| UNIPROT | Q12906 |
| Иммуноген | Синтетический пептид, соответствующий human ILF3 |
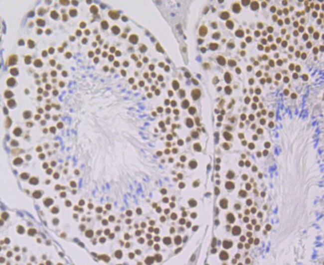
ILF3 Recombinant Rabbit mAb (ARM1683)
Реактивность подтвержденная:
человек, мышь
Источник (хозяин):
кролик
Валидировано для:
FCM
IHC
IP
WB
IF
ICC
Характеристики
Техническое описание
| Каталожный номер | ARM1683 |
| Название антигена | Interleukin Enhancer Binding Factor 3 (ILF3) |
| UNIPROT | Q12906 |
| Иммуноген | Синтетический пептид, соответствующий human ILF3 |
| Английские синонимы | DRBF, DRBP76, MPHOSPH4, MPP4, NFAT, NF-AT-90, NF90, NFAR1, TCP80, Nuclear Factor Of Activated T-Cells, M-Phase Phosphoprotein 4 |
| Русские синонимы | Ядерный фактор активированных Т-клеток |
Реактивность подтвержденная Нужна другая реактивность? |
человек, мышь |
| Источник (хозяин) | кролик |
| Изотип | IgG |
| Клональность | моноклональное |
| Рекомбинантное | да |
| Готовое к использованию | нет |
| Концентрация | 1 мг/мл |
| Конъюгат | По запросу: HRP, biotin, Cy3, Cy5, APC, AF488, AF594, AF405 |
| Валидировано для | FCM IHC IP WB IF ICC Проточная цитометрия; Иммуногистохимия; Иммунопреципитация; Вестерн-блоттинг; Иммунофлуоресценция; Иммуноцитохимия |
| Рекомендуемые разведения | WB 1:500~1:2000; IHC 1:50~1:200; IF/ICC 1:50~1:200; FCM 1:50; IP 1:50 |
| Метод очистки | Антигенспецифическая аффинная хроматография |
| Состав буфера | 50 нмоль Tris-Glycine(pH 7.4); 0.15M NaCl; 40% глицерин; 0.01% азид натрия и 0.05% БСА |
| Условия доставки | термобокс с аккумуляторами холода |
| Условия хранения | Сразу после получения аликвотировать и хранить при -20ºС до 12 месяцев с момента получения. Избегать повторения циклов замерзания/оттаивания |
| Срок хранения | 12 месяцев |
| Производитель | AssayVector |
|
Артикул
|
Наименование |
Производитель
|
|---|
|
Артикул
|
Наименование |
Производитель
|
|---|
|
Артикул
|
Наименование |
Производитель
|
|---|
|
Артикул
|
Наименование |
Производитель
|
|---|
Акции и предложения
Популярные продукты:
ELISA Kit DIY Materials for Carbonic Anhydrase III, Muscle Specific (CA3) (KSD070Hu01)
Организм: человек
Диапазон определения: 7.8-500 пг/мл
Чувствительность: 3.0 пг/мл
Диапазон определения: 7.8-500 пг/мл
Чувствительность: 3.0 пг/мл

