| UNIPROT | Q96P68 |
| Иммуноген | Синтетический пептид, соответствующий human GPR80/GPR99 во внутренней части белка |
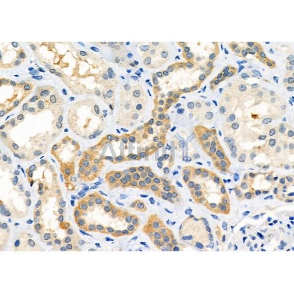
GPR80/GPR99 Antibody (DF2765)
Реактивность подтвержденная:
человек, мышь, крыса
Источник (хозяин):
кролик
Валидировано для:
IHC
WB
Характеристики
Техническое описание
| Каталожный номер | DF2765 |
| Название антигена | Oxoglutarate Receptor 1 (OXGR1) |
| UNIPROT | Q96P68 |
| Иммуноген | Синтетический пептид, соответствующий human GPR80/GPR99 во внутренней части белка |
| Английские синонимы | GPR80, GPR99, P2RY15, P2Y15, Alpha-Ketoglutarate Receptor 1, G Protein-Coupled Receptor 80, P2Y purinoceptor 15, P2Y-like nucleotide receptor |
Реактивность подтвержденная Нужна другая реактивность? |
человек, мышь, крыса |
| Реактивность предсказываемая | свинья, корова, овца, кролик, собака |
| Источник (хозяин) | кролик |
| Изотип | IgG |
| Клональность | поликлональное |
| Рекомбинантное | нет |
| Готовое к использованию | нет |
| Концентрация | 1 мг/мл |
| Конъюгат | нет |
| Валидировано для | IHC WB Иммуногистохимия; Вестерн-блоттинг |
| Рекомендуемые разведения | WB: 1:500-1:2000; IHC: 1:50-1:200; Оптимальное разведение определяется конечным потребителем |
| Метод очистки | Антисыворотку очищали методом аффинной хроматографии пептидов с использованием связывающей смолы SulfoLink® (Thermo Fisher Scientific) |
| Состав буфера | Rabbit IgG в PBS; pH 7.4; 150mM NaCl; 0.02% азид натрия и 50% глицерин |
| RRID | AB_2839971 |
| Условия доставки | Термобокс с аккумуляторами холода |
| Условия хранения | Хранить при -20ºС. Стабилен 12 месяцев с даты получения |
| Срок хранения | 12 месяцев |
| Производитель | Affinity |
| Ссылка на страницу товара на сайте производителя | https://www.affbiotech.com/goods-6846-DF2765-GPR80_GPR99_Antibody.html |
|
Артикул
|
Наименование |
Производитель
|
|---|
|
Артикул
|
Наименование |
Производитель
|
|---|
Акции и предложения
Популярные продукты:
Human Gremlin 1 ELISA kit (E01G0253)
Организм: человек
Диапазон определения: 50-1000 пг/мл
Чувствительность: 1 пг/мл
Диапазон определения: 50-1000 пг/мл
Чувствительность: 1 пг/мл
ELISA Kit for Gamma-Glutamyltransferase 1 (gGT1) (SEB375Hu)
Организм: человек
Диапазон определения: 1.56-100 нг/мл
Чувствительность: 0.59 нг/мл
Диапазон определения: 1.56-100 нг/мл
Чувствительность: 0.59 нг/мл

