| UNIPROT | P48507 |
| Иммуноген | Синтетический пептид, соответствующий human GCLM |
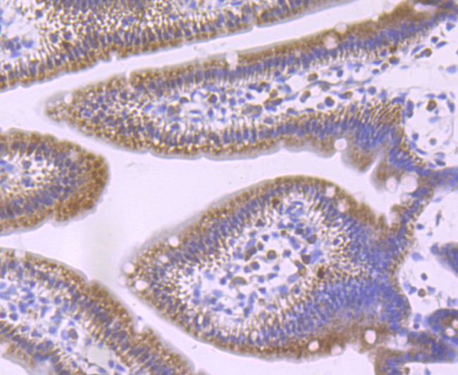
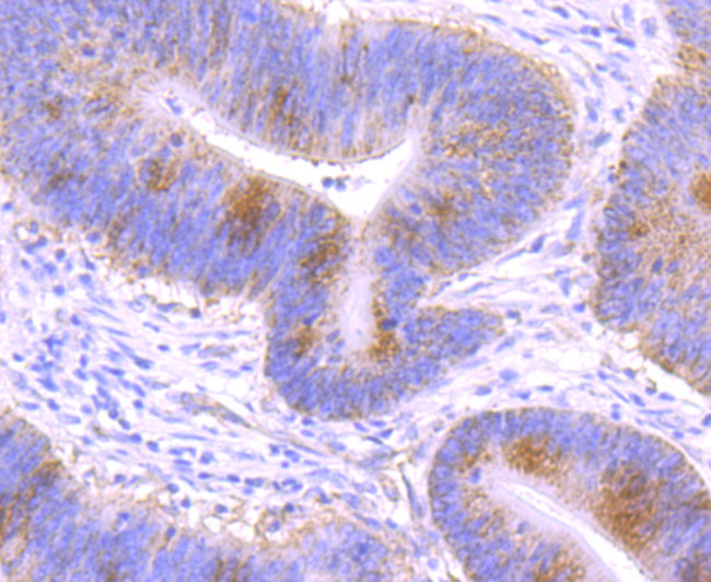
GCLM Recombinant Rabbit mAb (ARM2218)
Реактивность подтвержденная:
человек, мышь, крыса
Источник (хозяин):
кролик
Валидировано для:
FCM
IHC
IP
WB
Характеристики
Техническое описание
| Каталожный номер | ARM2218 |
| Название антигена | Glutamate Cysteine Ligase, Modifier Subunit (GCLM) |
| UNIPROT | P48507 |
| Иммуноген | Синтетический пептид, соответствующий human GCLM |
| Английские синонимы | GLCLR, GECS, GCL, Gamma Glutamylcysteine Synthetase, Glutamate Cysteine Ligase Regulatory, Gamma-ECS regulatory subunit, Glutamate cysteine ligase modifier subunit |
Реактивность подтвержденная Нужна другая реактивность? |
человек, мышь, крыса |
| Источник (хозяин) | кролик |
| Изотип | IgG |
| Клональность | моноклональное |
| Рекомбинантное | да |
| Готовое к использованию | нет |
| Концентрация | 1 мг/мл |
| Конъюгат | По запросу: HRP, biotin, Cy3, Cy5, APC, AF488, AF594, AF405 |
| Валидировано для | FCM IHC IP WB Проточная цитометрия; Иммуногистохимия; Иммунопреципитация; Вестерн-блоттинг |
| Рекомендуемые разведения | WB 1:500~1:2000; IHC 1:50~1:200; FCM 1:50; IP 1:50 |
| Метод очистки | Антигенспецифическая аффинная хроматография |
| Состав буфера | 50 нмоль Tris-Glycine(pH 7.4); 0.15M NaCl; 40% глицерин; 0.01% азид натрия и 0.05% БСА |
| Условия доставки | термобокс с аккумуляторами холода |
| Условия хранения | Сразу после получения аликвотировать и хранить при -20ºС до 12 месяцев с момента получения. Избегать повторения циклов замерзания/оттаивания |
| Срок хранения | 12 месяцев |
| Производитель | AssayVector |
|
Артикул
|
Наименование |
Производитель
|
|---|
|
Артикул
|
Наименование |
Производитель
|
|---|
|
Артикул
|
Наименование |
Производитель
|
|---|
|
Артикул
|
Наименование |
Производитель
|
|---|
|
Артикул
|
Наименование |
Производитель
|
|---|
Акции и предложения
Популярные продукты:
Rat Cochlin(COCH) ELISA kit (E02C1879)
Организм: крыса
Rat Antigen peptide transporter 2(TAP2) ELISA kit (E02A2005)
Организм: крыса
ELISA Kit DIY Materials for Interleukin 12A (IL12A) (KSA059Mu01)
Организм: мышь
Диапазон определения: 15.6-1000 пг/мл
Чувствительность: 5.7 пг/мл
Диапазон определения: 15.6-1000 пг/мл
Чувствительность: 5.7 пг/мл
Polyclonal Antibody to Platelet Factor 4 (PF4) (PAA172Hu02)
Источник (хозяин): кролик
Реактивность подтвержденная: человек
Валидировано для: WB
Реактивность подтвержденная: человек
Валидировано для: WB
Rabbit 5-Hydroxytryptophan ELISA kit (E04H1454)
Организм: кролик

