHC 1:50~1:200; IF/ICC 1:50~1:200; IP 1:50 |
| Метод очистки | Антигенспецифическая аффинная хроматография |
| Состав буфера | 50 нмоль Tris-Glycine(pH 7.4); 0.15M NaCl; 40% глицерин; 0.01% азид натрия и 0.05% БСА |
| Условия доставки | термобокс с аккумуляторами холода |
| Условия хранения | Сразу после получения аликвотировать и хранить при -20ºС до 12 месяцев с момента получения. Избегать повторения циклов замерзания/оттаивания |
| Срок хранения | 12 месяцев |
| Производитель | AssayVector |
|
Артикул
|
Наименование |
Производитель
|
|---|
|
Артикул
|
Наименование |
Производитель
|
|---|
|
Артикул
|
Наименование |
Производитель
|
|---|
|
Артикул
|
Наименование |
Производитель
|
|---|
|
Артикул
|
Наименование |
Производитель
|
|---|
Акции и предложения
Популярные продукты:
Monkey 6 phosphogluconolactonase(PGLS) ELISA kit (E09P0905)
Организм: обезьяна
Monkey Glucagon Like Peptide 2 ELISA kit (E09G0032)
Организм: обезьяна
Porcine Glucagon Like Peptide 2 ELISA kit (E07G0032)
Организм: свинья
Goat Complexin 1(CPLX1) ELISA kit (E06C2002)
Организм: коза
Guinea Pig Acylphosphatase 1(ACYP1) ELISA kit (E05A1237)
Организм: морская свинка
Human Acylphosphatase 1(ACYP1) ELISA kit (E01A1237)
Организм: человек
Диапазон определения: 100-2500 пг/мл
Чувствительность: 1 пг/мл
Диапазон определения: 100-2500 пг/мл
Чувствительность: 1 пг/мл

