| UNIPROT | P17931 |
| Иммуноген | Рекомбинантный белок human Galectin 3 |
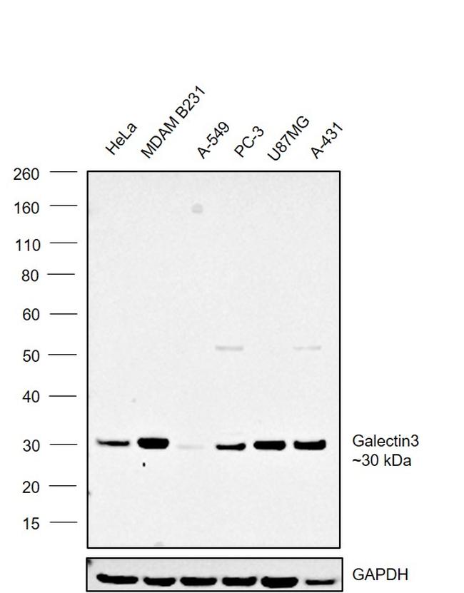
Galectin 3 Recombinant Rabbit mAb (ARM1295)
Реактивность подтвержденная:
человек
Источник (хозяин):
кролик
Валидировано для:
FCM
IHC
IP
WB
IF
ICC
Характеристики
Техническое описание
| Каталожный номер | ARM1295 |
| Название антигена | Galectin 3 (GAL3) |
| UNIPROT | P17931 |
| Иммуноген | Рекомбинантный белок human Galectin 3 |
| Английские синонимы | LGALS3, CBP35, GALBP, GALIG, MAC2, 35 kDa lectin, Carbohydrate-binding protein 35, Galactose-specific lectin 3, Galactoside-binding protein, Laminin-binding protein, Lectin L-29, Galectin-3 |
| Русские синонимы | Галектин-3 |
Реактивность подтвержденная Нужна другая реактивность? |
человек |
| Источник (хозяин) | кролик |
| Изотип | IgG |
| Клональность | моноклональное |
| Рекомбинантное | да |
| Готовое к использованию | нет |
| Концентрация | 1 мг/мл |
| Конъюгат | По запросу: HRP, biotin, Cy3, Cy5, APC, AF488, AF594, AF405 |
| Валидировано для | FCM IHC IP WB IF ICC Проточная цитометрия; Иммуногистохимия; Иммунопреципитация; Вестерн-блоттинг; Иммунофлуоресценция; Иммуноцитохимия |
| Рекомендуемые разведения | WB 1:500~1:2000; IHC 1:50~1:200; IF/ICC 1:50~1:200; FCM 1:50; IP 1:50 |
| Метод очистки | Антигенспецифическая аффинная хроматография |
| Состав буфера | 50 нмоль Tris-Glycine(pH 7.4); 0.15M NaCl; 40% глицерин; 0.01% азид натрия и 0.05% БСА |
| Условия доставки | термобокс с аккумуляторами холода |
| Условия хранения | Сразу после получения аликвотировать и хранить при -20ºС до 12 месяцев с момента получения. Избегать повторения циклов замерзания/оттаивания |
| Срок хранения | 12 месяцев |
| Производитель | AssayVector |
|
Артикул
|
Наименование |
Производитель
|
|---|
|
Артикул
|
Наименование |
Производитель
|
|---|
|
Артикул
|
Наименование |
Производитель
|
|---|
|
Артикул
|
Наименование |
Производитель
|
|---|
|
Артикул
|
Наименование |
Производитель
|
|---|
|
Артикул
|
Наименование |
Производитель
|
|---|
|
Артикул
|
Наименование |
Производитель
|
|---|
|
Артикул
|
Наименование |
Производитель
|
|---|
|
Артикул
|
Наименование |
Производитель
|
|---|
|
Артикул
|
Наименование |
Производитель
|
|---|
Акции и предложения
Популярные продукты:
Monkey Mesothelin ELISA kit (E09M0519)
Организм: обезьяна
Monkey Alanine ELISA kit (E09A4348)
Организм: обезьяна
Monkey Plasminogen ELISA kit (E09P0127)
Организм: обезьяна
Monkey Prolactin ELISA kit (E09P0039)
Организм: обезьяна
Диапазон определения: 10-250 нг/мл
Чувствительность: 1 нг/мл
Диапазон определения: 10-250 нг/мл
Чувствительность: 1 нг/мл
Sheep Coagulation Factor II ELISA kit (E14F0193)
Организм: овца
Rabbit Oxidized lowdensity lipoprotein ELISA kit (E04O0341)
Организм: кролик
Диапазон определения: 0.5-10 нг/мл
Чувствительность: 0.1 нг/мл
Диапазон определения: 0.5-10 нг/мл
Чувствительность: 0.1 нг/мл

