| UNIPROT | P04792 |
| Иммуноген | Синтетический пептид, соответствующий human Hsp27 |
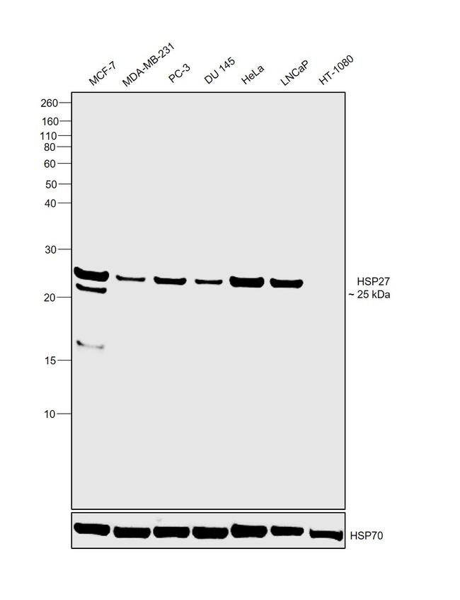
Hsp27 Recombinant Rabbit mAb (ARM1620)
Реактивность подтвержденная:
человек, мышь, крыса
Источник (хозяин):
кролик
Валидировано для:
FCM
IHC
IP
WB
IF
ICC
Характеристики
Техническое описание
| Каталожный номер | ARM1620 |
| Название антигена | Heat Shock 27kDa Protein 1 (HSPB1) |
| UNIPROT | P04792 |
| Иммуноген | Синтетический пептид, соответствующий human Hsp27 |
| Английские синонимы | HSP27, HSP-B1, CMT2F, HSP28, Hsp25, Heat Shock Protein 27, 28 kDa heat shock protein, Heat shock protein beta-1, Estrogen-regulated 24 kDa protein |
Реактивность подтвержденная Нужна другая реактивность? |
человек, мышь, крыса |
| Источник (хозяин) | кролик |
| Изотип | IgG |
| Клональность | моноклональное |
| Рекомбинантное | да |
| Готовое к использованию | нет |
| Концентрация | 1 мг/мл |
| Конъюгат | По запросу: HRP, biotin, Cy3, Cy5, APC, AF488, AF594, AF405 |
| Валидировано для | FCM IHC IP WB IF ICC Проточная цитометрия; Иммуногистохимия; Иммунопреципитация; Вестерн-блоттинг; Иммунофлуоресценция; Иммуноцитохимия |
| Рекомендуемые разведения | WB 1:500~1:2000; IHC 1:50~1:200; IF/ICC 1:50~1:200; FCM 1:50; IP 1:50 |
| Метод очистки | Антигенспецифическая аффинная хроматография |
| Состав буфера | 50 нмоль Tris-Glycine(pH 7.4); 0.15M NaCl; 40% глицерин; 0.01% азид натрия и 0.05% БСА |
| Условия доставки | термобокс с аккумуляторами холода |
| Условия хранения | Сразу после получения аликвотировать и хранить при -20ºС до 12 месяцев с момента получения. Избегать повторения циклов замерзания/оттаивания |
| Срок хранения | 12 месяцев |
| Производитель | AssayVector |
|
Артикул
|
Наименование |
Производитель
|
|---|
|
Артикул
|
Наименование |
Производитель
|
|---|
|
Артикул
|
Наименование |
Производитель
|
|---|
|
Артикул
|
Наименование |
Производитель
|
|---|
|
Артикул
|
Наименование |
Производитель
|
|---|
|
Артикул
|
Наименование |
Производитель
|
|---|
|
Артикул
|
Наименование |
Производитель
|
|---|
Акции и предложения
Популярные продукты:
ELISA Kit DIY Materials for Cluster Of Differentiation 1a (CD1a) (KSB175Hu01)
Организм: человек
Диапазон определения: 0.156-10 нг/мл
Чувствительность: 0.054 нг/мл
Диапазон определения: 0.156-10 нг/мл
Чувствительность: 0.054 нг/мл
ELISA Kit DIY Materials for Immunoglobulin G1 (IgG1) (KSA074Bo11)
Организм: корова
Диапазон определения: 61.7-5000 нг/мл
Чувствительность: 29.1 нг/мл
Диапазон определения: 61.7-5000 нг/мл
Чувствительность: 29.1 нг/мл
ELISA Kit DIY Materials for Endothelial Cell Specific Molecule 1 (ESM1) (KSC463Mu01)
Организм: мышь
Диапазон определения: 7.8-500 нг/мл
Чувствительность: 3.1 нг/мл
Диапазон определения: 7.8-500 нг/мл
Чувствительность: 3.1 нг/мл
ELISA Kit DIY Materials for Adenomatosis Polyposis Coli Protein (APC) (KSC314Mu01)
Организм: мышь
Диапазон определения: 0.156-10 нг/мл
Чувствительность: 0.055 нг/мл
Диапазон определения: 0.156-10 нг/мл
Чувствительность: 0.055 нг/мл
ELISA Kit DIY Materials for BRCA1/BRCA2 Containing Complex Subunit 3 (BRCC3) (KSN348Hu01)
Организм: человек
Диапазон определения: 0.156-10 нг/мл
Чувствительность: 0.057 нг/мл
Диапазон определения: 0.156-10 нг/мл
Чувствительность: 0.057 нг/мл
ELISA Kit DIY Materials for Endothelial Cell Specific Molecule 1 (ESM1) (KSC463Hu01)
Организм: человек
Диапазон определения: 0.156-10 нг/мл
Чувствительность: 0.065 нг/мл
Диапазон определения: 0.156-10 нг/мл
Чувствительность: 0.065 нг/мл

