| UNIPROT | P01569 |
| Иммуноген | Синтетический пептид, соответствующий human IFNA5 во внутренней части белка |
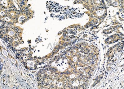
IFNA5 Antibody (DF8970)
Реактивность подтвержденная:
человек, мышь, крыса, обезьяна
Источник (хозяин):
кролик
Валидировано для:
IHC
WB
IF
ICC
Характеристики
Техническое описание
| Каталожный номер | DF8970 |
| Название антигена | Interferon Alpha 5 (IFNa5) |
| UNIPROT | P01569 |
| Иммуноген | Синтетический пептид, соответствующий human IFNA5 во внутренней части белка |
| Английские синонимы | INFA5, LeIF G, Interferon alpha-G, Interferon alpha-61 |
Реактивность подтвержденная Нужна другая реактивность? |
человек, мышь, крыса, обезьяна |
| Источник (хозяин) | кролик |
| Изотип | IgG |
| Клональность | поликлональное |
| Рекомбинантное | нет |
| Готовое к использованию | нет |
| Концентрация | 1 мг/мл |
| Конъюгат | нет |
| Валидировано для | IHC WB IF ICC Иммуногистохимия; Вестерн-блоттинг; Иммунофлуоресценция; Иммуноцитохимия |
| Рекомендуемые разведения | IF/ICC: 1:100-1:500; WB: 1:1000-3000; IHC: 1:50-1:200; Оптимальное разведение определяется конечным потребителем |
| Метод очистки | Антисыворотку очищали методом аффинной хроматографии пептидов с использованием связывающей смолы SulfoLink® (Thermo Fisher Scientific) |
| Состав буфера | Rabbit IgG в PBS; pH 7.4; 150mM NaCl; 0.02% азид натрия и 50% глицерин |
| RRID | AB_2842166 |
| Условия доставки | Термобокс с аккумуляторами холода |
| Условия хранения | Хранить при -20ºС. Стабилен 12 месяцев с даты получения |
| Срок хранения | 12 месяцев |
| Производитель | Affinity |
| Ссылка на страницу товара на сайте производителя | https://www.affbiotech.com/goods-12443-DF8970-IFNA5_Antibody.html |
|
Артикул
|
Наименование |
Производитель
|
|---|
|
Артикул
|
Наименование |
Производитель
|
|---|
|
Артикул
|
Наименование |
Производитель
|
|---|
Акции и предложения
Популярные продукты:
PSMD9 Antibody (DF9094)
Источник (хозяин): кролик
Реактивность подтвержденная: человек, мышь, крыса
Валидировано для: IHC, WB, IF, ICC
Реактивность подтвержденная: человек, мышь, крыса
Валидировано для: IHC, WB, IF, ICC
IFNA5 Antibody (DF8970)
Источник (хозяин): кролик
Реактивность подтвержденная: человек, мышь, крыса, обезьяна
Валидировано для: IHC, WB, IF, ICC
Реактивность подтвержденная: человек, мышь, крыса, обезьяна
Валидировано для: IHC, WB, IF, ICC
MYST4 Antibody (DF8854)
Источник (хозяин): кролик
Реактивность подтвержденная: человек, мышь
Валидировано для: IHC, WB
Реактивность подтвержденная: человек, мышь
Валидировано для: IHC, WB
WNT8B Antibody (DF2441)
Источник (хозяин): кролик
Реактивность подтвержденная: человек, мышь
Валидировано для: WB, IF, ICC
Реактивность подтвержденная: человек, мышь
Валидировано для: WB, IF, ICC
SHIP1 Antibody (AF0252)
Источник (хозяин): кролик
Реактивность подтвержденная: человек, мышь, крыса
Валидировано для: WB, IF, ICC
Реактивность подтвержденная: человек, мышь, крыса
Валидировано для: WB, IF, ICC
Rabbit Anti-NeuN Antibody (SAA2241) (RHA00601)
Источник (хозяин): кролик
Реактивность подтвержденная: человек, мышь, крыса
Валидировано для: FCM, ICC, IF, IHC, WB
Реактивность подтвержденная: человек, мышь, крыса
Валидировано для: FCM, ICC, IF, IHC, WB

