| UNIPROT | O94925 |
| Иммуноген | Рекомбинантный белок human Glutaminase C |
Glutaminase C Recombinant Rabbit mAb (ARM1454)
Реактивность подтвержденная:
человек, мышь, крыса
Источник (хозяин):
кролик
Валидировано для:
FCM
IP
WB
IF
ICC
Характеристики
Техническое описание
| Каталожный номер | ARM1454 |
| Название антигена | Glutaminase (GLS) |
| UNIPROT | O94925 |
| Иммуноген | Рекомбинантный белок human Glutaminase C |
| Английские синонимы | GLS1, Glutaminase kidney isoform, mitochondrial, K-glutaminase, L-glutamine amidohydrolase |
Реактивность подтвержденная Нужна другая реактивность? |
человек, мышь, крыса |
| Источник (хозяин) | кролик |
| Изотип | IgG |
| Клональность | моноклональное |
| Рекомбинантное | да |
| Готовое к использованию | нет |
| Концентрация | 1 мг/мл |
| Конъюгат | По запросу: HRP, biotin, Cy3, Cy5, APC, AF488, AF594, AF405 |
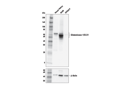
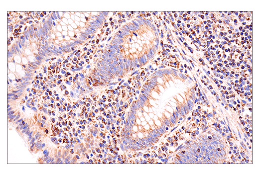
| Валидировано для | FCM IP WB IF ICC Проточная цитометрия; Иммунопреципитация; Вестерн-блоттинг; Иммунофлуоресценция; Иммуноцитохимия |
| Рекомендуемые разведения | WB 1:500~1:2000; IF/ICC 1:50~1:200; FCM 1:50; IP 1:50 |
| Метод очистки | Антигенспецифическая аффинная хроматография |
| Состав буфера | 50 нмоль Tris-Glycine(pH 7.4); 0.15M NaCl; 40% глицерин; 0.01% азид натрия и 0.05% БСА |
| Условия доставки | термобокс с аккумуляторами холода |
| Условия хранения | Сразу после получения аликвотировать и хранить при -20ºС до 12 месяцев с момента получения. Избегать повторения циклов замерзания/оттаивания |
| Срок хранения | 12 месяцев |
| Производитель | AssayVector |
|
Артикул
|
Наименование |
Производитель
|
|---|
|
Артикул
|
Наименование |
Производитель
|
|---|
|
Артикул
|
Наименование |
Производитель
|
|---|
|
Артикул
|
Наименование |
Производитель
|
|---|
Акции и предложения
Популярные продукты:
Monkey Hydroxyacylglutathione hydrolase, Mitochondrial ELISA kit (E09H0015)
Организм: обезьяна
Mouse Carboxypeptidase A1(CPA1) ELISA kit (E03C1990)
Организм: мышь
Mouse Tubulin β2A chain ELISA Kit (E03T0579)
Организм: мышь
Monkey Neurofilament, Heavy Polypeptide ELISA kit (E09N0035)
Организм: обезьяна
Human Cyclin G2(CCNG2) ELISA kit (E01C1158)
Организм: человек
Диапазон определения: 5-100 нг/мл
Чувствительность: 1 нг/мл
Диапазон определения: 5-100 нг/мл
Чувствительность: 1 нг/мл

