| UNIPROT | Q13283 |
| Иммуноген | Синтетический пептид, соответствующий human G3BP |
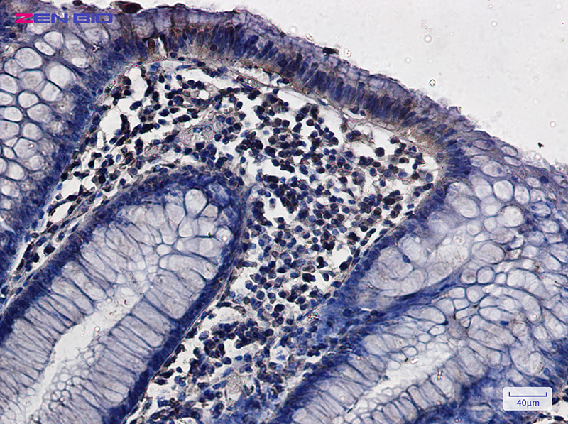
G3BP Recombinant Rabbit mAb (ARM1121)
Реактивность подтвержденная:
человек
Источник (хозяин):
кролик
Валидировано для:
FCM
IHC
IP
WB
IF
ICC
Характеристики
Техническое описание
| Каталожный номер | ARM1121 |
| Название антигена | GTPase Activating Protein SH3 Domain Binding Protein 1 (G3BP1) |
| UNIPROT | Q13283 |
| Иммуноген | Синтетический пептид, соответствующий human G3BP |
| Английские синонимы | G3BP, HDH-VIII, ATP-dependent DNA helicase VIII, GAP SH3 domain-binding protein 1 |
Реактивность подтвержденная Нужна другая реактивность? |
человек |
| Источник (хозяин) | кролик |
| Изотип | IgG |
| Клональность | моноклональное |
| Рекомбинантное | да |
| Готовое к использованию | нет |
| Концентрация | 1 мг/мл |
| Конъюгат | По запросу: HRP, biotin, Cy3, Cy5, APC, AF488, AF594, AF405 |
| Валидировано для | FCM IHC IP WB IF ICC Проточная цитометрия; Иммуногистохимия; Иммунопреципитация; Вестерн-блоттинг; Иммунофлуоресценция; Иммуноцитохимия |
| Рекомендуемые разведения | WB 1:500~1:2000; IHC 1:50~1:200; IF/ICC 1:50~1:200; FCM 1:50; IP 1:50 |
| Метод очистки | Антигенспецифическая аффинная хроматография |
| Состав буфера | 50 нмоль Tris-Glycine(pH 7.4); 0.15M NaCl; 40% глицерин; 0.01% азид натрия и 0.05% БСА |
| Условия доставки | термобокс с аккумуляторами холода |
| Условия хранения | Сразу после получения аликвотировать и хранить при -20ºС до 12 месяцев с момента получения. Избегать повторения циклов замерзания/оттаивания |
| Срок хранения | 12 месяцев |
| Производитель | AssayVector |
|
Артикул
|
Наименование |
Производитель
|
|---|
|
Артикул
|
Наименование |
Производитель
|
|---|
|
Артикул
|
Наименование |
Производитель
|
|---|
Акции и предложения
Популярные продукты:
G3BP Recombinant Rabbit mAb (ARM1121)
Источник (хозяин): кролик
Реактивность подтвержденная: человек
Валидировано для: FCM, IHC, IP, WB, IF, ICC
Реактивность подтвержденная: человек
Валидировано для: FCM, IHC, IP, WB, IF, ICC
Multiplex Assay Kit for Cholinergic Receptor, Nicotinic, Alpha 1 (CHRNa1) (LMA981Hu)
Организм: человек
Диапазон определения: 0.05-50 нг/мл
Чувствительность: 0.017 нг/мл
Диапазон определения: 0.05-50 нг/мл
Чувствительность: 0.017 нг/мл
Multiplex Assay Kit for Cholecystokinin A Receptor (CCKAR) (LMA104Mu)
Организм: мышь
Диапазон определения: 0.01-10 нг/мл
Чувствительность: 0.003 нг/мл
Диапазон определения: 0.01-10 нг/мл
Чувствительность: 0.003 нг/мл
Active Cluster of Differentiation 59 (CD59) (APB336Hu62)
Источник (хозяин): 293F
Организм: человек
Фрагмент: Leu26-Asn102
Теги: N-концевой His-Tag
Биоактивность: да
Организм: человек
Фрагмент: Leu26-Asn102
Теги: N-концевой His-Tag
Биоактивность: да
Recombinant A Disintegrin and Metalloproteinase With Thrombospondin 12 (ADAMTS12) (RPP226Hu01)
Источник (хозяин): E.coli
Организм: человек
Фрагмент: Gln823-Pro997
Теги: N-концевой His-Tag
Биоактивность: нет
Организм: человек
Фрагмент: Gln823-Pro997
Теги: N-концевой His-Tag
Биоактивность: нет

