| UNIPROT | P09211 |
| Иммуноген | Синтетический пептид, соответствующий human GST3/GST pi |
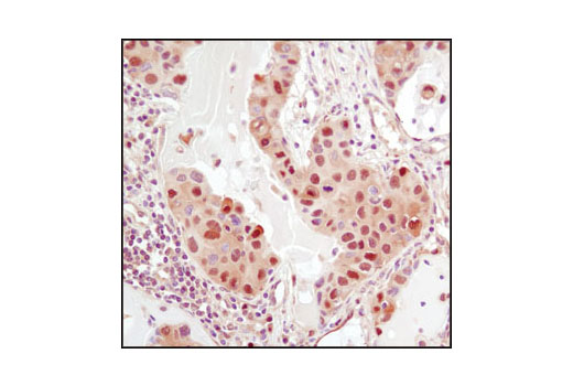
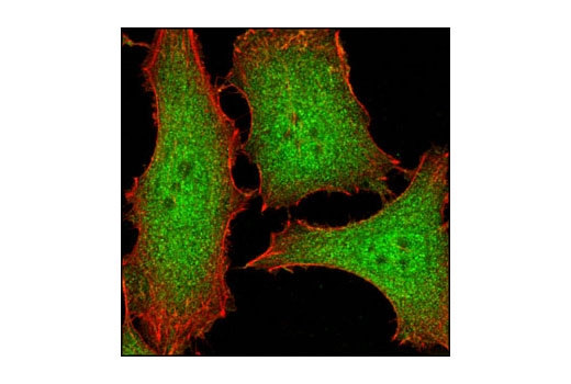
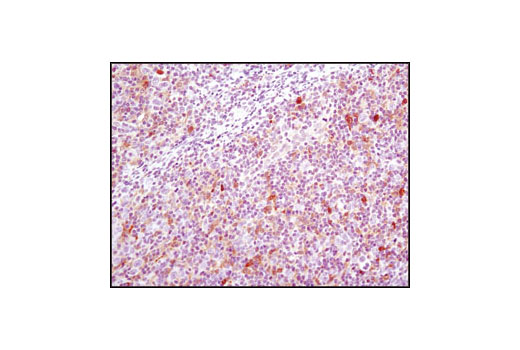
GST3/GST pi Recombinant Rabbit mAb (ARM2548)
Реактивность подтвержденная:
человек, мышь, крыса
Источник (хозяин):
кролик
Валидировано для:
IHC
WB
Характеристики
Техническое описание
| Каталожный номер | ARM2548 |
| Название антигена | Glutathione S Transferase Pi (GSTp) |
| UNIPROT | P09211 |
| Иммуноген | Синтетический пептид, соответствующий human GST3/GST pi |
| Английские синонимы | GSTP1, GST-P1, DFN7, FAEES3, GST3 |
Реактивность подтвержденная Нужна другая реактивность? |
человек, мышь, крыса |
| Источник (хозяин) | кролик |
| Изотип | IgG |
| Клональность | моноклональное |
| Рекомбинантное | да |
| Готовое к использованию | нет |
| Концентрация | 1 мг/мл |
| Конъюгат | По запросу: HRP, biotin, Cy3, Cy5, APC, AF488, AF594, AF405 |
| Валидировано для | IHC WB Иммуногистохимия; Вестерн-блоттинг |
| Рекомендуемые разведения | WB 1:500~1:2000; IHC 1:50~1:200 |
| Метод очистки | Антигенспецифическая аффинная хроматография |
| Состав буфера | 50 нмоль Tris-Glycine(pH 7.4); 0.15M NaCl; 40% глицерин; 0.01% азид натрия и 0.05% БСА |
| Условия доставки | термобокс с аккумуляторами холода |
| Условия хранения | Сразу после получения аликвотировать и хранить при -20ºС до 12 месяцев с момента получения. Избегать повторения циклов замерзания/оттаивания |
| Срок хранения | 12 месяцев |
| Производитель | AssayVector |
|
Артикул
|
Наименование |
Производитель
|
|---|
|
Артикул
|
Наименование |
Производитель
|
|---|
|
Артикул
|
Наименование |
Производитель
|
|---|
|
Артикул
|
Наименование |
Производитель
|
|---|
|
Артикул
|
Наименование |
Производитель
|
|---|
|
Артикул
|
Наименование |
Производитель
|
|---|
|
Артикул
|
Наименование |
Производитель
|
|---|
Акции и предложения
Популярные продукты:
Anti-VGF Nerve Growth Factor Inducible (VGF) Monoclonal Antibody (FAB166Hu02)
Источник (хозяин): мышь
Реактивность подтвержденная: человек
Валидировано для: FCM
Реактивность подтвержденная: человек
Валидировано для: FCM
Monkey Second mitochondrial activator of caspase ELISA kit (E09S0013)
Организм: обезьяна
Rat Interleukin-1 receptor 8 ELISA kit (E02I0814)
Организм: крыса
Sheep Alpha parvin(PARVA) ELISA kit (E14A1940)
Организм: овца
Canine Peroxiredoxin 3 ELISA kit (E08P1251)
Организм: собака
Mouse Hypoxia Up Regulated 1 ELISA kit (E03H0132)
Организм: мышь

