| UNIPROT | P0DMV8 |
| Иммуноген | Рекомбинантный белок человека Heat shock 70 kDa protein 1A protein |
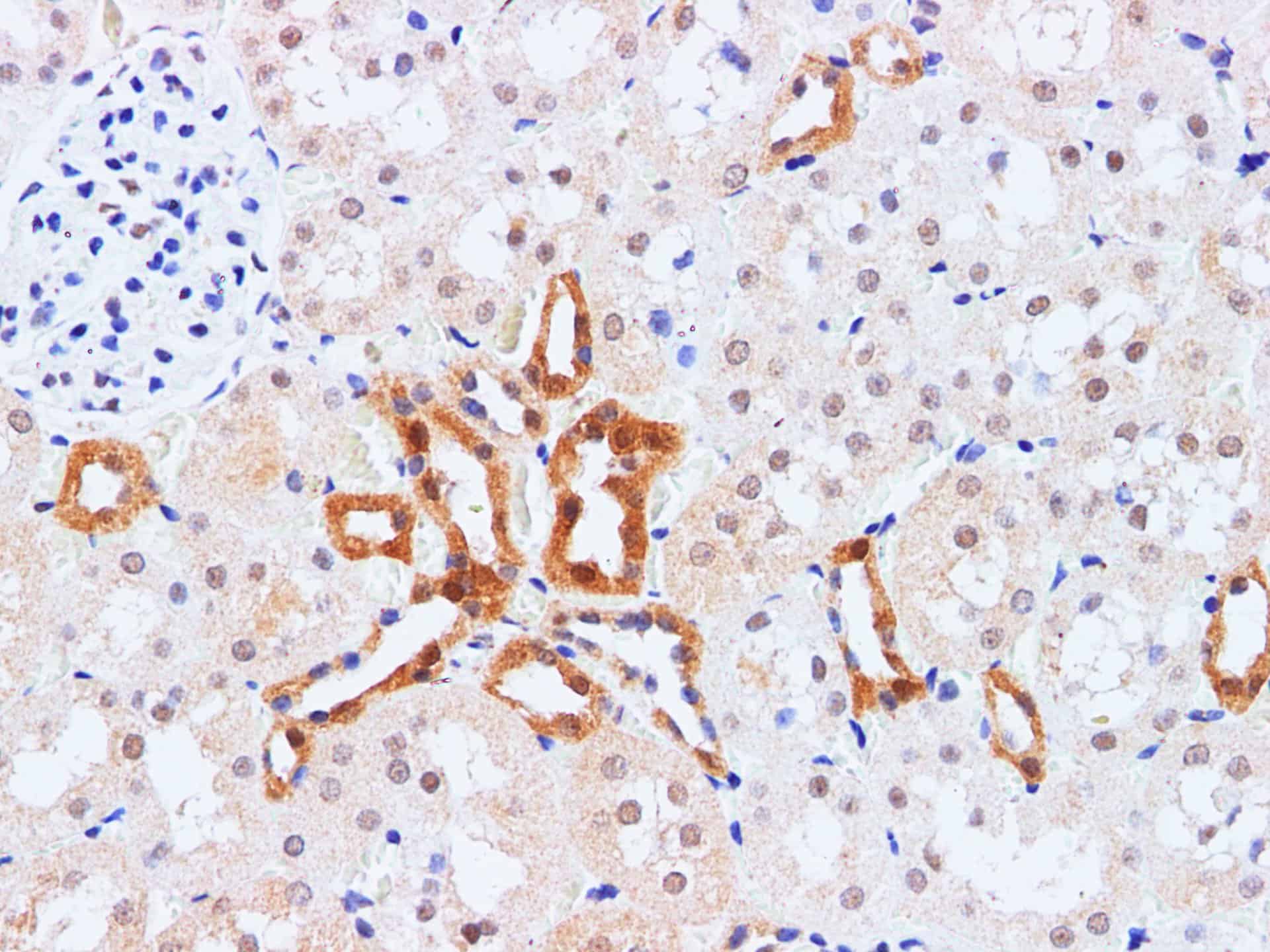
HSPA1A Polyclonal Antibody (E-AB-40302)
Реактивность подтвержденная:
человек, мышь, крыса
Источник (хозяин):
кролик
Валидировано для:
IHC
WB
Характеристики
Техническое описание
| Каталожный номер | E-AB-40302 |
| Название антигена | Heat Shock 70kDa Protein 1A (HSPA1A) |
| UNIPROT | P0DMV8 |
| Иммуноген | Рекомбинантный белок человека Heat shock 70 kDa protein 1A protein |
| Английские синонимы | HSP70-1, HSP-A1A, HSPA1, HSP70-2, HSX70 |
Реактивность подтвержденная Нужна другая реактивность? |
человек, мышь, крыса |
| Источник (хозяин) | кролик |
| Изотип | IgG |
| Клональность | поликлональное |
| Рекомбинантное | нет |
| Готовое к использованию | нет |
| Концентрация | 1 мг/мл |
| Конъюгат | нет |
| Валидировано для | IHC WB Иммуногистохимия; Вестерн-блоттинг |
| Рекомендуемые разведения | WB 1:000-1:2000; IHC 1:100-1:300 |
| Метод очистки | Аффинная очистка с антигеном |
| Состав буфера | PBS с 0.02% азид натрия,1% стабилизирующий белок и 50% глицерин,pH7.4 |
| Условия доставки | термобокс с аккумуляторами холода |
| Условия хранения | Хранить при -20°C - 12 месяцев. Избегать повторяющихся циклов замораживания/оттаивания |
| Срок хранения | 12 месяцев |
| Производитель | Elabscience |
| Ссылка на страницу товара на сайте производителя | https://www.elabscience.com/p-hspa1a_polyclonal_antibody-e_ab_40302 |
|
Артикул
|
Наименование |
Производитель
|
|---|
|
Артикул
|
Наименование |
Производитель
|
|---|
|
Артикул
|
Наименование |
Производитель
|
|---|
|
Артикул
|
Наименование |
Производитель
|
|---|
|
Артикул
|
Наименование |
Производитель
|
|---|
|
Артикул
|
Наименование |
Производитель
|
|---|
Акции и предложения
Популярные продукты:
ELISA Kit DIY Materials for Ribonuclease A (RNase A) (KSA297Hu01)
Организм: человек
Диапазон определения: 3.12-200 нг/мл
Чувствительность: 1.17 нг/мл
Диапазон определения: 3.12-200 нг/мл
Чувствительность: 1.17 нг/мл
Polyclonal Antibody to Maltose Binding Protein (MBP) (PAX185Ge01)
Источник (хозяин): кролик
Реактивность подтвержденная: для всех
Валидировано для: WB
Реактивность подтвержденная: для всех
Валидировано для: WB
ELISA Kit for High Mobility Group Box Protein 2 (HMGB2) (SEC052Hu)
Организм: человек
Диапазон определения: 0.312-20 нг/мл
Чувствительность: 0.059 нг/мл
Диапазон определения: 0.312-20 нг/мл
Чувствительность: 0.059 нг/мл
Guinea Pig Apoptosis stimulating of p53 protein 1 ELISA kit (E05A1946)
Организм: морская свинка
Bovine Prorelaxin H3 ELISA kit (E11P1206)
Организм: корова

