| UNIPROT | P23258 |
| Иммуноген | Рекомбинантный белок human gamma Tubulin |
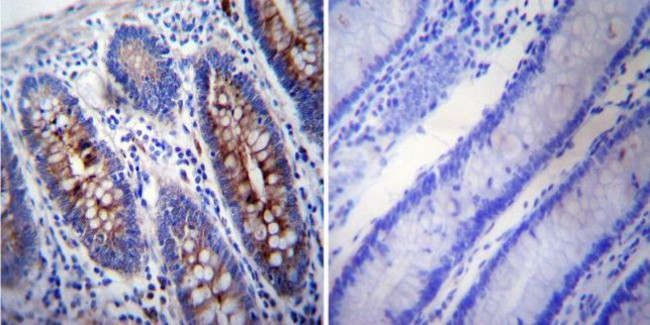
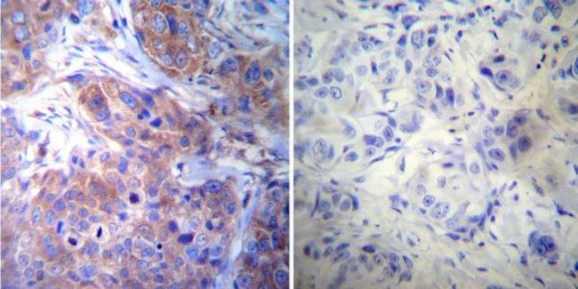
gamma Tubulin Recombinant Rabbit mAb (ARM2618)
Реактивность подтвержденная:
человек, мышь, крыса
Источник (хозяин):
кролик
Валидировано для:
FCM
IHC
IP
WB
IF
ICC
Характеристики
Техническое описание
| Каталожный номер | ARM2618 |
| Название антигена | Tubulin Gamma 1 (TUBg1) |
| UNIPROT | P23258 |
| Иммуноген | Рекомбинантный белок human gamma Tubulin |
| Английские синонимы | TUBGCP1, GCP-1, Gamma-tubulin complex component 1 |
Реактивность подтвержденная Нужна другая реактивность? |
человек, мышь, крыса |
| Источник (хозяин) | кролик |
| Изотип | IgG |
| Клональность | моноклональное |
| Рекомбинантное | да |
| Готовое к использованию | нет |
| Концентрация | 1 мг/мл |
| Конъюгат | По запросу: HRP, biotin, Cy3, Cy5, APC, AF488, AF594, AF405 |
| Валидировано для | FCM IHC IP WB IF ICC Проточная цитометрия; Иммуногистохимия; Иммунопреципитация; Вестерн-блоттинг; Иммунофлуоресценция; Иммуноцитохимия |
| Рекомендуемые разведения | WB 1:500~1:2000; IHC 1:50~1:200; IF/ICC 1:50~1:200; FCM 1:50; IP 1:50 |
| Метод очистки | Антигенспецифическая аффинная хроматография |
| Состав буфера | 50 нмоль Tris-Glycine(pH 7.4); 0.15M NaCl; 40% глицерин; 0.01% азид натрия и 0.05% БСА |
| Условия доставки | термобокс с аккумуляторами холода |
| Условия хранения | Сразу после получения аликвотировать и хранить при -20ºС до 12 месяцев с момента получения. Избегать повторения циклов замерзания/оттаивания |
| Срок хранения | 12 месяцев |
| Производитель | AssayVector |
|
Артикул
|
Наименование |
Производитель
|
|---|
|
Артикул
|
Наименование |
Производитель
|
|---|
|
Артикул
|
Наименование |
Производитель
|
|---|
|
Артикул
|
Наименование |
Производитель
|
|---|
|
Артикул
|
Наименование |
Производитель
|
|---|
Акции и предложения
Популярные продукты:
Mouse Epoxide hydrolase 1(EPHX1) ELISA kit (E03E0380)
Организм: мышь
Rabbit Neuritin ELISA kit (E04N0599)
Организм: кролик
Sheep Periostin ELISA kit (E14P0110)
Организм: овца
Canine Glycogen synthase 2 ELISA kit (E08G0666)
Организм: собака
Chicken cAMP Specific Phosphodiesterase 4D ELISA kit (E12C0036)
Организм: курица

