| UNIPROT | P35914 |
| Иммуноген | Синтетический пептид, соответствующий human HMGCL |
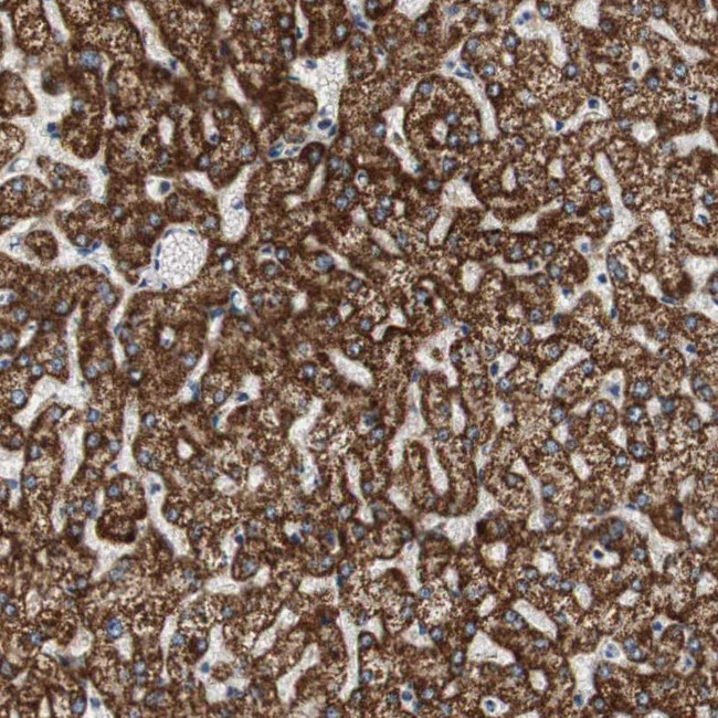
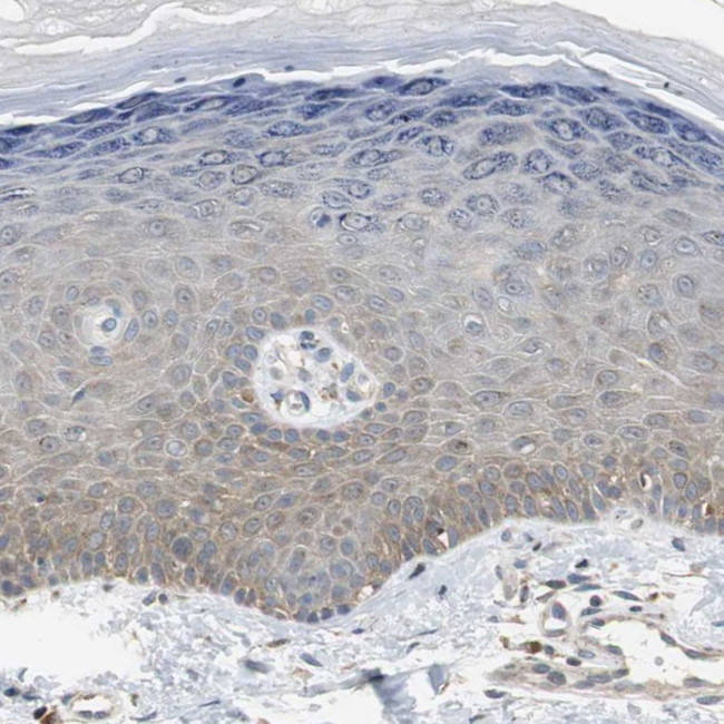
HMGCL Recombinant Rabbit mAb (ARM1545)
Реактивность подтвержденная:
человек
Источник (хозяин):
кролик
Валидировано для:
IHC
WB
Характеристики
Техническое описание
| Каталожный номер | ARM1545 |
| Название антигена | 3-Hydroxymethyl-3-Methylglutaryl Coenzyme A Lyase (HMGCL) |
| UNIPROT | P35914 |
| Иммуноген | Синтетический пептид, соответствующий human HMGCL |
| Английские синонимы | HL, Hydroxymethylglutaricaciduria, Hydroxymethylglutaryl-CoA lyase, mitochondrial |
Реактивность подтвержденная Нужна другая реактивность? |
человек |
| Источник (хозяин) | кролик |
| Изотип | IgG |
| Клональность | моноклональное |
| Рекомбинантное | да |
| Готовое к использованию | нет |
| Концентрация | 1 мг/мл |
| Конъюгат | По запросу: HRP, biotin, Cy3, Cy5, APC, AF488, AF594, AF405 |
| Валидировано для | IHC WB Иммуногистохимия; Вестерн-блоттинг |
| Рекомендуемые разведения | WB 1:500~1:2000; IHC 1:50~1:200 |
| Метод очистки | Антигенспецифическая аффинная хроматография |
| Состав буфера | 50 нмоль Tris-Glycine(pH 7.4); 0.15M NaCl; 40% глицерин; 0.01% азид натрия и 0.05% БСА |
| Условия доставки | термобокс с аккумуляторами холода |
| Условия хранения | Сразу после получения аликвотировать и хранить при -20ºС до 12 месяцев с момента получения. Избегать повторения циклов замерзания/оттаивания |
| Срок хранения | 12 месяцев |
| Производитель | AssayVector |
|
Артикул
|
Наименование |
Производитель
|
|---|
|
Артикул
|
Наименование |
Производитель
|
|---|
|
Артикул
|
Наименование |
Производитель
|
|---|
Акции и предложения
Популярные продукты:
Goat Protease Activated Receptor 2 ELISA kit (E06P0060)
Организм: коза
Recombinant Human RORC/NR1F3/RORgT Protein, N-His (YHE81601)
Источник (хозяин): E.coli
Организм: человек
Фрагмент: Glu212-Ser461
Теги: N-His
Биоактивность: нет
Организм: человек
Фрагмент: Glu212-Ser461
Теги: N-His
Биоактивность: нет
Recombinant BKPyV LT-AG/Large T antigen Protein, N-His (YVV36701)
Источник (хозяин): E.coli
Организм: вирусы
Фрагмент: Lys133-Asp629
Теги: N-His
Биоактивность: нет
Организм: вирусы
Фрагмент: Lys133-Asp629
Теги: N-His
Биоактивность: нет
Anti-MAPK3/ERK1 Antibody (R3H28) (RHD73613)
Источник (хозяин): мышь
Реактивность подтвержденная: человек, мышь, крыса
Валидировано для: IHC
Реактивность подтвержденная: человек, мышь, крыса
Валидировано для: IHC
D2-40 Monoclonal Antibody (ELAB6924-M)
Источник (хозяин): мышь
Реактивность подтвержденная: человек
Валидировано для: IHC
Реактивность подтвержденная: человек
Валидировано для: IHC

