| UNIPROT | P07305 |
| Иммуноген | Синтетический пептид, соответствующий human Histone H1.0 |
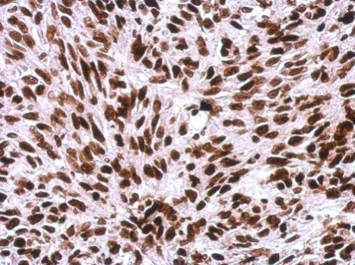
Histone H1.0 Recombinant Rabbit mAb (ARM1058)
Реактивность подтвержденная:
человек
Источник (хозяин):
кролик
Валидировано для:
IHC
WB
IF
ICC
Характеристики
Техническое описание
| Каталожный номер | ARM1058 |
| Название антигена | H1 Histone Family, Member 0 (H1F0) |
| UNIPROT | P07305 |
| Иммуноген | Синтетический пептид, соответствующий human Histone H1.0 |
| Английские синонимы | H1FV, H10 |
Реактивность подтвержденная Нужна другая реактивность? |
человек |
| Источник (хозяин) | кролик |
| Изотип | IgG |
| Клональность | моноклональное |
| Рекомбинантное | да |
| Готовое к использованию | нет |
| Концентрация | 1 мг/мл |
| Конъюгат | По запросу: HRP, biotin, Cy3, Cy5, APC, AF488, AF594, AF405 |
| Валидировано для | IHC WB IF ICC Иммуногистохимия; Вестерн-блоттинг; Иммунофлуоресценция; Иммуноцитохимия |
| Рекомендуемые разведения | WB 1:500~1:2000; IHC 1:50~1:200; IF/ICC 1:50~1:200 |
| Метод очистки | Антигенспецифическая аффинная хроматография |
| Состав буфера | 50 нмоль Tris-Glycine(pH 7.4); 0.15M NaCl; 40% глицерин; 0.01% азид натрия и 0.05% БСА |
| Условия доставки | термобокс с аккумуляторами холода |
| Условия хранения | Сразу после получения аликвотировать и хранить при -20ºС до 12 месяцев с момента получения. Избегать повторения циклов замерзания/оттаивания |
| Срок хранения | 12 месяцев |
| Производитель | AssayVector |
|
Артикул
|
Наименование |
Производитель
|
|---|
|
Артикул
|
Наименование |
Производитель
|
|---|
Акции и предложения
Популярные продукты:
Guinea Pig CKLF like MARVEL transmembrane domain containing protein 1(CMTM1) ELISA kit (E05C1831)
Организм: морская свинка
Porcine Chromobox protein homolog 5(CBX5) ELISA kit (E07C1422)
Организм: свинья
Monkey Omentin 1 ELISA kit (E09O0022)
Организм: обезьяна
Monkey Monocyte chemotactic protein 1/monocyte chemotactic and activating factor ELISA kit (E09M0246)
Организм: обезьяна
Диапазон определения: 50-1000 пг/мл
Чувствительность: 1 пг/мл
Диапазон определения: 50-1000 пг/мл
Чувствительность: 1 пг/мл
Recombinant Rat sCD14 Protein(Fc Tag) (PDMR100052)
Источник (хозяин): клетки млекопитающих
Организм: крыса
Фрагмент: Ser18-Tyr341
Теги: C-Fc
Биоактивность: нет
Организм: крыса
Фрагмент: Ser18-Tyr341
Теги: C-Fc
Биоактивность: нет

