| UNIPROT | Q0VDF9 |
| Иммуноген | Синтетический пептид, соответствующий human HSPA14 |
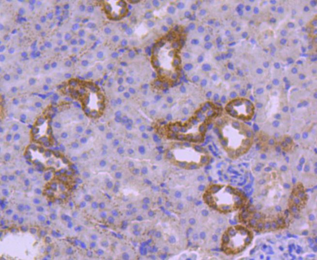
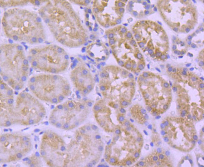
HspA14 Recombinant Rabbit mAb (ARM2308)
Реактивность подтвержденная:
человек, мышь, крыса
Источник (хозяин):
кролик
Валидировано для:
IHC
IP
WB
IF
ICC
Характеристики
Техническое описание
| Каталожный номер | ARM2308 |
| Название антигена | Heat Shock 70kDa Protein 14 (HSPA14) |
| UNIPROT | Q0VDF9 |
| Иммуноген | Синтетический пептид, соответствующий human HSPA14 |
| Английские синонимы | HSP-A14, HSP70-4, HSP70L1, HSP70-like protein 1, Heat shock protein HSP60 |
Реактивность подтвержденная Нужна другая реактивность? |
человек, мышь, крыса |
| Источник (хозяин) | кролик |
| Изотип | IgG |
| Клональность | моноклональное |
| Рекомбинантное | да |
| Готовое к использованию | нет |
| Концентрация | 1 мг/мл |
| Конъюгат | По запросу: HRP, biotin, Cy3, Cy5, APC, AF488, AF594, AF405 |
| Валидировано для | IHC IP WB IF ICC Иммуногистохимия; Иммунопреципитация; Вестерн-блоттинг; Иммунофлуоресценция; Иммуноцитохимия |
| Рекомендуемые разведения | WB 1:500~1:2000; IHC 1:50~1:200; IF/ICC 1:50~1:200; IP 1:50 |
| Метод очистки | Антигенспецифическая аффинная хроматография |
| Состав буфера | 50 нмоль Tris-Glycine(pH 7.4); 0.15M NaCl; 40% глицерин; 0.01% азид натрия и 0.05% БСА |
| Условия доставки | термобокс с аккумуляторами холода |
| Условия хранения | Сразу после получения аликвотировать и хранить при -20ºС до 12 месяцев с момента получения. Избегать повторения циклов замерзания/оттаивания |
| Срок хранения | 12 месяцев |
| Производитель | AssayVector |
|
Артикул
|
Наименование |
Производитель
|
|---|
|
Артикул
|
Наименование |
Производитель
|
|---|
|
Артикул
|
Наименование |
Производитель
|
|---|
|
Артикул
|
Наименование |
Производитель
|
|---|
Акции и предложения
Популярные продукты:
Anti-Human STIM1 Antibody (SAA1741) (RHG59801)
Источник (хозяин): мышь
Реактивность подтвержденная: человек
Валидировано для: ELISA
Реактивность подтвержденная: человек
Валидировано для: ELISA
Anti-HSPA14 Antibody (R2D35) (RHG24401)
Источник (хозяин): кролик
Реактивность подтвержденная: человек, мышь
Валидировано для: IF, IP, WB
Реактивность подтвержденная: человек, мышь
Валидировано для: IF, IP, WB
Andecaliximab ELISA Kit (KDD06801)
Организм: человек
Диапазон определения: 0.31-5 мкг/мл
Чувствительность: 0.156 мкг/мл
Диапазон определения: 0.31-5 мкг/мл
Чувствительность: 0.156 мкг/мл
HspA14 Recombinant Rabbit mAb (ARM2308)
Источник (хозяин): кролик
Реактивность подтвержденная: человек, мышь, крыса
Валидировано для: IHC, IP, WB, IF, ICC
Реактивность подтвержденная: человек, мышь, крыса
Валидировано для: IHC, IP, WB, IF, ICC
TMEM59 Antibody (DF14154)
Источник (хозяин): кролик
Реактивность подтвержденная: человек, мышь
Валидировано для: WB
Реактивность подтвержденная: человек, мышь
Валидировано для: WB

