| UNIPROT | Q01628 |
| Иммуноген | Синтетический пептид, соответствующий human Fragilis |
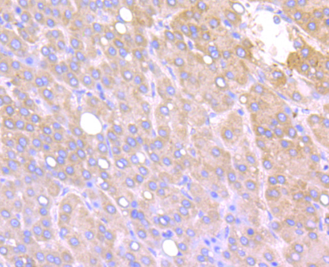
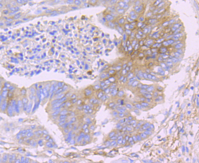
Fragilis Recombinant Rabbit mAb (ARM2677)
Реактивность подтвержденная:
человек
Источник (хозяин):
кролик
Валидировано для:
FCM
IHC
WB
IF
ICC
Характеристики
Техническое описание
| Каталожный номер | ARM2677 |
| Название антигена | Interferon Induced Transmembrane Protein 3 (IFITM3) |
| UNIPROT | Q01628 |
| Иммуноген | Синтетический пептид, соответствующий human Fragilis |
| Английские синонимы | 1-8U, IP15, DSPA2b, Dispanin subfamily A member 2b, Interferon-inducible protein 1-8U |
Реактивность подтвержденная Нужна другая реактивность? |
человек |
| Источник (хозяин) | кролик |
| Изотип | IgG |
| Клональность | моноклональное |
| Рекомбинантное | да |
| Готовое к использованию | нет |
| Концентрация | 1 мг/мл |
| Конъюгат | По запросу: HRP, biotin, Cy3, Cy5, APC, AF488, AF594, AF405 |
| Валидировано для | FCM IHC WB IF ICC Проточная цитометрия; Иммуногистохимия; Вестерн-блоттинг; Иммунофлуоресценция; Иммуноцитохимия |
| Рекомендуемые разведения | WB 1:500~1:2000; IHC 1:50~1:200; IF/ICC 1:50~1:200; FCM 1:50 |
| Метод очистки | Антигенспецифическая аффинная хроматография |
| Состав буфера | 50 нмоль Tris-Glycine(pH 7.4); 0.15M NaCl; 40% глицерин; 0.01% азид натрия и 0.05% БСА |
| Условия доставки | термобокс с аккумуляторами холода |
| Условия хранения | Сразу после получения аликвотировать и хранить при -20ºС до 12 месяцев с момента получения. Избегать повторения циклов замерзания/оттаивания |
| Срок хранения | 12 месяцев |
| Производитель | AssayVector |
|
Артикул
|
Наименование |
Производитель
|
|---|
|
Артикул
|
Наименование |
Производитель
|
|---|
Акции и предложения
Популярные продукты:
Porcine Interleukin 26 ELISA kit (E07I0017)
Организм: свинья
Monkey Bone Morphogenetic Protein Receptor 1B ELISA kit (E09B0546)
Организм: обезьяна
Anti-SESN1 Antibody (R2Q50) (RHN70101)
Источник (хозяин): кролик
Реактивность подтвержденная: человек, мышь, крыса
Валидировано для: FCM, WB
Реактивность подтвержденная: человек, мышь, крыса
Валидировано для: FCM, WB
TMX2 Polyclonal Antibody (E-AB-67062)
Источник (хозяин): кролик
Реактивность подтвержденная: человек, мышь, крыса
Валидировано для: IF
Реактивность подтвержденная: человек, мышь, крыса
Валидировано для: IF

