| UNIPROT | P0C0S5 |
| Иммуноген | Синтетический пептид, соответствующий human Histone H2A.Z |
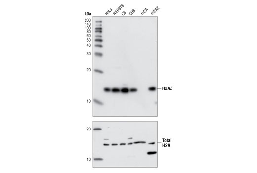
Histone H2A.Z Recombinant Rabbit mAb (ARM2687)
Реактивность подтвержденная:
человек, мышь, крыса
Источник (хозяин):
кролик
Валидировано для:
IHC
WB
IF
ICC
Характеристики
Техническое описание
| Каталожный номер | ARM2687 |
| Название антигена | H2A Histone Family, Member Z (H2AFZ) |
| UNIPROT | P0C0S5 |
| Иммуноген | Синтетический пептид, соответствующий human Histone H2A.Z |
| Английские синонимы | H2A.z, H2A/z, H2AZ |
Реактивность подтвержденная Нужна другая реактивность? |
человек, мышь, крыса |
| Источник (хозяин) | кролик |
| Изотип | IgG |
| Клональность | моноклональное |
| Рекомбинантное | да |
| Готовое к использованию | нет |
| Концентрация | 1 мг/мл |
| Конъюгат | По запросу: HRP, biotin, Cy3, Cy5, APC, AF488, AF594, AF405 |
| Валидировано для | IHC WB IF ICC Иммуногистохимия; Вестерн-блоттинг; Иммунофлуоресценция; Иммуноцитохимия |
| Рекомендуемые разведения | WB 1:500~1:2000; IHC 1:50~1:200; IF/ICC 1:50~1:200 |
| Метод очистки | Антигенспецифическая аффинная хроматография |
| Состав буфера | 50 нмоль Tris-Glycine(pH 7.4); 0.15M NaCl; 40% глицерин; 0.01% азид натрия и 0.05% БСА |
| Условия доставки | термобокс с аккумуляторами холода |
| Условия хранения | Сразу после получения аликвотировать и хранить при -20ºС до 12 месяцев с момента получения. Избегать повторения циклов замерзания/оттаивания |
| Срок хранения | 12 месяцев |
| Производитель | AssayVector |
|
Артикул
|
Наименование |
Производитель
|
|---|
|
Артикул
|
Наименование |
Производитель
|
|---|
|
Артикул
|
Наименование |
Производитель
|
|---|
Акции и предложения
Популярные продукты:
InVivoMAb Anti-Human CD3 Antibody (UCHT1) (VHC27703)
Источник (хозяин): мышь
Реактивность подтвержденная: человек
Валидировано для: ELISA, FCM, NEUT
Реактивность подтвержденная: человек
Валидировано для: ELISA, FCM, NEUT
Rat Adrenocorticotropic Hormone receptor ELISA kit (E02A0016)
Организм: крыса
Anti-LIF Polyclonal Antibody (PHD08001)
Источник (хозяин): кролик
Реактивность подтвержденная: человек, крыса
Валидировано для: ELISA, IHC, WB
Реактивность подтвержденная: человек, крыса
Валидировано для: ELISA, IHC, WB
Anti-FGF7 Polyclonal Antibody (PHD47701)
Источник (хозяин): кролик
Реактивность подтвержденная: человек, мышь, крыса
Валидировано для: ELISA, IHC, WB
Реактивность подтвержденная: человек, мышь, крыса
Валидировано для: ELISA, IHC, WB
Anti-Human IL25/IL17E Polyclonal Antibody (PHJ55501)
Источник (хозяин): кролик
Реактивность подтвержденная: человек
Валидировано для: ELISA, IHC, WB
Реактивность подтвержденная: человек
Валидировано для: ELISA, IHC, WB
Recombinant Mouse LIF Protein, C-His (EMD08001)
Источник (хозяин): клетки млекопитающих
Организм: мышь
Фрагмент: Pro25-Phe203
Теги: C-His
Биоактивность: нет
Организм: мышь
Фрагмент: Pro25-Phe203
Теги: C-His
Биоактивность: нет

