| UNIPROT | Q15653 |
| Иммуноген | Синтетический пептид, соответствующий human IKB beta |
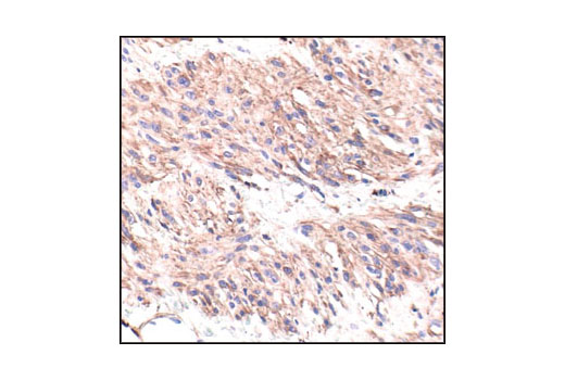
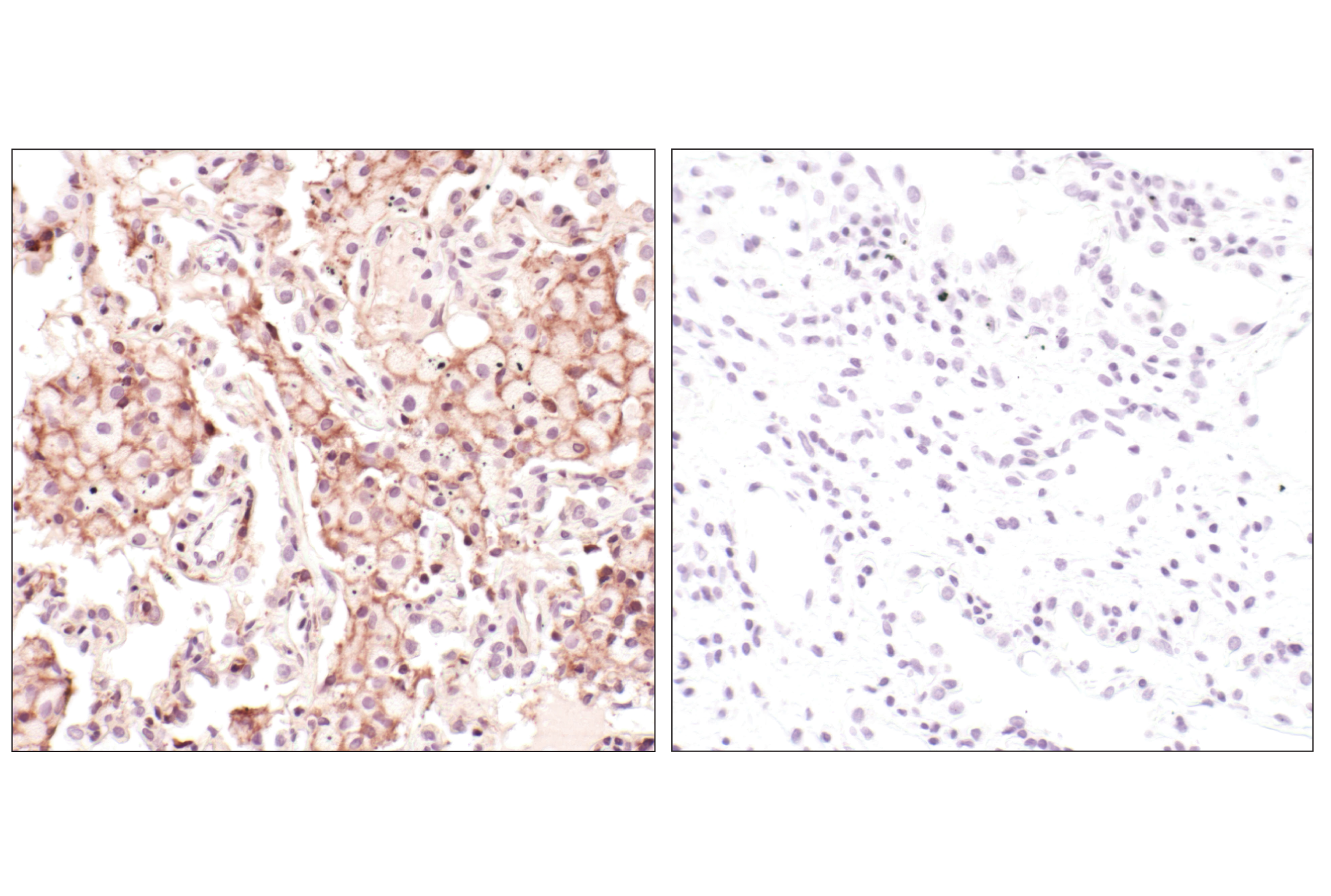
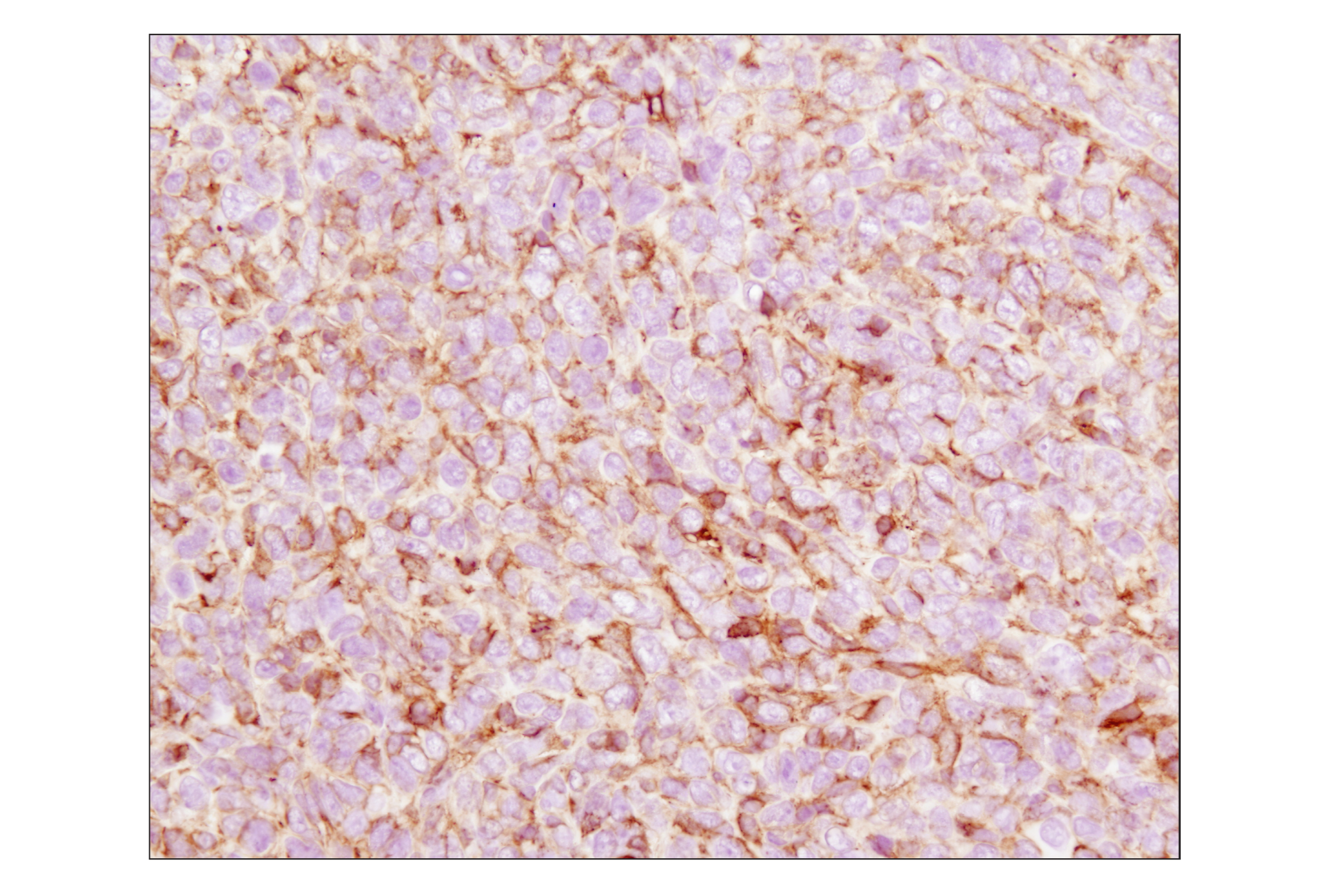
IKB beta Recombinant Rabbit mAb (ARM2647)
Реактивность подтвержденная:
человек
Источник (хозяин):
кролик
Валидировано для:
IHC
IP
WB
IF
ICC
Характеристики
Техническое описание
| Каталожный номер | ARM2647 |
| Название антигена | Inhibitory Subunit Of NF Kappa B Beta (IkBb) |
| UNIPROT | Q15653 |
| Иммуноген | Синтетический пептид, соответствующий human IKB beta |
| Английские синонимы | TRIP9, NFKBIB, Thyroid receptor-interacting protein 9, Nuclear Factor Of Kappa Light Polypeptide Gene Enhancer In B-Cells Inhibitor,Beta, NF-Kappa-B Inhibitor Beta |
Реактивность подтвержденная Нужна другая реактивность? |
человек |
| Источник (хозяин) | кролик |
| Изотип | IgG |
| Клональность | моноклональное |
| Рекомбинантное | да |
| Готовое к использованию | нет |
| Концентрация | 1 мг/мл |
| Конъюгат | По запросу: HRP, biotin, Cy3, Cy5, APC, AF488, AF594, AF405 |
| Валидировано для | IHC IP WB IF ICC Иммуногистохимия; Иммунопреципитация; Вестерн-блоттинг; Иммунофлуоресценция; Иммуноцитохимия |
| Рекомендуемые разведения | WB 1:500~1:2000; IHC 1:50~1:200; IF/ICC 1:50~1:200; IP 1:50 |
| Метод очистки | Антигенспецифическая аффинная хроматография |
| Состав буфера | 50 нмоль Tris-Glycine(pH 7.4); 0.15M NaCl; 40% глицерин; 0.01% азид натрия и 0.05% БСА |
| Условия доставки | термобокс с аккумуляторами холода |
| Условия хранения | Сразу после получения аликвотировать и хранить при -20ºС до 12 месяцев с момента получения. Избегать повторения циклов замерзания/оттаивания |
| Срок хранения | 12 месяцев |
| Производитель | AssayVector |
|
Артикул
|
Наименование |
Производитель
|
|---|
|
Артикул
|
Наименование |
Производитель
|
|---|
|
Артикул
|
Наименование |
Производитель
|
|---|
|
Артикул
|
Наименование |
Производитель
|
|---|
Акции и предложения
Популярные продукты:
Monkey T cell leukemia homeobox protein 3(TLX3) ELISA kit (E09T0696)
Организм: обезьяна
Guinea Pig Carnitine O palmitoyltransferase 1, liver isoform (CPT1A/CPT1) ELISA kit (E05C2027)
Организм: морская свинка
Porcine Calcyclin Binding Protein ELISA kit (E07C0540)
Организм: свинья
Human Protein Kinase C Iota ELISA kit (E01P0106)
Организм: человек
Диапазон определения: 1-25 нг/мл
Чувствительность: 0.1 нг/мл
Диапазон определения: 1-25 нг/мл
Чувствительность: 0.1 нг/мл
Anti-Slo2.1/Slick K+ channel Antibody (N11/24) (RHN26001)
Источник (хозяин): мышь
Реактивность подтвержденная: для всех
Валидировано для: IHC, WB
Реактивность подтвержденная: для всех
Валидировано для: IHC, WB
Anti-HPV B19 VP2 Antibody (R4D80) (RVV44801)
Источник (хозяин): мышь
Реактивность подтвержденная: вирусы
Валидировано для: ELISA, FCM, IF, IHC, WB
Реактивность подтвержденная: вирусы
Валидировано для: ELISA, FCM, IF, IHC, WB

