| UNIPROT | O95166 |
| Иммуноген | Синтетический пептид, соответствующий human GABARAP на N-конце |
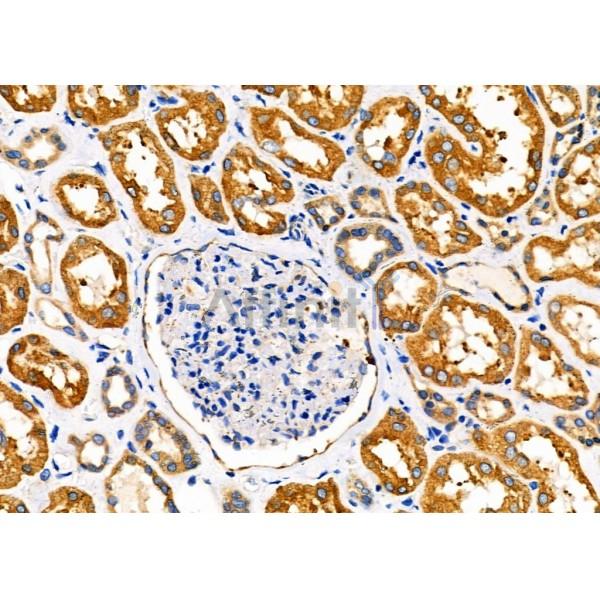
GABARAP Antibody (DF7419)
Реактивность подтвержденная:
человек, мышь, крыса
Источник (хозяин):
кролик
Валидировано для:
IHC
WB
Характеристики
Техническое описание
| Каталожный номер | DF7419 |
| Название антигена | GABA-A Receptor Associated Protein (GABARAP) |
| UNIPROT | O95166 |
| Иммуноген | Синтетический пептид, соответствующий human GABARAP на N-конце |
| Английские синонимы | MM46, Gamma-aminobutyric acid receptor-associated protein |
Реактивность подтвержденная Нужна другая реактивность? |
человек, мышь, крыса |
| Реактивность предсказываемая | свинья, корова, овца, кролик, собака, лягушка |
| Источник (хозяин) | кролик |
| Изотип | IgG |
| Клональность | поликлональное |
| Рекомбинантное | нет |
| Готовое к использованию | нет |
| Концентрация | 1 мг/мл |
| Конъюгат | нет |
| Валидировано для | IHC WB Иммуногистохимия; Вестерн-блоттинг |
| Рекомендуемые разведения | WB: 1:500-1:2000; IHC: 1:50-1:200; Оптимальное разведение определяется конечным потребителем |
| Метод очистки | Антисыворотку очищали методом аффинной хроматографии пептидов с использованием связывающей смолы SulfoLink® (Thermo Fisher Scientific) |
| Состав буфера | Rabbit IgG в PBS; pH 7.4; 150mM NaCl; 0.02% азид натрия и 50% глицерин |
| RRID | AB_2839357 |
| Условия доставки | Термобокс с аккумуляторами холода |
| Условия хранения | Хранить при -20ºС. Стабилен 12 месяцев с даты получения |
| Срок хранения | 12 месяцев |
| Производитель | Affinity |
| Ссылка на страницу товара на сайте производителя | https://www.affbiotech.com/goods-6213-DF7419-GABARAP_Antibody.html |
|
Артикул
|
Наименование |
Производитель
|
|---|
|
Артикул
|
Наименование |
Производитель
|
|---|
Акции и предложения
Популярные продукты:
ELISA Kit for Dimethylarginine Dimethylaminohydrolase 1 (DDAH1) (RD982S-Mu)
Организм: мышь
Диапазон определения: 0.156-10 нг/мл
Чувствительность: 0.055 нг/мл
Диапазон определения: 0.156-10 нг/мл
Чувствительность: 0.055 нг/мл
Porcine Opioid Receptor Kappa 1 ELISA kit (E07O0856)
Организм: свинья
Human Moesin(MSN) ELISA kit (E01M0401)
Организм: человек
Диапазон определения: 1-25 нг/мл
Чувствительность: 0.1 нг/мл
Диапазон определения: 1-25 нг/мл
Чувствительность: 0.1 нг/мл
Sheep Complement Component 8b ELISA kit (E14C0355)
Организм: овца
Chicken Complement Component 8b ELISA kit (E12C0355)
Организм: курица
Bovine Complement Component 8b ELISA kit (E11C0355)
Организм: корова

