| UNIPROT | P49841 |
| Иммуноген | Синтетический пептид, соответствующий human GSK3 beta |
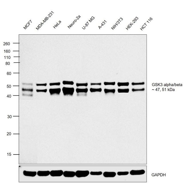
GSK3 beta Recombinant Rabbit mAb (ARM1377)
Реактивность подтвержденная:
человек, мышь
Источник (хозяин):
кролик
Валидировано для:
FCM
IHC
WB
IF
ICC
Характеристики
Техническое описание
| Каталожный номер | ARM1377 |
| Название антигена | Glycogen Synthase Kinase 3 Beta (GSK3b) |
| UNIPROT | P49841 |
| Иммуноген | Синтетический пептид, соответствующий human GSK3 beta |
| Английские синонимы | Serine/threonine-protein kinase GSK3B |
Реактивность подтвержденная Нужна другая реактивность? |
человек, мышь |
| Источник (хозяин) | кролик |
| Изотип | IgG |
| Клональность | моноклональное |
| Рекомбинантное | да |
| Готовое к использованию | нет |
| Концентрация | 1 мг/мл |
| Конъюгат | По запросу: HRP, biotin, Cy3, Cy5, APC, AF488, AF594, AF405 |
| Валидировано для | FCM IHC WB IF ICC Проточная цитометрия; Иммуногистохимия; Вестерн-блоттинг; Иммунофлуоресценция; Иммуноцитохимия |
| Рекомендуемые разведения | WB 1:500~1:2000; IHC 1:50~1:200; IF/ICC 1:50~1:200; FCM 1:50 |
| Метод очистки | Антигенспецифическая аффинная хроматография |
| Состав буфера | 50 нмоль Tris-Glycine(pH 7.4); 0.15M NaCl; 40% глицерин; 0.01% азид натрия и 0.05% БСА |
| Условия доставки | термобокс с аккумуляторами холода |
| Условия хранения | Сразу после получения аликвотировать и хранить при -20ºС до 12 месяцев с момента получения. Избегать повторения циклов замерзания/оттаивания |
| Срок хранения | 12 месяцев |
| Производитель | AssayVector |
|
Артикул
|
Наименование |
Производитель
|
|---|
|
Артикул
|
Наименование |
Производитель
|
|---|
|
Артикул
|
Наименование |
Производитель
|
|---|
|
Артикул
|
Наименование |
Производитель
|
|---|
|
Артикул
|
Наименование |
Производитель
|
|---|
|
Артикул
|
Наименование |
Производитель
|
|---|
Акции и предложения
Популярные продукты:
Rat matriptase-2 ELISA kit (MT2) (E02M0695)
Организм: крыса
Bovine Gastrin ELISA kit (E11G0281)
Организм: корова
Диапазон определения: 100-2500 пг/мл
Чувствительность: 1 пг/мл
Диапазон определения: 100-2500 пг/мл
Чувствительность: 1 пг/мл
Anti-DLAT Polyclonal Antibody (PHC81201)
Источник (хозяин): кролик
Реактивность подтвержденная: человек, мышь, крыса
Валидировано для: ELISA, IHC, WB
Реактивность подтвержденная: человек, мышь, крыса
Валидировано для: ELISA, IHC, WB
Anti-KLC1 Polyclonal Antibody (PHG13701)
Источник (хозяин): кролик
Реактивность подтвержденная: человек
Валидировано для: ELISA, IHC, WB
Реактивность подтвержденная: человек
Валидировано для: ELISA, IHC, WB
PE/Cyanine7 Mouse IgG2a, κ Isotype Control[C1.18.4] (FCE1139)
Источник (хозяин): мышь
Валидировано для: CTRL, FCM
Валидировано для: CTRL, FCM
GSK3 beta Recombinant Rabbit mAb (ARM1377)
Источник (хозяин): кролик
Реактивность подтвержденная: человек, мышь
Валидировано для: FCM, IHC, WB, IF, ICC
Реактивность подтвержденная: человек, мышь
Валидировано для: FCM, IHC, WB, IF, ICC

