| UNIPROT | Q9NS66 |
| Иммуноген | Рекомбинантный гибридный белок из человеческого GPR173 |
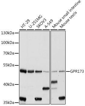
GPR173 Polyclonal Antibody (E-AB-90993)
Реактивность подтвержденная:
человек, мышь
Источник (хозяин):
кролик
Валидировано для:
WB
Характеристики
Техническое описание
| Каталожный номер | E-AB-90993 |
| Название антигена | G Protein Coupled Receptor 173 (GPR173) |
| UNIPROT | Q9NS66 |
| Иммуноген | Рекомбинантный гибридный белок из человеческого GPR173 |
| Английские синонимы | SREB3, Super conserved receptor expressed in brain 3 |
Реактивность подтвержденная Нужна другая реактивность? |
человек, мышь |
| Источник (хозяин) | кролик |
| Изотип | IgG |
| Клональность | поликлональное |
| Рекомбинантное | нет |
| Готовое к использованию | нет |
| Концентрация | 1мг/мл |
| Конъюгат | нет |
| Валидировано для | WB Вестерн-блоттинг |
| Рекомендуемые разведения | WB 1:500-1:2000 |
| Метод очистки | Аффинная хроматография |
| Состав буфера | PBS с 0.01% тиомерсал,50% глицерин,pH7.3 |
| Условия доставки | термобокс с аккумуляторами холода |
| Условия хранения | Хранить при -20°C - 12 месяцев. Избегать повторяющихся циклов замораживания/оттаивания |
| Срок хранения | 12 месяцев |
| Производитель | Elabscience |
| Ссылка на страницу товара на сайте производителя | https://www.elabscience.com/p-gpr173_polyclonal_antibody-e_ab_90993 |
|
Артикул
|
Наименование |
Производитель
|
|---|
Акции и предложения
Популярные продукты:
ELISA Kit DIY Materials for Fibulin 4 (FBLN4) (KSF421Hu01)
Организм: человек
Диапазон определения: 3.12-200 нг/мл
Чувствительность: 1.15 нг/мл
Диапазон определения: 3.12-200 нг/мл
Чувствительность: 1.15 нг/мл
Monoclonal Antibody to Peptidase Inhibitor 16 (PI16) (MAQ943Hu23)
Источник (хозяин): мышь
Реактивность подтвержденная: человек
Валидировано для: ICC, IF
Реактивность подтвержденная: человек
Валидировано для: ICC, IF
Sheep Glypican 1 ELISA kit (E14G0226)
Организм: овца
Monkey Apoptosis Associated Tyrosine Kinase ELISA kit (E09A0529)
Организм: обезьяна
Anti-Mouse DSG3 Polyclonal Antibody (PME01401)
Источник (хозяин): кролик
Реактивность подтвержденная: мышь
Валидировано для: ELISA, IHC, WB
Реактивность подтвержденная: мышь
Валидировано для: ELISA, IHC, WB
Anti-ROR1 Polyclonal Antibody (PHF90701)
Источник (хозяин): кролик
Реактивность подтвержденная: человек, мышь, крыса
Валидировано для: ELISA, IHC, WB
Реактивность подтвержденная: человек, мышь, крыса
Валидировано для: ELISA, IHC, WB

