| UNIPROT | Q9UKT9 |
| Иммуноген | Синтетический пептид, соответствующий human IKZF3 |
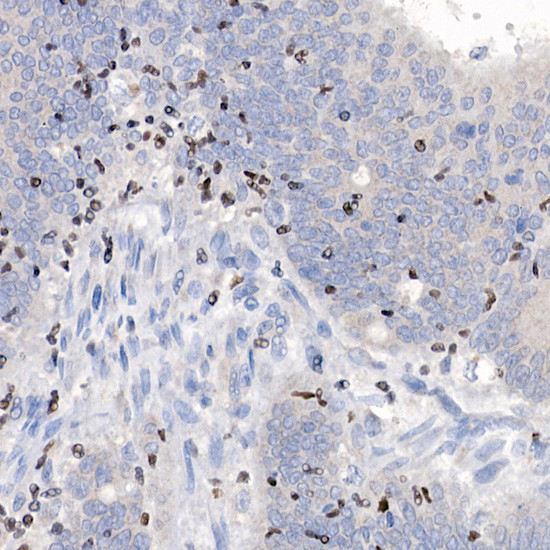
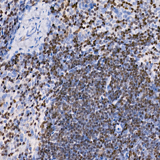
IKZF3 Recombinant Rabbit mAb (ARM2277)
Реактивность подтвержденная:
человек, мышь, крыса
Источник (хозяин):
кролик
Валидировано для:
IHC
WB
IF
ICC
Характеристики
Техническое описание
| Каталожный номер | ARM2277 |
| Название антигена | IKAROS Family Zinc Finger Protein 3 (IKZF3) |
| UNIPROT | Q9UKT9 |
| Иммуноген | Синтетический пептид, соответствующий human IKZF3 |
| Английские синонимы | AIOLOS, ZNFN1A3, Zinc finger protein Aiolos |
Реактивность подтвержденная Нужна другая реактивность? |
человек, мышь, крыса |
| Источник (хозяин) | кролик |
| Изотип | IgG |
| Клональность | моноклональное |
| Рекомбинантное | да |
| Готовое к использованию | нет |
| Концентрация | 1 мг/мл |
| Конъюгат | По запросу: HRP, biotin, Cy3, Cy5, APC, AF488, AF594, AF405 |
| Валидировано для | IHC WB IF ICC Иммуногистохимия; Вестерн-блоттинг; Иммунофлуоресценция; Иммуноцитохимия |
| Рекомендуемые разведения | WB 1:500~1:2000; IHC 1:50~1:200; IF/ICC 1:50~1:200 |
| Метод очистки | Антигенспецифическая аффинная хроматография |
| Состав буфера | 50 нмоль Tris-Glycine(pH 7.4); 0.15M NaCl; 40% глицерин; 0.01% азид натрия и 0.05% БСА |
| Условия доставки | термобокс с аккумуляторами холода |
| Условия хранения | Сразу после получения аликвотировать и хранить при -20ºС до 12 месяцев с момента получения. Избегать повторения циклов замерзания/оттаивания |
| Срок хранения | 12 месяцев |
| Производитель | AssayVector |
|
Артикул
|
Наименование |
Производитель
|
|---|
|
Артикул
|
Наименование |
Производитель
|
|---|
|
Артикул
|
Наименование |
Производитель
|
|---|
Акции и предложения
Популярные продукты:
Anti-Mouse CRISP2 Polyclonal Antibody (PMD18501)
Источник (хозяин): кролик
Реактивность подтвержденная: мышь
Валидировано для: ELISA, IHC, WB
Реактивность подтвержденная: мышь
Валидировано для: ELISA, IHC, WB
Anti-Human FGF14 Polyclonal Antibody (PHK09301)
Источник (хозяин): кролик
Реактивность подтвержденная: человек
Валидировано для: ELISA, IHC, WB
Реактивность подтвержденная: человек
Валидировано для: ELISA, IHC, WB
Recombinant Mouse RTN4R Protein, N-His (YMK98201)
Источник (хозяин): E.coli
Организм: мышь
Фрагмент: Thr25-Gly308
Теги: N-His
Биоактивность: нет
Организм: мышь
Фрагмент: Thr25-Gly308
Теги: N-His
Биоактивность: нет
Anti-MAD2L2 Antibody (R2M13) (RHK44602)
Источник (хозяин): кролик
Реактивность подтвержденная: человек, мышь, крыса
Валидировано для: FCM, IF, IHC, IP, WB
Реактивность подтвержденная: человек, мышь, крыса
Валидировано для: FCM, IF, IHC, IP, WB
Hydrogen Peroxide (H2O2) Fluorometric Assay Kit (E-BC-F001)
Организм: для всех
Диапазон определения: 0.02-10 мкмоль/л
Чувствительность: 0.02 мкмоль/л
Диапазон определения: 0.02-10 мкмоль/л
Чувствительность: 0.02 мкмоль/л

