| UNIPROT | Q14344 |
| Иммуноген | Синтетический пептид, соответствующий human G protein alpha 13 |
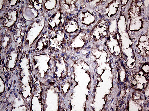
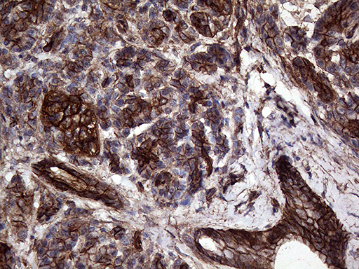
G protein alpha 13 Recombinant Rabbit mAb (ARM1416)
Реактивность подтвержденная:
человек, мышь, крыса
Источник (хозяин):
кролик
Валидировано для:
IHC
WB
Характеристики
Техническое описание
| Каталожный номер | ARM1416 |
| Название антигена | G Protein Alpha 13 (GNa13) |
| UNIPROT | Q14344 |
| Иммуноген | Синтетический пептид, соответствующий human G protein alpha 13 |
| Английские синонимы | G13, Guanine Nucleotide-Binding Protein Subunit Alpha-13 |
Реактивность подтвержденная Нужна другая реактивность? |
человек, мышь, крыса |
| Источник (хозяин) | кролик |
| Изотип | IgG |
| Клональность | моноклональное |
| Рекомбинантное | да |
| Готовое к использованию | нет |
| Концентрация | 1 мг/мл |
| Конъюгат | По запросу: HRP, biotin, Cy3, Cy5, APC, AF488, AF594, AF405 |
| Валидировано для | IHC WB Иммуногистохимия; Вестерн-блоттинг |
| Рекомендуемые разведения | WB 1:500~1:2000; IHC 1:50~1:200 |
| Метод очистки | Антигенспецифическая аффинная хроматография |
| Состав буфера | 50 нмоль Tris-Glycine(pH 7.4); 0.15M NaCl; 40% глицерин; 0.01% азид натрия и 0.05% БСА |
| Условия доставки | термобокс с аккумуляторами холода |
| Условия хранения | Сразу после получения аликвотировать и хранить при -20ºС до 12 месяцев с момента получения. Избегать повторения циклов замерзания/оттаивания |
| Срок хранения | 12 месяцев |
| Производитель | AssayVector |
|
Артикул
|
Наименование |
Производитель
|
|---|
|
Артикул
|
Наименование |
Производитель
|
|---|
Акции и предложения
Популярные продукты:
Recombinant Growth Associated Protein 43 (GAP43) (RPB327Mu01)
Источник (хозяин): E.coli
Организм: мышь
Фрагмент: Thr8-Ala228
Теги: N-концевой His-Tag
Биоактивность: нет
Организм: мышь
Фрагмент: Thr8-Ala228
Теги: N-концевой His-Tag
Биоактивность: нет
ALDH3A2 Mouse Monoclonal Antibody (BF8581)
Источник (хозяин): мышь
Реактивность подтвержденная: человек, мышь
Валидировано для: WB
Реактивность подтвержденная: человек, мышь
Валидировано для: WB
ELISA Kit DIY Materials for Interferon Tau (IFNt) (KSB862Bo01)
Организм: корова
Диапазон определения: 7.8-500 пг/мл
Чувствительность: 3.1 пг/мл
Диапазон определения: 7.8-500 пг/мл
Чувствительность: 3.1 пг/мл
Goat Apolipoprotein O(APOO) ELISA kit (E06A1606)
Организм: коза
Sheep Prostaglandin D2 ELISA kit (E14P0179)
Организм: овца

