| UNIPROT | P10809 |
| Иммуноген | Синтетический пептид, соответствующий human HSP60 на С-конце |
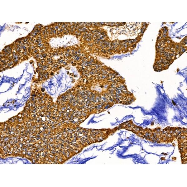
HSP60 Antibody (AF5374)
Реактивность подтвержденная:
человек, мышь, крыса, обезьяна
Источник (хозяин):
кролик
Валидировано для:
IHC
WB
IF
ICC
Характеристики
Техническое описание
| Каталожный номер | AF5374 |
| Название антигена | Heat Shock 60kD Protein 1, Chaperonin (HSPD1) |
| UNIPROT | P10809 |
| Иммуноген | Синтетический пептид, соответствующий human HSP60 на С-конце |
| Английские синонимы | HSP60, GROEL, CPN60, HuCHA60, Heat Shock Protein 60, Spastic Paraplegia 13,Autosomal Dominant, 60 kDa chaperonin, Mitochondrial matrix protein P1, P60 lymphocyte protein |
Реактивность подтвержденная Нужна другая реактивность? |
человек, мышь, крыса, обезьяна |
| Реактивность предсказываемая | рыба, корова, лошадь, овца, кролик, лягушка |
| Источник (хозяин) | кролик |
| Изотип | IgG |
| Клональность | поликлональное |
| Рекомбинантное | нет |
| Готовое к использованию | нет |
| Концентрация | 1 мг/мл |
| Конъюгат | нет |
| Валидировано для | IHC WB IF ICC Иммуногистохимия; Вестерн-блоттинг; Иммунофлуоресценция; Иммуноцитохимия |
| Рекомендуемые разведения | WB: 1:500-1:2000; IHC: 1:50-1:200; IF/ICC: 1:100-1:500; Оптимальное разведение определяется конечным потребителем |
| Метод очистки | Антисыворотку очищали методом аффинной хроматографии пептидов с использованием связывающей смолы SulfoLink® (Thermo Fisher Scientific) |
| Состав буфера | Rabbit IgG в PBS; pH 7.4; 150mM NaCl; 0.02% азид натрия и 50% глицерин |
| RRID | AB_2837859 |
| Условия доставки | Термобокс с аккумуляторами холода |
| Условия хранения | Хранить при -20ºС. Стабилен 12 месяцев с даты получения |
| Срок хранения | 12 месяцев |
| Производитель | Affinity |
| Ссылка на страницу товара на сайте производителя | https://www.affbiotech.com/goods-4681-AF5374-HSP60_Antibody.html |
|
Артикул
|
Наименование |
Производитель
|
|---|
|
Артикул
|
Наименование |
Производитель
|
|---|
|
Артикул
|
Наименование |
Производитель
|
|---|
|
Артикул
|
Наименование |
Производитель
|
|---|
|
Артикул
|
Наименование |
Производитель
|
|---|
|
Артикул
|
Наименование |
Производитель
|
|---|
|
Артикул
|
Наименование |
Производитель
|
|---|
|
Артикул
|
Наименование |
Производитель
|
|---|
Акции и предложения
Популярные продукты:
Human Vascular Endothelial Growth Factor ELISA kit (E01V0010)
Организм: человек
Диапазон определения: 50-1000 пг/мл
Чувствительность: 1 пг/мл
Диапазон определения: 50-1000 пг/мл
Чувствительность: 1 пг/мл
Anti-P2X purinoceptor 4 Antibody (N368/12) (RHK38101)
Источник (хозяин): мышь
Реактивность подтвержденная: для всех
Валидировано для: IHC, WB
Реактивность подтвержденная: для всех
Валидировано для: IHC, WB
Biotin Anti-Mouse CD80 Antibody[16-10A1] (FCE1400)
Источник (хозяин): хомяк
Реактивность подтвержденная: мышь
Валидировано для: FCM
Реактивность подтвержденная: мышь
Валидировано для: FCM
Recombinant Human F9/Factor IX Protein, C-hFc-His (Active) (AHB87801)
Источник (хозяин): клетки млекопитающих
Организм: человек
Фрагмент: Thr29-Thr461
Теги: C-hFc-His
Биоактивность: да
Организм: человек
Фрагмент: Thr29-Thr461
Теги: C-hFc-His
Биоактивность: да
Goat Anti-Mouse IgG (E-AB-1035)
Изотип: IgG
Источник (хозяин): коза
Реактивность подтвержденная: мышь
Валидировано для: CTRL
Источник (хозяин): коза
Реактивность подтвержденная: мышь
Валидировано для: CTRL
HRP-conjugated GFP-Tag Monoclonal Antibody (AN00432HP)
Источник (хозяин): мышь
Реактивность подтвержденная: для всех
Валидировано для: WB
Реактивность подтвержденная: для всех
Валидировано для: WB

