| UNIPROT | P48735 |
| Иммуноген | Синтетический пептид, соответствующий human IDH2 |
IDH2 Recombinant Rabbit mAb (ARM1868)
Реактивность подтвержденная:
человек, мышь, крыса
Источник (хозяин):
кролик
Валидировано для:
FCM
IHC
WB
Характеристики
Техническое описание
| Каталожный номер | ARM1868 |
| Название антигена | Isocitrate Dehydrogenase 2, mitochondrial (IDH2) |
| UNIPROT | P48735 |
| Иммуноген | Синтетический пептид, соответствующий human IDH2 |
| Английские синонимы | IDH, IDP, ICD-M, IDHM, mNADP-IDH, Isocitrate dehydrogenase [NADP], mitochondrial, Oxalosuccinate decarboxylase |
Реактивность подтвержденная Нужна другая реактивность? |
человек, мышь, крыса |
| Источник (хозяин) | кролик |
| Изотип | IgG |
| Клональность | моноклональное |
| Рекомбинантное | да |
| Готовое к использованию | нет |
| Концентрация | 1 мг/мл |
| Конъюгат | По запросу: HRP, biotin, Cy3, Cy5, APC, AF488, AF594, AF405 |
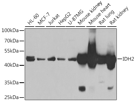
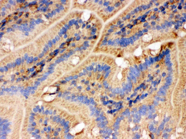
| Валидировано для | FCM IHC WB Проточная цитометрия; Иммуногистохимия; Вестерн-блоттинг |
| Рекомендуемые разведения | WB 1:500~1:2000; IHC 1:50~1:200; FCM 1:50 |
| Метод очистки | Антигенспецифическая аффинная хроматография |
| Состав буфера | 50 нмоль Tris-Glycine(pH 7.4); 0.15M NaCl; 40% глицерин; 0.01% азид натрия и 0.05% БСА |
| Условия доставки | термобокс с аккумуляторами холода |
| Условия хранения | Сразу после получения аликвотировать и хранить при -20ºС до 12 месяцев с момента получения. Избегать повторения циклов замерзания/оттаивания |
| Срок хранения | 12 месяцев |
| Производитель | AssayVector |
|
Артикул
|
Наименование |
Производитель
|
|---|
|
Артикул
|
Наименование |
Производитель
|
|---|
|
Артикул
|
Наименование |
Производитель
|
|---|
Акции и предложения
Популярные продукты:
ELISA Kit DIY Materials for Mucosae Associated Epithelia Chemokine (MEC) (KSB573Mu01)
Организм: мышь
Диапазон определения: 0.156-10 нг/мл
Чувствительность: 0.062 нг/мл
Диапазон определения: 0.156-10 нг/мл
Чувствительность: 0.062 нг/мл
ELISA Kit DIY Materials for Tumor Necrosis Factor Receptor Superfamily, Member 9 (TNFRSF9) (KSB527Hu01)
Организм: человек
Диапазон определения: 15.6-1000 пг/мл
Чувствительность: 5.4 пг/мл
Диапазон определения: 15.6-1000 пг/мл
Чувствительность: 5.4 пг/мл
ELISA Kit for Anti-Von Willebrand Factor Antibody (Anti-vWF) (AEA833Hu)
Организм: человек
Диапазон определения: 0.156-10 нг/мл
Чувствительность: 0.068 нг/мл
Диапазон определения: 0.156-10 нг/мл
Чувствительность: 0.068 нг/мл
Human Methotrexate ELISA kit (E01M0349)
Организм: человек
Диапазон определения: 0.5-10 мкг/мл
Чувствительность: 0.1 мкг/мл
Диапазон определения: 0.5-10 мкг/мл
Чувствительность: 0.1 мкг/мл
Chicken Engrailed Homeobox Protein 2 ELISA kit (E12E0151)
Организм: курица

