| UNIPROT | P11413 |
| Иммуноген | Синтетический пептид, соответствующий human Glucose 6 Phosphate Dehydrogenase |
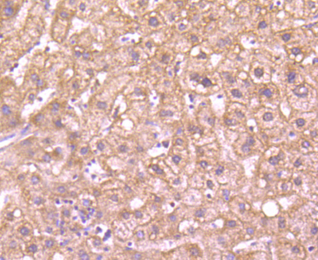
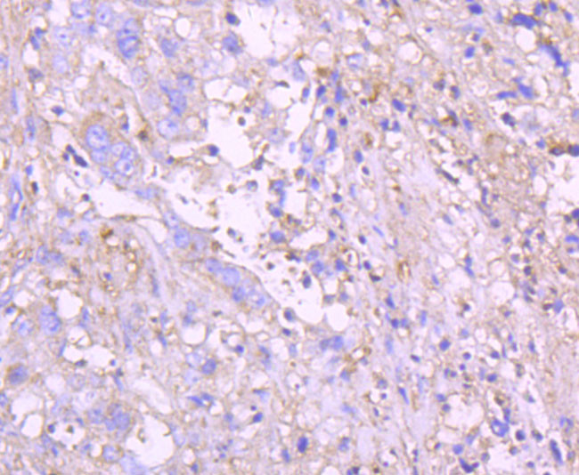
Glucose 6 Phosphate Dehydrogenase Recombinant Rabbit mAb (ARM2611)
Реактивность подтвержденная:
человек
Источник (хозяин):
кролик
Валидировано для:
FCM
IHC
WB
IF
ICC
Характеристики
Техническое описание
| Каталожный номер | ARM2611 |
| Название антигена | Glucose 6 Phosphate Dehydrogenase (G6PD) |
| UNIPROT | P11413 |
| Иммуноген | Синтетический пептид, соответствующий human Glucose 6 Phosphate Dehydrogenase |
| Английские синонимы | Glucose-6-phosphate 1-dehydrogenase |
| Русские синонимы | Г6ФД |
Реактивность подтвержденная Нужна другая реактивность? |
человек |
| Источник (хозяин) | кролик |
| Изотип | IgG |
| Клональность | моноклональное |
| Рекомбинантное | да |
| Готовое к использованию | нет |
| Концентрация | 1 мг/мл |
| Конъюгат | По запросу: HRP, biotin, Cy3, Cy5, APC, AF488, AF594, AF405 |
| Валидировано для | FCM IHC WB IF ICC Проточная цитометрия; Иммуногистохимия; Вестерн-блоттинг; Иммунофлуоресценция; Иммуноцитохимия |
| Рекомендуемые разведения | WB 1:500~1:2000; IHC 1:50~1:200; IF/ICC 1:50~1:200; FCM 1:50 |
| Метод очистки | Антигенспецифическая аффинная хроматография |
| Состав буфера | 50 нмоль Tris-Glycine(pH 7.4); 0.15M NaCl; 40% глицерин; 0.01% азид натрия и 0.05% БСА |
| Условия доставки | термобокс с аккумуляторами холода |
| Условия хранения | Сразу после получения аликвотировать и хранить при -20ºС до 12 месяцев с момента получения. Избегать повторения циклов замерзания/оттаивания |
| Срок хранения | 12 месяцев |
| Производитель | AssayVector |
|
Артикул
|
Наименование |
Производитель
|
|---|
|
Артикул
|
Наименование |
Производитель
|
|---|
|
Артикул
|
Наименование |
Производитель
|
|---|
|
Артикул
|
Наименование |
Производитель
|
|---|
|
Артикул
|
Наименование |
Производитель
|
|---|
|
Артикул
|
Наименование |
Производитель
|
|---|
|
Артикул
|
Наименование |
Производитель
|
|---|
Акции и предложения
Популярные продукты:
Anti-Mouse CD28 Antibody (Fs0346) (VMC83402)
Источник (хозяин): мышь
Реактивность подтвержденная: мышь
Валидировано для: ELISA, FuncS
Реактивность подтвержденная: мышь
Валидировано для: ELISA, FuncS
Guinea Pig Omentin ELISA kit (E05O0010)
Организм: морская свинка
Mouse Dynamin 1 Like Protein ELISA kit (E03D0450)
Организм: мышь
Human Dynamin 1 Like Protein ELISA kit (E01D0450)
Организм: человек
Monkey Dihydropyrimidinase-related protein 4 ELISA kit (E09D0318)
Организм: обезьяна

